处理基底动脉狭窄,如远端双侧大脑后动脉P1段缺如或者发育不良(大脑后动脉为胚胎型大脑后动脉),微导丝及支架系统的着陆区只能选择小脑上动脉。本周我们汇报一例小脑上动脉作为导丝着陆区的基底动脉重度狭窄支架治疗过程。
病例详情

病情信息
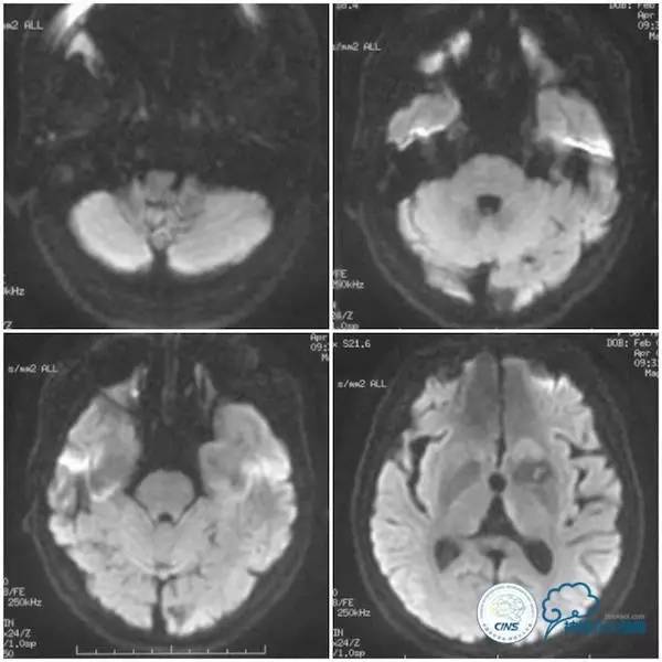
患者,女,56岁,主因“发作性头晕伴行走不稳1个半月”入院。患者1个半月前无明显诱因突发头晕,伴行走不稳,左下肢踩棉感,偶伴有恶心、呕吐。头晕与体位有关,站立行走时出现,平卧及坐位可减轻,无复视、耳鸣、肢体麻木无力、意识障碍等,后就诊于当地医院,查头颅MRI示后循环区域未见新近梗死,左尾状核头及侧脑室前角区域陈旧性脑梗死(图1)。

图1
头颅CTA示基底动脉重度狭窄(图2)。

图2
予抗血小板聚集、降脂等治疗后症状仍有反复发作。现为进一步行血管既内治疗。
来我院往有高血压病、2型糖尿病病史。3个月左前循环脑梗死病史,此后患者一直口服拜阿司匹林、波立维、立普妥治疗,无明显后遗症状。
入院神经系统查体无阳性定位体征。
入院后给予双联抗血小板(拜阿司匹林100mg 1/日+波立维 75mg 1/日)、降脂(立普妥 20mg 1/日)及降压、降糖治疗。
LDL1.57mmol/L,HbA1c7.8%,CYP2C19 *1/*1(快代谢型)
术前造影(图3-6):左椎动脉优势,左椎动脉V4段迂曲,基底动脉近段重度狭窄,双侧胚胎型大脑后动脉。

图3

图4

图5

图6
术前讨论
1.患者基底动脉重度狭窄,抗栓治疗仍有症状反复,未见明显前循环向后循环区域代偿,考虑行血管内介入治疗。
2.双侧大脑后动脉P1段发育不良,致微导丝着陆区只能选择较为粗大的左小脑上动脉。
3.病变较为局限,拟选用球囊扩张支架。
4.治疗风险:穿支卒中。
5.治疗难度:左椎动脉V4段略有迂曲,有支架输送系统到位困难可能。
治疗过程简述
全麻下右侧股动脉穿刺置入6F动脉鞘,交换置入7F长鞘(70cm)置于左锁骨下动脉近端,沿长鞘送入6F Navien导管(115cm)置于左椎动脉V2段以远,造影示基底动脉近段重度狭窄(图7)。

图7
Pilot微导丝(0.014”,190cm)路径图下小心通过基底动脉近端狭窄段至左小脑前下动脉,沿微导丝送入Ultra-soft (2.0×20mm)球囊至基底动脉近端狭窄段预扩张(图8)。

图8
扩张后沿微导丝送入Apollo支架(2.5mm×8mm),释放支架后造影显示支架贴壁良好,狭窄明显改善,前向血流TICI3级(图9,10)。

图9

图10
总结
1.治疗基底动脉狭窄时,如果双侧大脑后动脉P1段发育不良或缺如,选择粗大的小脑上动脉作为微导丝的着陆区还是可行的,但要避免输送系统时导丝前窜穿孔危险。
2. 本例狭窄程度重且病变短,治疗过程中担心病变过硬导致直接放置球囊扩张支架移位,故选择预先球囊扩张。