我是消化内科的主治医生,按照惯例,今天先给大家讲一个真实的病例:
去年的一天晚上,我值夜班,主任打电话来,说他有一个亲戚,半夜突然肚子疼得不得了,还老是呕吐,吃不下东西,在市二医院搞了半天一点都没有好转,而那边医生也说不出一个所以然,所以想转过来我们中心医院诊治,刚好有床,我就答应病人转过来了。
一个小时后,来了一个中年妇女,捂着肚子,表情痛苦,冒冷汗。经询问,她大半夜睡觉的时候突然间痛醒,老是呕吐,没有拉肚子,肚子胀得厉害,就去了附近的医院打吊瓶,那边医生说是肠梗阻,就给她插了胃管,用了抗生素,给一些氨基酸营养液输注。

来的时候病人剧烈腹痛
半天过去了,腹痛和呕吐一点都没有好转,她再也耐不住了,就转过来我们医院。经我查体,发现她整个肚子都很胀,没有肠鸣音(肠道蠕动的声音),整个肚子压着都说痛,确实是肠梗阻的临床表现。
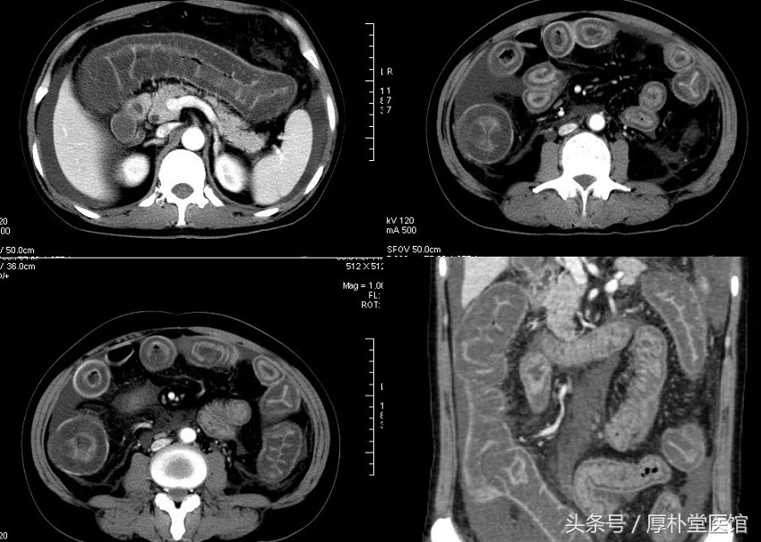
我看了外院的CT发现她的肠壁明显水肿,但没有见到肠梗阻特有的气液平面,胰腺也没有事情。但鉴于她的临床表现真的非常符合肠梗阻,按照治疗原则,我还是继续给她输液,用了抗生素等等。还给她复查了血,发现白细胞并不高,但C反应蛋白明显升高。
她没有再喊痛,我就去休息了。第二天早上,护士敲门叫我去看她,她说她痛得比昨天晚上更加厉害,我只能给她打了止痛针,但根本不凑效。很饿,我就去吃了早餐。
边吃早餐,我一边在构思这个病人的病情。女性,起病突然,呕吐腹痛,肠壁水肿,老是搞不好。肯定是一种全身性的疾病才能累及几乎全部肠段,是克罗恩病还是腹腔感染?是肿瘤还是结核?能不能查肠镜?最后我想起来一个全身性的疾病,可能累及肠管的,又是白细胞不高的,抗生素搞不好的,轮科的时候好像见到过,那就是自身免疫性疾病,特别是狼疮性肠炎。

猛然想起病人的情况很像系统性红斑狼疮
早上主任就安排了疑难病例讨论,要我发言,我是这样说的:患者,中年女性,急性起病。病程只有2天。腹痛伴有呕吐,全腹部都有压痛,和轻微反跳痛,肠鸣音消失。白细胞正常,C反应蛋白明显升高,CT见广泛肠壁增厚,但没有气液平面。按照肠梗阻的处理原则治疗后,症状仍持续恶化。目*考前**虑全身性疾病可能性大,优先安排以下检查:抗核抗体、抗核抗体谱、ANCA、补体、免疫球蛋白、狼疮抗凝物和全腹CT增强扫描。治疗原则在确诊之前继续同前,维持患者内环境稳定,请风湿科会诊。

做了CT增强示肠管呈双环征
第三天结果出来了:抗核抗体 1:1000阳性、抗SSA和抗SSB均呈阳性。CT增强提示小肠肠壁呈典型的双环征,肠系膜呈筛状。风湿科会诊考虑自身免疫性肠炎。以干燥综合征可能性大。故安排了转科治疗。
转科之后,进行了唇腺活检,证实了干燥综合征的诊断。风湿科医生在抗感染的前提下,给她甲强龙(激素)冲击,并给予环磷酰胺抑制免疫等治疗,经过一个星期的调理,患者已经完全没有腹痛了,能正常饮食,带药出院了。

病人终于确诊为干燥综合征了
这个病例使我受益匪浅,对于女性,任何无法用常见病来解释的,治疗效果差的,都应该注意到风湿病。风湿病即自身免疫性疾病,它能累及全身各个脏器,临床表现复杂。自身免疫性肠炎是由于风湿活动影响肠道,造成肠道一系列免疫反应引起,诊断困难,如诊断耽误了,患者不能得到及时治疗,可能会因为严重脱水或多器官功能衰竭而失去生命。
病人永远是我们最好的老师!多在病房工作,多接触病人,临床经验便会丰富起来。
喜欢我的文章吗?有什么健康的问题需要咨询吗?我是消化内科医生,如果平时胃不舒服,请点击关注我:厚朴堂医馆,并私信“胃不舒服怎么办?”,我会第一时间帮你解答。动一动手指,从此多一个头条保健医生。