肾癌是常见恶性肿瘤,复发远处转移几率高达52%-84%,20%-30%同期转移,20%-40%术后转移,转移后5年生存率仅约10%。因此肾癌治疗手段成为了研究的重点。目前是根据影像学检查的结果等确定肿瘤的临床分期,利用辅助检查评估患者对治疗的耐受能力,根据临床分期并结合患者的耐受力,选择恰当的治疗方式。

靶向免疫联合治疗的优势
另外,非透明细胞癌、特殊部位病灶(如骨转移、脑转移、肝转移等)治疗手段的疗效依旧很差。在晚期肾癌患者中,医生时常可能遇见优势病灶持续进展,特殊部位疗效差症状重,肾功能差不能耐受手术,非透明细胞癌疗效差等等。
对此,中山大学肿瘤医院在晚期肾癌治疗探索之路上,总结了一套自己的模式,即TKI+抗PD-1/PD-L1+SBRT是行之有效的办法。

优势病灶持续进展,使用SBRT前后

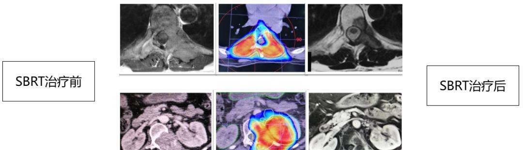
椎体转移灶,使用SBRT前后

非透明细胞癌,使用SBRT前后
现代放疗技术显著提高对肾癌的*伤杀**力
SBRT(立体定向放疗)突破传统放射抗性,拥有着适形、小野、大剂量,可分割1-5次,疗程短,生物效应高,疗效不依赖于传统敏感性等特性。
传统观念认为肾癌对常规剂量放射不敏感,射线导致肾癌细胞死亡率低。上个世纪90年代,国外学者在体外实验中发现,肾癌细胞的致死率随着单次放射剂量的增加而显著提高。此外,他们在肾癌裸鼠模型中证实了大分割照射(48Gy/3F)对肾癌细胞的致死效果,在照射7周后切除肿瘤,未发现癌细胞存活。以上结果为后来临床上采用大分割的立体定向放疗治疗肾癌奠定了基础。

植入肾癌细胞的裸鼠模型中,大分割照射的疗效
文献报道SBRT在晚期肾癌中可获得80%-90%的局控率,NCCN指南和EAU指南也初步认可肾癌转移灶使用SBRT治疗。
肾癌脑转移的患者,中位生存时间一般为3-6个月,若采用SBRT治疗,1年脑转移灶局控率可达90%;肺、骨、肝、肾上腺、淋巴结等是肾癌常见的颅外转移部位,针对这些部位的立体定向放疗,2年局部控制率高达90%左右;肾癌骨转移灶放疗,1-3年局控率可达80%-90%,满意止痛率为82%,因此SBRT也成为脊柱转移瘤治疗的核心手段;对于手术不可切除的晚期肾癌、以及具有手术禁忌症的患者,立体定向放疗是可考虑的局部治疗方法之一,2年局控率达90%以上。

肾癌脑转移灶放疗的中肿实例

肾癌淋巴结复发灶放疗的中肿实例

肾癌骨转移灶放疗的中肿实例
SBRT安全性方面,根据中肿治疗经验:2016年至今,SBRT治疗肾癌 105人次,中位随访时间9.4月,仅3个病灶放疗后进展,ORR 86.7%,CR 20%,1年局控率97.4%,2年 90.9%,其中1-2度胃肠反应31%、1-2度皮肤反应15.5%,1-3度放射性神经炎 10.3%(3度1.7%)。
所以总体而言,SBRT的安全性是可控的,疗效是可喜的。
浅谈SBRT的整体获益及治疗前景
虽然SBRT始于局控,但并不止于局控。放疗与靶向治疗联合可达到肿瘤血管正常化,提高氧合,放疗增敏,提高控瘤效率的效果。一项回顾性研究结果显示: 放疗联合靶向治疗1年局控率对比单用SBRT和单用靶向治疗,分别为96% vs 80% vs 43%。
另外,SBRT对于肾癌还有免疫调控效应,转换不利于免疫发挥作用的肿瘤微环境为有利的,具体机制为:SBRT不仅可以直接作用于肿瘤细胞,引起肿瘤凋亡,还作用于肿瘤旁的基质细胞和肿瘤血管,破坏肿瘤生长的环境,进一步促进肿瘤消退。而肿瘤在凋亡消退过程中会释放肿瘤坏死因子等细胞免疫活性分子,可刺激机体免疫应答,从而引起身体其他部位的肿瘤的缩小和控制,这又被称为“远隔效应”。

SBRT对肾癌的免疫调控效应
“远隔效应”在单纯放疗中发生的概率约为5%,SBRT中发生的概率约为10%-15%,而在SBRT联合免疫治疗中可达到20%-30%。
目前,中肿关于TKI+SBRT治疗的晚期肾癌的临床试验正在进行中并已经入组了一部分患者,SBRT+抗PD-1治疗的晚期肾癌临床研究也正在积极筹备进行中,希望到时能给国内的患者带来更多的曙光。