牙缝变大?
讲话漏风?
咬字不清?
塞牙,不小心就粘上菜渣?
甚至感觉牙齿松动?

整齐的牙齿为啥突然有缝隙?牙缝是怎样悄悄变大的呢?
1.拔掉牙齿后没及时镶牙
由于蛀牙等问题拔掉了牙齿后,没有及时镶牙,很容易造成相邻的牙齿慢慢松动移位,向旁边倾斜。

随着时间推移,你会感觉缺失牙两边的牙齿倾斜松动了,对颌牙也逐渐伸长了,原本排列整齐的牙齿出现了缝隙。
这也就是为什么我们总提醒缺牙者,拔牙后三个月(最迟不超过半年)一定要及时镶牙的最主要原因。
解决办法:种植牙或镶牙

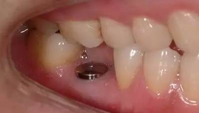
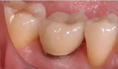
牙齿缺失,种上植体后

在植体上戴上牙冠,一颗种植牙就完成了
2.牙周病导致牙齿越来越稀
这也是最常见的致使牙缝变大的原因。牙周疾病会造成牙龈萎缩,牙根暴露,牙龈一旦萎缩,牙缝自然而然就变大了。

牙结石就是造成牙周病的罪魁祸首。轻度:它会使牙龈发炎、出血;重度:它会导致牙龈萎缩、牙周发炎、牙齿松动直至脱落。
牙周病的预防
①如果12岁以后牙齿排列仍然不整齐,应找专业正畸医生检查看是否需要进行矫正治疗。
②长期牙龈出血、红肿,应引起重视,及时进行检查和治疗。
③建议定期洗牙,使用牙线,正确刷牙。
④改掉口腔不良习惯,比如避免直接用牙齿咬啤酒盖。
⑤如果发现牙齿局部出现移位、有缝隙、松动或咀嚼无力,及时见牙医。
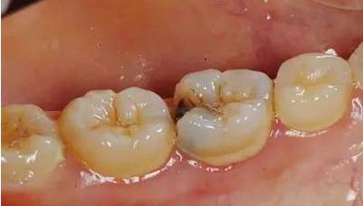
3.牙齿龋坏,细菌腐蚀牙齿形成缝隙
我国成年人患龋率高达88%,牙齿被腐蚀的缺一块少一块,它怎么会没有缝隙呢?
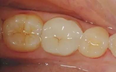
解决方法:补牙及修复

牙齿龋坏,缺损严重

高嵌体修复后,牙齿恢复正常形态和咬合
4.病理性移位
此外,作用在牙齿上的力量平衡发生了改变(比如长期使用同侧牙齿咀嚼),很可能表现出的症状就是牙齿移位,在理论上称为”病理性移位“。
病理性移位的方向并不固定,几乎所有的牙齿都会发生,但前牙的发生几率是最高的。
解决方法:牙齿美容修复

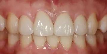
门牙缝隙大,侧切牙过小,不够美观

两颗门牙全瓷冠修复,侧切牙瓷贴面修复

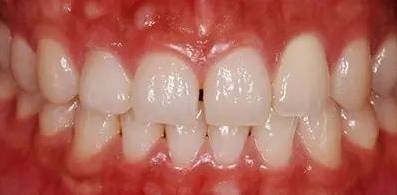
门牙缝隙,且过窄过短

瓷贴面修复后,比例协调,美观自然