生活中,不少人会感觉到 耳朵里一直在嗡嗡响 ,特别是在安静的环境下尤其明显,去医院的耳鼻喉科检查却又 查不出 什么异常,那这耳鸣是什么原因引起的,又该如何改善呢?

案例分享
下面我想跟大家分享一个临床案例:
在今年四月份,患者易先生前来就诊,咨询的时候诉 双耳耳鸣 已经 三年余 了,在夜深人静的时候特别地明显,另外平时都是长时间对着电脑工作,颈肩位置的肌肉紧张牵扯感较明显。
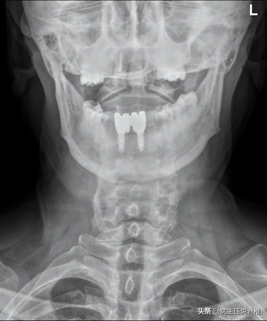
我在给易先生做体格检查的时候,发现他的颈椎第二、三关节突关节是有 明显错位 的,这种情况和耳鸣的表现有关系,上段颈椎的错位会 影响 到部分的 神经和血管 ,压迫时间久了有可能会导致耳鸣症状的出现。另外附着在附近的斜角肌、胸锁乳突肌和枕下肌群也是有较明显的 张力增高 的情况。

针对易先生这种情况,我们会主要处理其上段颈椎的问题,重点松解枕下肌群和胸锁乳突肌等,然后对有错位的第二、三颈椎关节突关节作正骨手法调整。
在第一次治疗后,易先生的颈椎感觉轻松了不少,整体的紧张牵扯不适都有较明显的减轻,但是耳鸣没有明显变化。在第二次治疗后 耳鸣程度减轻 ,这证明易先生的耳鸣是和颈椎的问题是有关系的,继续保持治疗让耳鸣慢慢改善就可以了。

询问患者治疗后的效果
医生点评
通过这个案例,想告诉大家,当出现类似耳朵经常嗡嗡响这种耳鸣的症状时,要 及时的做出处理 ,不然耳鸣可能会越来越严重。

可以先去耳鼻喉专科对耳朵进行全面的检查,在检查后没有特殊情况但耳鸣得不到缓解,并且平时经常脖子不舒服的情况下,可以到相关的 脊柱专科 医院及门诊进行诊治,平时也需要多注意生活和工作姿势,注意保护颈椎预防出现类似问题。