
点击蓝字
关注我们
作者:鲜美玲 周晓蕾 汤善宏
单位:西部战区总医院消化内科
编者按: 为了帮助临床肝病医生扩宽视野、丰富实践,培养临床思维能力,《国际肝病》特邀请 西部战区总医院消化内科汤善宏教授团队 共同打造 “Liver疑难病例”专栏 。本栏目汇集了汤善宏教授团队多年临床诊治工作中所遇到的“经典病例”,同时也将定期搜集知名学术期刊所刊发的或复杂或罕见的临床病例,重点阐述各种肝病的诊疗思路,为广大同道提供宝贵的临床借鉴。

主题述评
自发性门体静脉分流(SPSS)是各种原因所致的肝硬化门静脉高压的不良后果,但临床上对SPSS的重视相对较少。本文报道了一例患者在失代偿期肝硬化基础上合并巨大脾-肾分流相关严重的肝性脑病,通过脾切除及脾-肾断流术得到很好治疗。该患者诊断及外科治疗可加深对SSRS的认识,为肝硬化门静脉高压患者“个体化”的诊治具有重要的指导意义。

病例简介
患者男,73岁,主因“ 反复头昏、乏力1月,加重伴神志不清1天 ”入院。患者于入院前2天(2023-05-18)无明显诱因出现头昏、乏力,之后因反复发作“肝性脑病”住院治疗2次,每次好转后出院症状再次复发,1天前患者出现神志不清,呈嗜睡状态,先呼之能应、烦躁,后呼之不应,为求进一步诊治来院。既往30年前我院及外院等多家医院诊断为“酒精性肝硬化(失代偿期)”,具体治疗过程不详。饮酒20余年,100 ml/天。吸烟30余年,现每月叶子烟1斤。
入院查: 血氨163.5 umol/L 。血小板计数79×10 9 /L、血红蛋白浓度106 g/L、红细胞计数3.08×10 12 /L。生化:间接胆红素28.3 umol/L、直接胆红素16.4 umol/L、总胆红素44.7 umol/L、白蛋白32.7 g/L。葡萄糖6.80 mmol/L。肾功:尿酸520 umol/L、肌酐165 umol/L、尿素19.08 mmol/L。B型钠尿肽611.180 pg/mL。凝血:PT 14.30s、PTA 62.00%、INR 1.25。腹部彩超:肝硬化声像图。心电图、头颅CT未见明显异常。诊断为“肝性脑病C型、酒精性肝硬化”等,给予保肝、抗肝昏迷、食醋灌肠、维持水电解质平衡、补液、纠正低蛋白血症(白蛋白26 g/L)、营养支持等治疗后病情好转出院。

图1. 胃镜(2023-05-24)
A、B图:食管、胃底未见明显静脉曲张。食管、贲门口、胃底胃体、胃角粘膜光滑,胃窦粘膜可见三处凹陷性溃疡,最大0.2×0.3 cm,表覆盖白苔,周围粘膜充血水肿。
2023-06-03患者再次因“肝性脑病”入院,查血氨105.1 umol/L,入院后予以对症治疗后病情好转出院。出院后次日凌晨(2023-06-14)患者再次因“肝性脑病”发作且较强明显加重来我院。患者既往肝硬化病史30余年,影像学提示肝硬化、脾大征象,且血常规示三系减少,考虑患者存在门脉高压,而胃镜未见明显食管、胃底静脉曲张,且无明显腹水等门脉高压常见体征与症状。患者反复出现肝性脑病,肝酶轻微升高,血氨明显升高,而无明显消化道出血、便秘、利尿剂使用、放腹水等诱因,这与大部分肝硬化患者发生肝性脑病的表现不相符。随后的320门脉CT示门静脉主干及脾静脉增粗,脾静脉明显迂曲增宽,可见脾门区迂曲粗大血管汇入左肾静脉,左肾静脉呈囊状突起影。脾门处曲张静脉团汇入左肾静脉,脾脏血流经肾静脉回流至下腔静脉,降低了部分门静脉压力,故而食管、胃底静脉曲张不明显,但同时未经肝脏解毒的血液直接回流至下腔静脉以及肝脏灌注减少,导致了肝性脑病的发生。因此,综合考虑该患者为 C型肝性脑病(失代偿期肝硬化基础上合并粗大“脾-肾静脉分流”)。

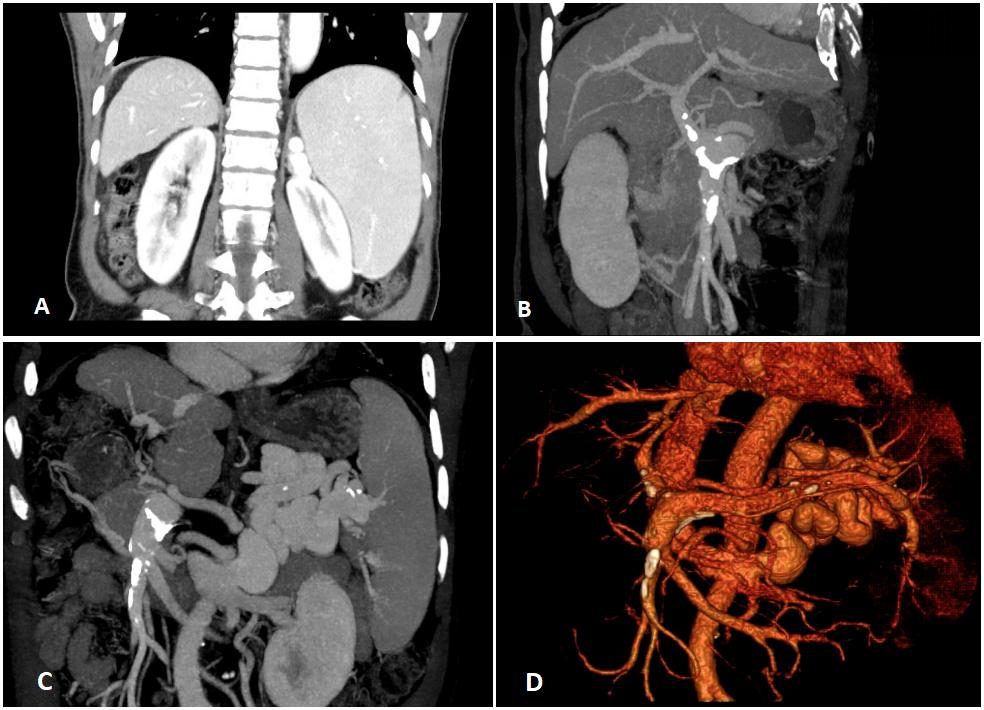
图2. 320门脉CT(2023-06-06)
肝右叶缩小,肝裂增宽,肝硬化、脾大、门脉高压伴侧枝循环形成。门静脉主干及脾静脉增粗,管壁散在钙化斑块,门静脉较宽径约1.5cm,脾静脉明显迂曲增宽,较宽径约1.4 cm,管壁光滑,官腔未见异常扩张及占位,未见充盈缺损;可见血管汇入左肾静脉,左肾静脉可见囊状突起影,大小约2.5 cm×2.2 cm×3.8 cm。
对于自发性脾-肾静脉分流患者,经颈静脉肝内门体分流术(TIPS)联合脾肾分流栓塞术是一种可行的方法,但肝性脑病是TIPS术后的一大重要并发症。该患者反复出现肝性脑病,三系降低且巨大脾脏压迫胃肠道引起相应消化道症状,故而考虑手术切除脾脏,同时阻断脾肾分流。与患者及其家属沟通后,2023-06-27于我院普通外科 行“脾切除术、脾-肾分流断流术” ,术中见肝脏体积缩小,肝表面欠光滑,呈结节样硬化改变,脾脏增大,长径约16.0 cm,脾门血管明显增粗、迂曲,其中脾动脉直径约0.8 cm,脾门曲张静脉直径约1.2~1.6 cm,呈“蚯蚓状”迂曲分布与脾门区域,行脾切除、同时阻断脾肾静脉分流。术前患者血*水氨**平在100 umol/L左右波动,术后6天查血*水氨**平降至正常范围。术后予以护胃、保肝、纠正低蛋白、雾化祛痰、预防血栓、输注血浆及适当补液等治疗后好转出院。

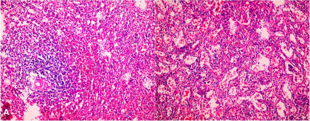
图3. 脾脏病理:慢性淤血性脾肿大

图4. 患者住院及门诊随访期间血氨变化水平
出院后患者于我院门诊复查,2023-07-20血常规:红细胞计数3.32×10 12 /L、血红蛋白浓度110 g/L。肝功:前白蛋白107 mg/L、直接胆红素7.9 umol/L、γ谷氨酰转肽酶 77.8 IU/L、碱性磷酸酶140.1 IU/L、总胆汁酸18.0 umol/L、胆碱酯酶4.5×10 3 U/L。凝血:PT 15.40s 、PTA 56.40%、INR 1.35 、纤维蛋白原1.96 g/L,D-二聚体正常。腹部超声:肝硬化声像图,脾脏术后缺如;肝静脉变细、走行不清晰,门静脉主干不扩张,管腔内血流信号充盈良好。 随访至今患者现未再发作肝性脑病,门诊复查血氨为正常水平。

病例讨论
我国是肝病大国,各种原因所致的肝硬化门静脉高压是门静脉血流阻力增大的结果,当肝硬化患者门静脉压力超过一定阈值时,可能导致静脉曲张出血和腹水等最常见并发症出现。肝硬化门静脉高压的另一个不良后果是出现自发性门体静脉分流 (spontaneous portal system shunt,SPSS) ,其作为体循环系统和门静脉系统之间的非生理*交性**通,允许多余的血流绕过肝脏进入体循环并减少门静脉灌注导致肝性脑病发生风险增加,门静脉高压是自发性门体分流发生的驱动因素。 自发性胃-肾分流和自发性脾-肾分流 (spontaneous spleno-renal shunts,SSRS) 是较为常见的自发性门体静脉分流,在失代偿期肝硬化患者中的发生率约为13.8%~21.0%。 目前对食管胃底静脉曲张的研究较多,临床上对自发性门体静脉分流的重视相对较少。
该患者被诊断为“酒精性肝硬化(失代偿期)”多年,但上消化道无明显曲张静脉,也未见明显腹水等失代偿期肝硬化并发症;近一月多次出现Ⅱ度及以上“肝性脑病”多次入院,经治疗好转出院后复发,且程度逐渐加重。经增强CT发现粗大SSRS中较为常见的脾-肾分流。SSRS是指从脾静脉到肾静脉之间丰富并增粗的异常血管,其形成机制可能与先天存在的小血管扩张有关,也可能与新生血管有关。胚胎时期门静脉与体循环之间存在血管交通支,有利于母体与胎儿营养、氧气供应,及排泄物代谢等,出生后这些血管逐渐关闭,而恰好是这些关闭的血管在门静脉高压状态下重新开放,形成重要的侧支循环,带来相应的临床并发症。脾肾分流血管位于脾肾韧带内,门静脉高压时潜在的血管重新开放可显著降低门脉压力,同时SSRS的形成使得入肝血流进一步减少;另一方面,NO、前列腺环素等血管生成相关因子可引发血管生成,由此衍生出新的血管来分流受阻的门静脉血流,该现象在门静脉血管形成海绵样变性中最为常见。有研究表明,肝硬化合并SSRS患者的门静脉直径更细,肝功能更差,肝体积更小,死亡率更高。未经过肝脏解毒的血液直接经过肾静脉回流到下腔静脉,会导致顽固性肝性脑病的发生。因此门静脉压力升高是侧支循环产生前提,动态平衡下侧支循环只能减缓部分门静脉压力,当门静脉压力突破某一极限时,这个动态平衡将被打破,因此,较大的侧支循环也可能是门静脉压力很高的一种表现。
SPSS的早期治疗常采用外科结扎分流手术,但术后死亡率高、预后差,随着微创介入、腹腔镜、内镜的出现,临床医师可以根据患者实际情况采用单一或联合方案进行治疗。 球囊导管逆行性静脉栓塞术(BRTO)、TIPS联合SPSS栓塞、经皮经肝曲张静脉栓塞术(PTVE)、选择性脾静脉栓塞术、外科手术切断分流等是可提供的选择方案。 该患者脾-肾分流巨大,若通过血管介入行栓塞术,可治疗肝性脑病,但患者门脉压力会急剧升高,后续出现上消化道曲张静脉、腹水等难治性并发症可能性大;且该患者脾脏较大,导致三系降低及腹腔压迫等影响,权衡利弊、充分知情同意后,在我院普通外科行“脾切除术”及“脾-肾分流段流术”,术后血氨恢复正常,肝性脑病未再复发。
总之,本文报道了一例患者在失代偿期肝硬化基础上合并巨大脾-肾分流相关严重的肝性脑病,通过脾切除及脾-肾断流术得到很好治疗。患者术后需随访门脉彩超,查血常规、D-二聚体、纤溶系统及凝血四项等指标,关注门脉是否有血栓形成。该患者诊断及外科治疗可加深对SSRS的认识,为肝硬化门静脉高压患者“个体化”的诊治具有重要的指导意义。
参考文献:(上下滑动查看更多)
1. Zardi, EM, Uwechie, V, Caccavo, D, et al. Portosystemic shunts in a large cohort of patients with liver cirrhosis: detection rate and clinical relevance. J GASTROENTEROL. 2009; 44 J GASTROENTEROL. doi: 10.1007/s00535-008-2279-1
2. 李雪,涂颖,唐斌等.肝硬化门静脉高压伴自发性门体分流的研究进展[J].临床肝胆病杂志,2021,37(10):2435-2438.
3. 石青,伍珍,白涛,付瑶,郭武华.肝硬化合并自发性脾肾分流30例的临床特征分析[J].中华消化杂志,2017,37(10):692-693.DOI:10.3760/cma.j.issn.0254-1432.2017.10.009.
4. Achiwa, S, Hirota, S, Kako, Y, et al. Radiological anatomy of spontaneous splenorenal shunts in patients with chronic liver disease. JPN J RADIOL. 2017; 35 JPN J RADIOL. doi: 10.1007/s11604-017-0623-1
5. Arora, A, Rajesh, S, Meenakshi, YS, et al. Spectrum of hepatofugal collateral pathways in portal hypertension: an illustrated radiological review. Insights Imaging. 2015; 6 (5): 559-72. doi: 10.1007/s13244-015-0419-8
6. 汤善宏,曾维政,吴晓玲等.肝硬化门静脉高压侧支循环的形成及临床意义[J].临床肝胆病杂志,2016,32(08):1613-1616.
7. Inoue, M, Tanaka, T, Nakagawa, H, et al. Splenic Vein Embolization Using Coil Anchors and Prophylactic Occlusion of a Hepatofugal Collateral for Hepatic Encephalopathy due to Splenorenal Shunt: Technical Note and Literature Review. Case Rep Radiol. 2013; 2013 160653. doi: 10.1155/2013/160653


撰稿人
鲜美玲 ,硕士研究生,西部战区总医院住院医师

撰稿人
周晓蕾 ,西部战区总医院消化内科副主任医师,任四川省医学科技创新研究会肠道微生态与肠道免疫性疾病临床研究分会常务委员,四川省预防医学会感染性疾病预防与控制分会委员;四川省国际医疗交流促进会消化专业委员会委员;四川省康复医学会感染性疾病专业委员会委员;发表学术论文10余篇,参编专著2部;获国家专利2项,参与四川省卫生健康委员会科研课题1项。

审稿人
汤善宏 , 西部战区总医院消化内科主任
往期回顾
◆ 肝淀粉样变性的“蛛丝马迹”
◆ 肝门部占位=恶性肿瘤?一种特殊的肝门部占位致梗阻性黄疸
◆顽固性肝性脑病的“破解思路”
◆ 特殊型门静脉高压的“特殊化”治疗
◆ 从一例进食蚕豆诱发重度溶血性黄疸的诊治经历看肝功能的强大
◆ AFP动态变化可预测HBV-ACLF患者的临床转归
◆罕见性腹腔积液的诊治思路——为何抗过敏治疗显奇效?
◆肝脾肿大伴胆汁淤积的又一特殊病例——竟是淋巴瘤导致!
◆罕见的梅毒性肝炎!临床表现及诊治要点
◆ 是肝结核还是肝转移癌——临床诊断中常见的误诊!
◆警惕!肝脓肿穿刺致肝动脉瘤破裂大出血——速来get重要事项
◆ 不明原因发热、肝脾肿大、门脉高压?警惕黑热病
◆ 脾切除治疗慢性肝窦阻塞综合征致巨大脾脏1例
◆考虑“肝硬化”导致低白蛋白血症的一个不寻常原因——继发性小肠淋巴管扩张症
◆ 肝内外胆管囊性扩张致窦前性门静脉高压一例
◆慢乙肝合并肝脾肿大伴反复牙龈出血罕见病因1例
◆食管静脉曲张破裂出血的少见病因:先天性门静脉狭窄(Abernethy 畸形Ⅱ型)致肝窦前性门脉高压症
◆一例特殊类型的营养不良病例报道及分析
◆肝损伤一元论还是多元论?从1例药物诱导自免肝,再看激素使用依据与原理
◆慢乙肝患者重度曲张静脉是肝硬化导致吗?勿忽视病因二元论

声明:本文仅供医疗卫生专业人士了解最新医药资讯参考使用,不代表本平台观点。该信息不能以任何方式取代专业的医疗指导,也不应被视为诊疗建议,如果该信息被用于资讯以外的目的,本站及作者不承担相关责任。
来源:《国际肝病》编辑部