
欢迎家长提问留言,尽量做到有问必答

▲塞牙的时候,常常万物皆牙签
孩子吃饭老塞牙怎么办呢?
孩子用手口扣不卫生,用牙签又不太安全。
春芽宝贝告诉你:首先你要知道你家孩子塞牙算不算正常。
孩子塞牙正常吗?
这个问题要分两种情况来回答。
一种是正常的,正常情况下牙齿之间本身就有间隙,吃东西有时会塞牙。
随着孩子长大,吃的东西越来越丰富。其中不乏一些纤维较粗的食物,这些食物本身不容易嚼碎,容易卡在牙缝里。特别是乳牙没长齐或6-7岁的孩子正处于替牙期(换牙期),这时候牙齿可能不太整齐,牙与牙之间还存在一些缝隙没有闭合,容易造成塞牙的情况。这种情况是生理性的,随着孩子牙齿发育牙列排列整齐后塞牙的情况就会减少。

还有一种是不正常的。
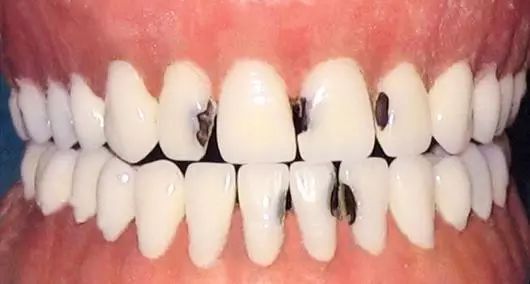
比如说牙齿龋坏了(蛀牙),正好是在牙齿的相邻的那个面上,或者是牙齿龋坏出一个龋洞,食物卡在龋洞里,这样塞牙的情况是不正常的。

▲邻面龋容易导致塞牙
另外,还有青少年有明显的牙列不齐、牙列拥挤等情况,这种牙齿排列不整齐是不可能通过生理上的自我调整恢复的。所以也是不正常的现象,需要借助外力进行矫治(正畸)。

▲牙列不齐也容易导致塞牙
春芽宝贝想特别提出,塞牙和蛀牙其实是因与果的恶性循环。我们曾经多次提到过口腔中的食物残渣是蛀牙产生的重要条件,一旦塞牙而不处理,久而久之口腔细菌产生的酸就不停侵蚀塞牙的部位。龋洞越来越大,塞牙也越来越频繁。如此一来,互为因果。
所以小朋友塞牙更加不该不忽视!
孩子塞牙了这么办呢?
经常看到孩子塞牙然后用手抠牙缝,这个习惯不仅不雅观也不卫生。还有自己使用各种各样小道具的。很多家长都知道用牙签剔牙不好,但塞牙又不能不管。

▲用又尖又硬的东西剔牙(错误!)
可以用来解决塞牙的方法无非是:
-
漱口(推荐,漱口不仅能带走口腔食物残渣还能改变一下口腔的酸性环境)
-
刷牙(最少一日两次,餐后塞牙也可配合进行。)
-
牙线(天生就是用来清洁牙缝和对付塞牙的利器)
关于最后一点,可能有些家长还不知道牙线是啥。有些家长自己用过但没给孩子用过。有些家长还对牙线有一些误解。但事实上牙线是非常好的清洁工具,值得家长考虑。


