
六旬男子从小体弱多病,父母弃之不顾,由年迈的奶奶抚养长大。最近因为寒战、高热、休克,被诊断为肝内外胆管多发结石、急性梗阻性化脓性胆管炎。术前检查发现,他竟然是一名先天性膈肌缺如、膈疝患者,由于胸腔和腹腔之间的屏障“膈肌”出现缺损,原本应该待在腹内的肝、胆、肠等脏器全“跑”进胸腔。湖南省人民医院肝胆专家会同心胸外科专家为男子修补好膈肌,然后切胆取石,创下同时修补膈肌和切胆取石的世界纪录。

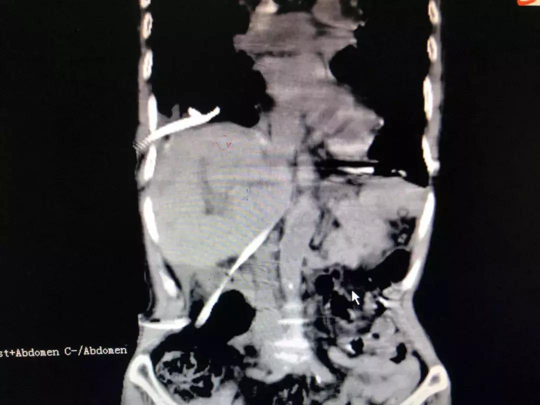
术前影像资料显示,胆管直径达27mm,为正常的四倍。
67岁的湖南邵阳男子胡国华(化名)从小体弱多病,5岁开始就有右上腹疼痛的毛病。成年后,这个毛病仍不时发作,因为家境贫寒没有到医院彻底检查、治疗,而是当作胃病,痛起来就吃点草药或胃药。

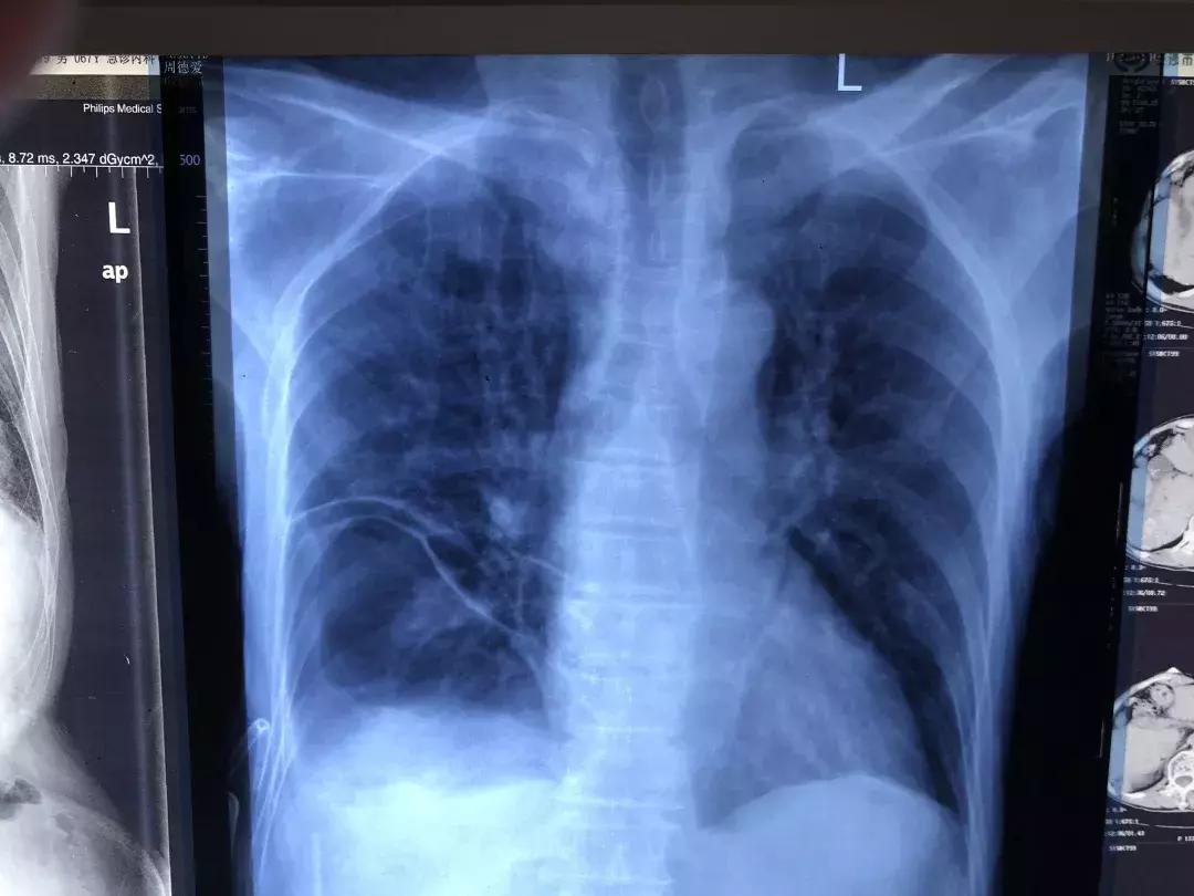
右侧膈肌缺如,部分腹腔脏器上移至胸腔内。
2018年底,胡国华右上腹疼痛再次发作,不仅疼痛难忍,还出现寒战、高热、黄疸等不适。儿子带他到长沙的几家医院就诊,由于治疗难度大,于2018年12月27日辗转来到湖南省人民医院肝胆外科何自力主任医师处就诊。检查后诊断为“肝内外胆管多发结石、急性梗阻性化脓性胆管炎,右膈肌缺如、膈疝”,随即收入胆道外二科病房。

术后,移位至胸腔的腹腔脏器回归原位。
入院当天,胡国华高烧达39℃,用最好的抗生素抗感染都收效甚微。首席专家吴金术教授、胆道外二科主任汪新天教授及何自力主任医师等讨论后一致认为,由于结石导致胆道梗阻,胆管压力高致使肝脏破裂,脾脏周围淤积大量胆汁和脓液,引起弥漫性腹膜炎,只有手术才能彻底解除梗阻、清除感染,因此手术迫在眉睫。

手术后胸腔无积液。
12月29日,在充分的术前讨论制定周密的手术方案后,手术如期举行。吴金术、汪新天、何自力等肝胆外科专家与心胸外科周文武主任医师一道洗手上台。麻醉后,患者心率一度高达130,血压74/33mmHg。经过胆道减压后,心率、血压稳定,探查发现:右膈肌缺如,肝脏、胆囊、横结肠都疝入胸腔。

首席专家吴金术教授等查看患者术后恢复情况。
周文武主任医师为患者施行膈下修补后,再由肝胆外科专家进行肝门胆管整形和取石操作。手术过程顺利,患者术后恢复良好,没有出现腹腔、胸腔感染和积液,右肺扩张良好,胆道通畅,于2019年1月18日顺利出院。

首席专家吴金术教授向媒体介绍患者病情。
“修补膈疝和切胆取石同时进行,目前国内外文献都未见报道”,湖南省人民医院首席专家、肝胆外科专家吴金术教授表示,出现右上腹疼痛应及时就医,一旦肝内外胆管多发结石导致急性梗阻性化脓性胆管炎这种严重并发症,手术难度和风险都将增加。
知识点1
膈疝在膈肌疾病中最为常见,是由于在膈肌发育过程中,如胚胎时的裂隙未能完全闭合,而在横膈上遗留成为裂孔,即可形成疝。临床症状取决于疝入胸内的腹腔脏器容量、脏器功能障碍的程度和胸内压力增加对呼吸循环机能障碍的程度。
知识点2
急性梗阻性化脓性胆管炎(AOSC)是由于胆管梗阻和细菌感染,胆管内压升高,肝脏胆血屏障受损,大量细菌和毒素进入血循环,造成以肝胆系统病损为主,合并多器官损害的全身严重感染性疾病,是急性胆管炎的严重表现形式。
作者:梁辉 何自力
编辑:邓璇