点击「神经介入在线」可快速关注
作者:刘艳
单位:靖江市人民医院
病情信息
》男性, 64岁。
》因“突发昏迷三小时”入院。患者三小时突发意识不清,呼之不应,家属急送至外院就诊,查头颅CT:未见明显出血灶;为进一步诊治转送我院。
》既往史:有高血压病史7年。
》查体:BP:233/129 mmHg,中-深昏迷,双侧瞳孔等大等圆,直径约2 mm,对光反射消失,眼球向下凝视,露齿、伸舌不合作,心率66次/分,偶闻及早搏,各瓣膜区听诊未闻及病理性杂音。四肢肌力、肌张力不合作,刺痛肢体过伸,双侧巴氏征阳性。GCS:3分。
》外院头颅CT:未见出血、梗死病灶。
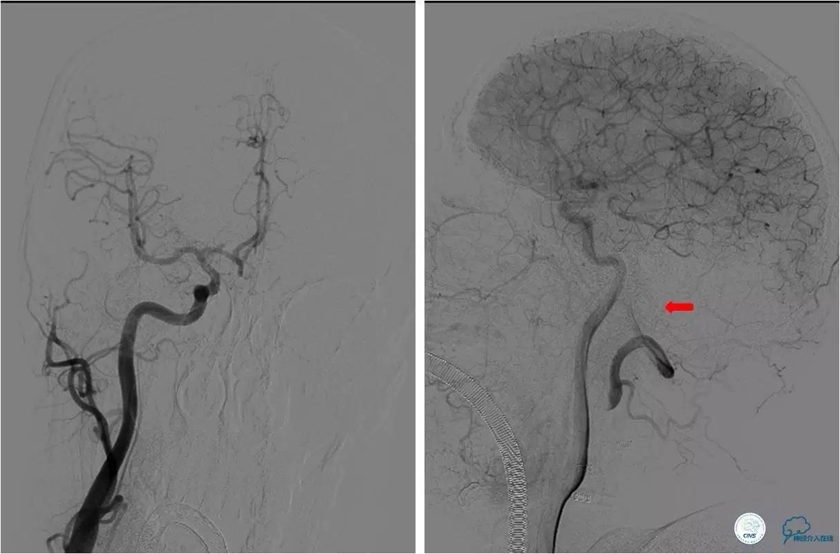
》急诊CTA:基底动脉闭塞,右侧椎动脉起始端长段闭塞。
术前
》术前急诊CT

》术前急诊CTA

治疗计划
★基底动脉闭塞三小时,有静脉溶栓指征,先行阿替普酶 0.9 mg/kg静脉溶栓;
★患者急诊CTA提示基底动脉闭塞,有急诊血管内治疗的指征,故考虑桥接治疗,和患者家属沟通后送至导管室。
术中
全身麻醉,入院70分钟后股动脉穿刺成功。
》术中造影
★右侧椎动脉起始端长段闭塞,右侧颈深动脉向右侧椎动脉供血,远端基底动脉不显影;左侧椎动脉纤细,V3段以远不显影。

★右侧颈总动脉正侧位,可见右侧枕动脉通过肌支向右侧椎动脉供血,远端基底动脉不显影。

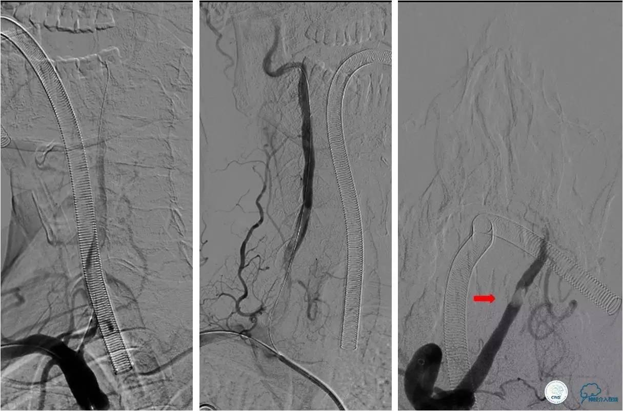
》治疗过程
★2.0x20 mm球囊扩张后,右椎动脉起始段见前向血流,将6F navien颅内支撑导管送至V3段造影,见V4段有血栓,基底动脉闭塞 ;

★Solitaire 6.0x20 mm取栓支架到位造影,取栓两次后基底动脉再通。

★取栓后处理椎动脉起始端的狭窄,椎动脉开口处先放置一枚球扩支架,造影见支架远端仍有狭窄,将Solitaire 6.0x20 mm贴敷在狭窄段,造影见前向血流改善(TICI分级 3级)。

术后
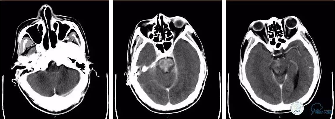
》术后复查头颅CT
★术后即刻头颅CT、术后6小时复查头颅CT,脑干内高密度影明显变淡,提示高密度影为造影剂外渗,不是出血。
即刻

6h后

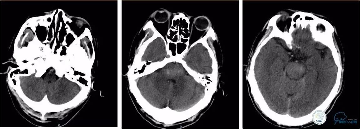
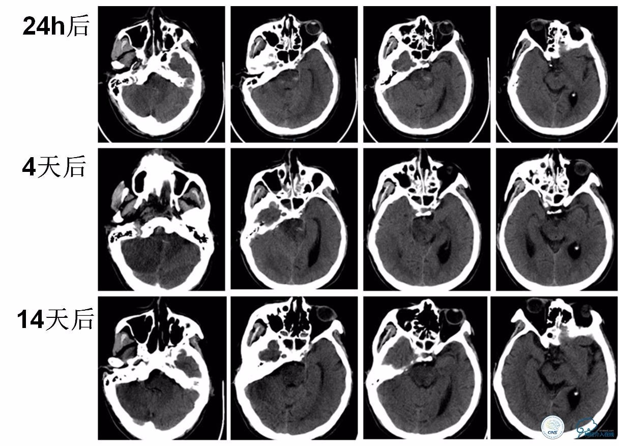
★术后24小时、术后4天、术后14天复查头颅CT。

》术后情况
★术后带气管插管入ICU;
★持续替罗非班泵入24小时后改拜阿司匹林100 mg、波立维75 mg胃管内注入;
★术后十天拔除气管插管,神志转清,呼之眼球能活动,四肢无自主活动,呈闭锁状态;
★术后三周转至康复科康复锻炼;
★三个月mRs评分:5分。
总结
1、急性基底动脉闭塞的预后通常较差,死亡率达到90%,而在存活的患者中,伴有严重的局部神经功能障碍者要超过65%。
2、血管内机械取栓能提高再通率,改善患者预后。
3、既往研究提示:很多因素与急性基底动脉闭塞功能预后有关,如年龄、心房颤动、表现为波动性症状或发病即达最大症状、发病时GCS评分、NIHSS评分<14、存在侧支循环、治疗时间窗、多模式治疗方案及良好的再通等。
4、后循环梗死术前影像学评估建议使用多模核磁,如脑干梗死>1/3的患者不适宜血管内机械取栓;可做造影来评估侧支循环,观察后交通动脉、PICA有无代偿。
5、后循环闭塞的病人常伴有前驱症状,患者出现意识障碍前可能已有前驱症状,真正缺血的时间窗实际上已经很长,所以血栓形成的时间远大于突发意识障碍的时间。突发意识障碍超过2小时、下位脑干病变的患者往往提示预后不好。
6、椎动脉、基底动脉出现串联病变时可采取个体化的处理原则,先远后近或先近后远。
7、如何鉴别CT上高密度影是出血还是造影剂外渗:有没有占位效应;病人症状有没有加重;有些出血会破入脑室;出血有时是多灶性;CT值有助于参考;造影剂强化一般局限在某个核团或者术前核磁提示的梗死灶。
神经介入中心展示
135编辑器
135编辑器提供非常好用的微信图文编辑器。可以随心所欲的变换颜色调整格式,更有神奇的自动配色方案。

