这个要从前几天接的一个陌生的电话说起。
电话一接通就听到一阵哭声。
着实把我吓了一大跳,不知道到底出了什么事情。

过了好一会儿,才听一个年轻的女孩声音问,“是乔主任吗?我的检查结果出来了,显示:肺纹理不清。这个是不是就是平常说的磨玻璃结节啊?是不是会变肺癌啊?我才22岁啊。”
接着又是一阵哭声。
哭完,女孩开始断继续续的描述,从十几岁开始,因为和家里人关系不太好,所以学会了抽烟,有时心情不好就抽很多。这么一算,抽了七八年了。自己最近感觉胸部有些不舒服,听人说,吸烟容易患肺癌,就赶紧去拍了一个片子。结果真的显示有问题,肺纹理不清,是不是就是磨玻璃的意思啊?

我赶紧安慰她:不要紧张,肺纹理不清是一个影像学名称,由于肺纹理是由肺部血管、淋巴管和支气管组成,纹理不清大多是由于炎症或肺气肿引起的。这个纹理不清和磨玻璃结节没有关系,不用担心,也不用治疗。但是烟是需要戒了。
女孩听完,很高兴地在电话里确定了两次:真的吗!?真的不要紧吗!?那我赶紧戒烟。谢谢您。
生命只有一次,往往只有在生命受到威胁的时候,人们才会重视健康。希望从现在起,大家都能养成健康的生活习惯。
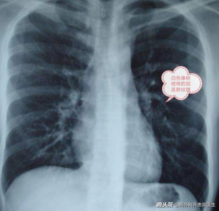
上述案例发出的时候,很多网友在评论里问“肺纹理增粗”“肺纹理增重”“肺纹理不清”是不是同样的意思?这2个词语也是在体检中经常出现的结论。其实,肺纹理是指胸片的胸部影像学检查时在影像学上出现的肺部条纹状的结构。

肺纹理常常是肺部的血管和细支气管的影子。肺纹理增重是一个影像学的名词。一般都是由于吸烟或者肺部感染,造成有细小的气管炎症或者血管有增粗增深的现象,出现时就会在影像学上表现为肺纹理增粗。往往没有临床症状或者器质性的疾病。所以, 同样不用担心。