我们都知道大脑很重要,但这一点是大脑告诉我们的。仔细想一想,是不是觉得哪儿不对?没有大脑就不能活了吗?

大脑有必要存在吗?3个例子告诉你,没脑子也能活得很好
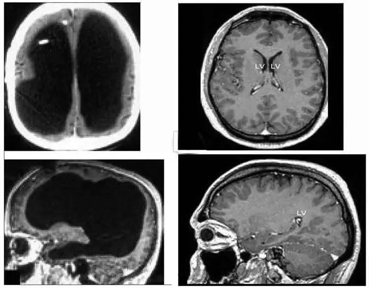
只有百分之十的大脑照样结婚生孩子。
《柳叶刀》曾在2007发布过这样一个案例:一名44岁的法国男子左腿有点问题,他就找人看,顺便对大脑做了核磁共振扫描,结果发现他的脑里都是积水,脑组织已经被挤得只剩下薄薄的一层。和正常人相比,他的大脑“几乎不存在”。经过测试,他的智商有75,和阿甘差不多。他很早就结了婚,还生了两个孩子,生活很美满,可以说没受到什么影响。如果不是因为左腿疼,他可能永远也不会发现自己其实“没脑子”。

左边是该男子的大脑;右边是正常人的大脑。中间黑色部分就是积水
数学系的高材生,脑组织薄得不到1毫米。
1980年12月,《科学》也讲述了一个类似的例子。有个数学系的学生脑袋比其他人的大,经过研究发现他大脑里也有积水,这些积水把脑组织挤得不到一毫米厚,而正常人的大脑皮层有4.5厘米厚。后来,这位学生顺利取得了数学学位。唉,看来数学学不好不该让脑子背锅。

右边就是该数学系高材生的大脑
半个脑子就能活,一只眼睛能看到别人两只眼睛看到的东西。
德国有个20岁的女生曾在3岁时被查出大脑只有左半边有脑皮质,也就是说,她只有“半个脑子”。她右眼没有视力,左边的肢体会突然无力或者是失去平衡,但她的生活却几乎不受影响,平平安安长大,上学、交朋友,和我们一样。而且,她的左眼视觉区域可以处理左右两部分的视觉信息,也就是说,她只用一只眼就可以看到别人两只眼看到的东西。大脑果然很奇妙。

大脑有必要存在吗?3个例子告诉你,没脑子也能活得很好
看完这三个案例,我不禁想问,我们是不是高估了大脑的重要性?没有大脑,有些人或许会活的更好。当然,这些案例可能只是特例,关于大脑的研究还有很长的一段路要走。
不过,下次数学考试再考不好,不要怪你的大脑了。