一个乌龟爬爬的肺结节
今天有一位37岁女士做CT,她在3年半前单位体检,查出右肺纯磨玻璃结节4.8mm,今天再次复查,有一点点长大,问我们该怎么办?

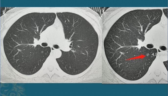
这是2016年的肺部CT,箭头所指,右下肺背段一个纯磨玻璃小结节,边界比较清,直径4.8mm。不足5mm的纯磨玻璃结节属于低危结节,大部分多年不变化,有些炎性结节会自动消失,不需要处理,随访观察就好!
她之后每年复查,这个结节有一点点躁动,以一种乌龟速度缓缓生长,在3年半的时间里,从5.3长到6.5,再到今年的6.8mm:

像乌龟一样慢腾腾增长的肺结节,应该怎么办?
我们先查查大数据,看看磨玻璃结节的增长速度统计:
在一组关于亚洲人群的肺磨玻璃结节随访研究中发现,纯磨玻璃肺结节,五年内发生进展的概率是8%;混合磨玻璃肺结节,五年内发生进展的概率是17%。也就是说,体检中发现的纯磨玻璃结节,多数是不进展的,即使有的进展,也是像乌龟一样速度很慢,几乎以年为单位。而且,在进展的肺结节手术后,生存率也能达到95%以上。所以说,长期的随访复查,不仅能排除炎性病变避免过度治疗,而且也是非常安全的,即使是肺癌。
国内外类似的研究数据有很多,结果大致相同!

也就是说,这位女士的肺结节像乌龟一样缓慢增大,属于那8%的小部分。是要继续观察?还是该胸腔镜手术切除呢?
这两种选择都可以!依据如下:
1.小于1cm的纯磨玻璃结节,女性不吸烟,基本不会突然爆发性加速,继续观察不会耽误治疗;这个病灶已经跟踪3.5年,不存在突发加速的促发条件。
2.有的病人心理压力大,很焦虑,也可以胸腔镜手术切掉,通过这3.5年随访观察,说明这个肺结节不完全稳定,也不是炎症性病灶,最符合原位腺癌的CT特征。病人的意愿也是医生的参照条件之一。

3.病灶已经靠近叶间胸膜。细心的读者朋友会发现,这个病灶靠近右肺上下叶之间的叶间胸膜,如果是实性肺结节,就有了播散通道,要及时处置,但磨玻璃样病灶不会转移,即使靠近胸膜。
也就是说,这位女士可以选择手术,也可以再等等,未来1-2年内手术也是可以的。
而哪些多年随访观察,肺结节一直没有增长的肺结节,安心观察就好!也许过些年,医生们会研究出更完美的治疗方法,比如会不会通过药物治疗就能解决?或者通过探针深入结节内,消融治疗而不必挨刀?这些都是有可能实现的。

最近这几年,肺结节联合门诊发展速度很快,除了大城市的三甲医院,很多基层的县市级医院也得到了全面的开展,这得益于网络时代的交流便利!
在联合门诊中,有呼吸、胸外、病理和放射科专家多学科参与,各学科都有自己的领域专长,给肺结节病人的诊治带来极大的便利。比如放射科专家可以从CT影像诊断中提出诊断依据,并对肺结节进行薄层扫描、三维重建等,发现结节更多细节,和更精准地定位、定性;呼吸科专家可以根据结节的影像学诊断报告,结合实验室检查等情况,对结节进行鉴别,提出下一步诊治方案,避免过度治疗;而胸外科专家可以根据结节的形态、位置等,确定是否有手术指征,和如何用最小的手术创伤来切除病灶。
所以说,存在肺结节的病人,可以携带原始资料找肺结节联合门诊挂号会诊,对结节下一步的诊治是非常重要的。如果能携带电子图片,效果是最好的。

我是影像科豪大夫,分享小病例,传递正能量,欢迎关注!
本文受浙江舟山肺癌多学科研究中心曹捍波教授指导,致谢!
#湖南医聊超能团# #她健康计划# #清风计划#