一些朋友在医院拍了x光片之后,会被医生告知"长骨刺"了。

听名字,"骨刺"还是挺吓人的,这也给他们带来了不小的心理压力——毕竟骨头上长了"刺",谁能不担心呢?
这次,金医生就来给大家普及一下"骨刺"的知识。
长骨刺,到底是怎么回事?
其实,骨刺是「骨质增生」的俗名。随着人岁数的增长,人体内的骨骼会慢慢"老化",特别是用的比较多的关节附近的骨骼,老化会更为明显,而这些老化的地方就容易长出骨刺。

因为骨骼老化时,它的正常受力也会随之改变。这时骨头为了"自救",不被压断,它就会长出"骨刺"这个支撑点来加固自身,保持稳定性。可以说,骨刺就是骨骼为了应对"衰老"而做出的调整性改变。
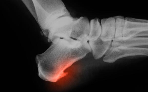
常见的有踝关节(脚部跟骨)附近的骨刺、膝关节半月板附近的骨刺、脊柱骨刺等等。

长了骨刺会有哪些症状?严不严重?
多数情况下,骨刺并不会有什么明显的症状,它更不是什么严重的疾病。只有骨刺压迫到神经、血管等位置时,才会产生相应的症状。
比如最常见的脚部足跟骨刺,可能会引起脚跟痛。
腰椎的骨刺,可能会引起腿麻、腰痛等症状。
膝关节的骨刺,可能会引起膝盖痛、膝盖活动时有响声等表现。甚至造成骨关节的炎症。
颈椎的骨刺,可能会引起头晕、脖子痛、手发麻等。
如果检查出骨刺的你,伴随上述相应症状时,就应该去医院检查一下。

得了骨刺,怎么治才能好?
首先大家不用太紧张,因为骨刺严格来说并不算一种"病",如果没有引发各种症状的话,是不用治疗的,关键在于"多休息,少剧烈运动"。
但如果有症状了,比如各类麻木或疼痛,就可以考虑治疗。措施包括:
1. 牵引、热敷、红外等理疗。比如脚部跟骨骨刺,可以用毛巾做脚部的牵拉。
2. 必要时,可服用消炎镇痛药。具体服药要遵循医师/药师指导,需注意自身有无禁忌症。
3. 多休息,减少繁重的劳动,尤其是需要保持固定姿态的活动。

4. 可以选择游泳的方式来做康复锻炼,锻炼关节周围的肌肉,并且能减少关节的负担。
5. 减肥,控制体重有助于减少骨赘的产生,对一些有症状的骨刺能起到奇效。
除了上述几点,大家也考虑在医师指导下服用氨糖,如果服用一个月后症状缓解,那就继续服用,直到症状消失后停药。
那什么时候需要手术呢?通常骨刺首选保守治疗的方法,只有当骨刺引发的症状比较严重,压迫到神经或血管,或影响关节正常活动时,这时才需要手术来"解决"骨刺。
在最后,金医生要提醒各位朋友,骨刺是不能通过"使劲走"等方式把它磨掉的,这只会加重骨骼的"耗损"或关节软骨的损伤,引发更多的骨刺出现。