年龄:21岁
性别:女
牙齿情况:深覆盖深覆颌
矫正方式:自锁托槽矫正
矫治时间:2年8个月
费用:9000-15000
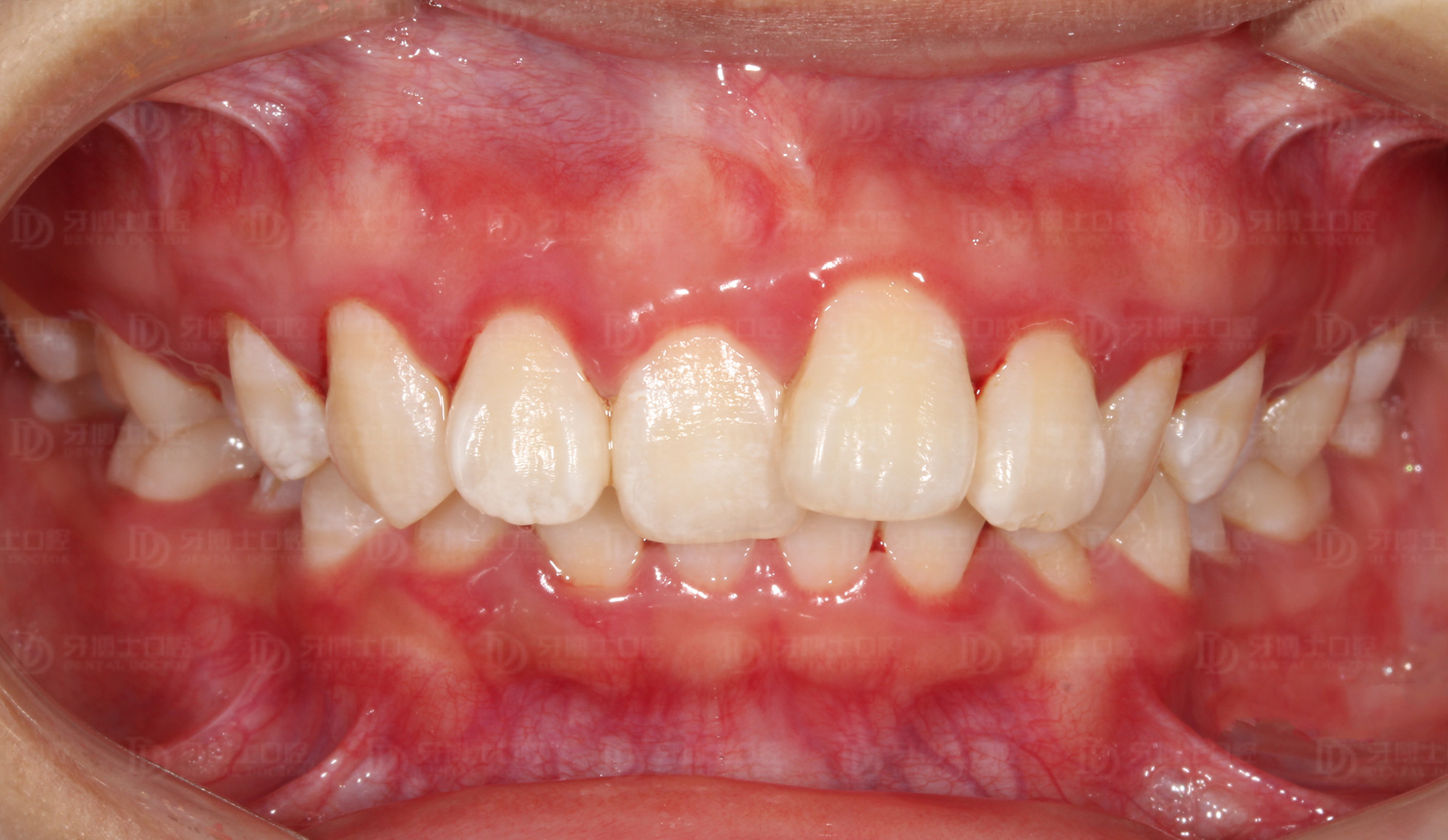
矫正前
牙列不齐,并有牙龈炎、牙结石,刷牙时会出血,同时美观度较差,影响容貌。


矫正后
牙齿排齐内收,更易清洁了,牙周问题明显改善很多,面部整体美观度增加,笑容更加自信。


矫正黄金期
青少年时期(女孩11~14岁、男孩13~15岁),正处于生长发育的旺盛状态,牙槽骨可塑性强,人体新陈代谢快。相对来说,在这个时期矫正牙齿,矫正时间更短,矫正难度更小,矫正效果最佳,更不容易反弹,除去骨性问题,正是牙齿矫正的最好时期。
一般牙齿畸形可分为骨性和牙性两种,牙性问题可直接通过牙齿矫正来纠正,而骨性问题如果没有早期干预矫治,就只能等成年后进行正颌。正颌要手术,正畸(矫正)靠牙套,正颌难度更大,费用也是相当高的。

成年人,同样可以矫正
牙槽骨是可塑性很高的组织,具有终生改建的能力,也就是说年龄基本不是问题,成年人也可以矫正。当我们给牙槽骨施加适合的力量时,牙齿硬度大,不会产生太多变化,相对应的牙槽骨承受压力慢慢的被吸收。反之,受到牵引力时又会增生。
简单说,原理就是:牙齿受力——传递给牙槽骨——牙槽骨吸收/增生——牙齿移动
