不知道大家有没有察觉每次剔完牙后,牙签或者牙线上都会发出一股异味(臭臭的味道),味道那酸爽很上头!......

为什么牙缝会那么臭?
其实我们的口腔内本身就存在很多很多的细菌,是一个非常适合细菌生存的环境。一旦吃东西后不注意口腔卫生,食物的残渣就会残留在牙缝中。
然后口腔高温湿润的环境中发酵,产生臭味(氨气的味道--也是屁的味道),长时间还会有腐败的味道,闻起来味道就格外的酸爽。
这种情况下我们应该怎么办呢?
说到底,牙缝臭的根本原因还是在于没有好好刷牙,没有做好口腔的日常清洁工作,让牙菌斑、牙结石、悄悄而生。
在这种情况下我们就要学会如何正确的有效的刷牙,我向大家推荐巴氏刷牙法!如下
取适量牙膏于牙刷上,牙膏先不要沾水,将刷毛放在牙齿颈部,使牙刷的刷毛与牙齿长轴成45º角,轻轻加压,使部分的牙刷进入两颗牙之间的邻间隙,两然后短距离的水平颤动!之所以叫颤动就是我们水平拉水平拉动牙刷的幅度不要过大,水平颤动的幅度不超过2mm.
刷牙最好按顺序来,从一侧到另一侧,里外面都要刷,两三颗牙齿为一组,这样一组一组地刷,不要遗漏任何牙,每一组水平颤动5-10下后,再将整个牙面拂刷,上面的牙齿从上向下拂刷,下面的牙齿从下向上拂刷,这样就将颈部牙面以及牙间隙里的渣滓刷出,再换下一组,最好与上组牙齿有重复,这样才不至于遗漏!
对于上下前牙的里面,我们横着刷是不方便的,需要将牙刷竖起来,将刷头尾段或前端的刷毛放于牙齿的颈部,轻轻加压上下方向振动刷毛5-10下后,再沿牙面拂刷,同样是,下面的牙齿从下到上,上面的牙齿从上到下,也就是从牙齿颈部到牙齿牙尖顶端拂刷而过,这样整个牙面都顾及。

把每颗牙齿的里外面刷干净后,就轮到咬东西的面,特别是后牙的咬合面凹凸不平,有很多沟脊,容易残留食物残杂,刷不干净容易引起龋齿(虫牙)。怎么耍呢?方法还是一样的短距离水平颤动,直接将牙刷刷毛整体放在咬合面上,这个时候,刷毛都是垂直于咬合牙面的!同样一组一组耍,保证每一组之间有重复,轻轻加压来回颤动,幅度不超过2mm。刷完上下的咬合面。
最后还有一个面不能遗忘,那就是最后一颗牙的最里面,将我们的牙刷放在最后一颗牙的最里面,用刷毛将整个轻轻加压面拂刷两三次,这样,几乎每个面都顾及了!
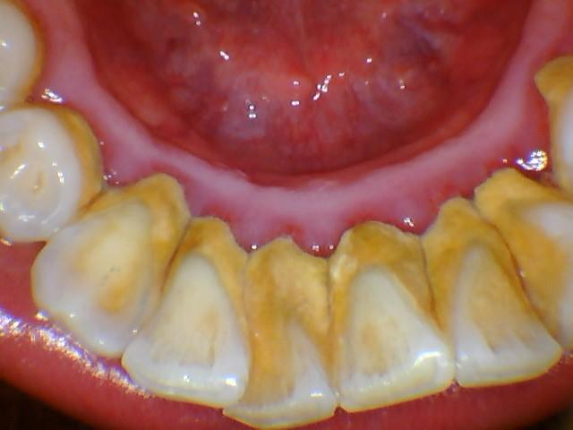
牙结石自己在家清洁不掉怎么办?
什么是牙结石?牙结石长什么样子呢?

洗牙是去除牙结石最有效的方法,洗牙分龈上洁牙和龈下刮治。龈上牙结石最好的处理方法是超声波洁牙。而针对龈下牙结石我们就需要龈下刮治了,过程比龈上洁治略有不适,但效果好,但是一般都是在局部麻醉或者阻滞麻醉下完成的,完全可以接受。
牙缝长时间清理不干净就很容易发展成龋齿,大家一定要注意。假如已经发生龋齿,就需要到医院口腔科清除腐质,备洞,树脂充填,修整外形。严重一些的就需要做根管治疗了。
所以,为了牙齿的健康
日常清洁工作一定要做好!
部分内容来源于网络,侵权联删。