胰腺疾病逐年升高,临床发现胰腺癌是目前癌症中疾病发病率最高的一类疾病,严重危害到人体的健康。 胰腺作为人体各类酶的产生场所,参与人体的饮食物的消化以及内分泌的调节。 胰腺疾病早期不易引起人们注意,但是一旦到了后期就随时可能危机生命。
以下面王先生这个病例为典型来看一下胰腺疾病的危害。 42岁的王先生私营了一个小门市,每周都会有应酬,经常的暴饮暴食、饮酒无度; 妻子经常劝诫王先生要节制,但是养家的压力让王先生根本听不进去妻子的话,经常与妻子发生争吵,情绪长期处于压抑中。

半年前王先生在一次酒局结束后,感觉胃中嘈杂、腹部不适、恶心,王先生当时并没有理会这些症状, 只当是喝酒喝多了引起的腹部不适,也就没有去医院。之后几天里王先生就出现了腹泻的症状,但是也还是没有在意,以为是昨天的饭菜不新鲜,随即去药店拿了一些治疗腹泻的药物。
在腹泻症状出现两天后王先生开始半夜腹痛,把身子拱起来后疼痛感会减轻。 但是持续时间只有十几分钟左右,所以王先生也并没有去医院。
腹痛症状持续五天后王先生照常参加了一个酒局, 在聚会开始之前王先生就有些腹部不适,但是王先生还是喝酒了, 大约半个小时后王先生上腹部剧烈疼痛,呕吐秽浊,神志不清,同伴连忙送去医院。

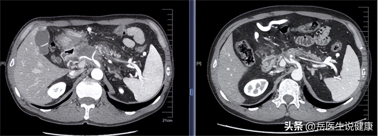
急诊医生接到王先生后进行查体,结果显示:腹部隆起,上腹部疼痛剧烈,神志不清,体温升高,询问原因得知是饮酒过度,考虑急性胰腺炎,安排腹部CT扫描。
实验室检查结果显示:血尿淀粉酶增高。CT显示胰腺轮廓扩大呈现为低密度不规则形状,弥漫性肥厚表现明显,诊断为急性胰腺炎。
医生立即为王先生安排镇痛、蛋白酶*制剂抑**、抗感染等治疗。 之后告诉王先生的妻子禁止给王先生喂食物和水,来抑制胰腺的活动,等待胰腺的恢复。 五天后王先生腹痛症状消失,再次查看尿淀粉酶结果正常,进食后再次观察无任何不适症状,尿淀粉酶也在正常范围,王先生康复出院,医院建议王先生三个月后进行复诊。

出院时医生嘱咐王先生胰腺疾病复发几率很大,严重的甚至危及生命。王先生的妻子询问医生想要减少胰腺的发病率怎么办? 医生建议尽量少饮酒,禁止暴饮暴食,养成良好的饮食习惯。多吃一些粗粮与蔬菜,平时注意运动、增强体质、注意休息、不要负担太大压力。
回家后王先生的妻子立即把王先生的藏酒都送人了,每天严查王先生的饮食,日常经常做一些少油少盐的食物作为王先生的午餐,督促王先生每天的运动量。经过此次事件后王先生也减少了聚会的次数,每周还会陪着妻子进行长跑。

三个月后王先生去医院进行复诊,腹部CT显示:腹腔内病理改变完全消失,胰腺状态正常, 实验室检查:尿蛋白酶正常,医生夸赞王先生恢复的很好,养成的习惯要继续保持。
半年后医院随访,王先生表示饮食习惯已经形成一直在遵循,近半年也再也没有出现过上腹部疼痛。
上述病例显示急性胰腺发病虽很急但是只要患者遵循医生的建议,改变自己的饮食结构,治愈率还是很高的。 胰腺作为人体的重要结构,在饮食物消化过程中,它的功能是不可替代的,那么胰腺除了在消化中的作用外还参与了那些过程呢?

一、 胰腺在人体中的重要性
胰腺在腹部地左上方,和一个长锥子一样,小巧但很“尖锐”。相比于像肝脏心脏那样的器官来说,胰腺确实是一个“很不起眼”的小器官。但是就是这个“不起眼”的小器官却对于全身的调节有着非常大的影响。
(1)促进消化,利于饮食物的吸收
胰腺的功能可以分为内分泌与外分泌,外分泌细胞可以分泌胰液。 胰液由体内各种神经控制分泌,当食物由口腔进入胃中的时候,会刺激迷走神经让胰腺分泌胰液,胰液含有各种酶类物质,能够帮助食物分解成各种小分子物质,促进人体的吸收。

(2)调节血糖
胰腺的内分泌细胞可以分泌胰岛素和胰高血糖素。 这两个小分子物质是调节血糖的关键。当人体血糖摄入过多或者血糖消耗减少时,人体血糖浓度升高。此时胰腺的外分泌细胞会分泌胰岛素,胰岛素与血糖受体相结合,分解血糖,使得血糖浓度下降。
当人体血糖消耗过大、供给不足时,中枢神经将信号传给胰腺的内分泌细胞,刺激内分泌细胞分泌小分子物质 ,使得肝细胞分泌的胰高血糖素增加,促进葡萄糖的转化,使得血糖浓度增高,维持基本生命特征。

所以有一些胰腺癌后期的患者将胰腺切除后,体内胰岛素分泌受限,血糖无法与胰岛素结合,血糖浓度增高,长期以往患者会再次并发糖尿病,严重影响生活质量。[1]
胰腺对于人体健康来说是如此至关重要,但是胰腺癌的致死率却是可以基本与胰腺癌的发病率持平。胰腺癌发病极其隐匿,一旦出现明显症状时就已经追悔莫及,所以就要在早期开始截断,那什么症状出现的时候就要开始注意胰腺健康呢?

二、 胰腺疾病有哪些症状?
胰腺作为人体的“消化器官”在饮食物的消化中扮演了非常重要的角色。 所以当胰腺发生“损害”的时候首先就是消化道的症状,腹痛、恶心、呕吐是最常见的临床特征。
此外胰腺疾病也分为急性和慢性,在疼痛上急性胰腺炎疼痛感要更加剧烈,经常疼痛伴冷汗自出,脸色发白,更有甚者伴发热、呕血、神志不清等症状。

慢性胰腺疾病疼痛感不是那么剧烈,经常不间断地出现,当疼痛出现时蜷缩着身子会舒服一些,经常会伴有腹胀、恶心、食欲不振的症状出现。
但是慢性胰腺疾病的这些症状出现时间会比较长,一般情况下病人会误以为是消化道症状而忽略,时间长了之后会出现黄疸,此时就已经可能出现癌变的倾向了。
所以身体出现腹痛时间长,没有明显诱因的出现恶心、呕恶、食欲不振的症状并且持续时间超过一周就要检查是否是胰腺出现问题,尽量在早期就要发现,及时治疗,阻断其癌变的可能 。

胰腺对于人体来说是如此重要,目前在胰腺癌的前瞻性研究中指出如果患上胰腺癌后仅有百分十到百分之十五的几率可以进行手术治疗,其余还是进行化学放疗治疗,对于肾体损害极大。所以要尽可能截断胰腺癌的发生率,早期预防,减少胰腺疾病的发生。
三、 医生提醒:保护胰腺从这几件事情开始做起
胰腺癌被列为恶性肿瘤排行榜上的“第六大杀手”,因为治愈率低下,预后不良,经常让人们谈之色变。研究者认为对胰腺疾病最好的治疗方式就是保护胰腺,早期阻断其发病的可能。要想减少胰腺疾病的发生率就要做好这几件小事。

(1)形成健康的饮食模式
胰腺癌又称为“富贵病”,好多都是由饮食过于丰厚而导致胰腺疾病发生。随着研究的深入,研究者们发现饮食因素在胰腺癌的发病中发挥了一定的作用,并提出了一系列的饮食指导意见。
在健康饮食这一方面要做到少糖、少脂、低加工肉类、高维生素的标准。研究指出过多的糖类能够诱导胰腺细胞突变,增加胰腺癌的病发率。 高加工的肉类含有血红铁素能够促进亚硝酸基化合物和丙二醛等致癌物质的产生。

研究学者发现鱼肉的摄入可以减少胰腺疾病的发生,水果和蔬菜中含有大量的抗炎和抗氧化成分,能抑制胰腺疾病发炎的可能,此外全谷物较精细谷物而言能够减少胰岛素抵抗的可能,从而避免胰腺癌的可能。
研究人员建议好的饮食习惯应该是地中海饮食模式,肉类以鱼肉为主,百分之四十到五十的食物来自粗粮,以小麦为主,其余为蔬菜和蔬菜的占比。

(2)减少烟酒等不良嗜好
烟酒对于人体的损害一直受到研究者的广泛关注,截止到2016年相关研究报道烟酒是慢性胰腺炎的最大危险因素,而慢性胰腺炎又是胰腺癌的最大危险因素。
在一项相关试验中显示在相同组的男性和女性胰腺疾病测试中,饮酒量多的胰腺疾病发生率更高,而男性的胰腺疾病发生率要比女性高,相关研究发现男性的吸烟占比要更高。
澳大利的一项研究发现戒烟可以减少百分之二十七的癌变发生率。 而且动物实验表明*草烟**中所含有的致癌物质可以激活异常的信号通路,抑制分子活性,减少蛋白表达,诱导基因突变,使得胰腺癌的发病率增加。

因此研究者建议在日常中为避免胰腺疾病产生要减少烟酒的摄入量,加强运动,形成健康饮食。
(3)适量的运动
运动可以增加身体的能量消耗,提高葡萄糖的利用率,降低血糖浓度,改善胰岛素抵抗,降低糖尿病的发生率,同时也减少了胰腺疾病发生的可能性。
同时适量的有氧运动可以增强体质,疏通经络,调和气血,使得人体正气十足,减少外界环境对人体的影响。只有人体正气充足,脏腑阴阳才能维持平衡,胰腺自然“正常工作”。
此外适量的运动可以适当地释放压力,减少交感神经释放特殊激素,促进胰腺“适当工作”,减少胰腺癌变可能。

总的来说胰腺对于人体来说“不可忽视”,想要减少胰腺疾病发生就要做到像病例中的王先生那样健康饮食,生活规律,并长期以往地坚持下去。
胰腺疾病说小很小,急性胰腺炎只要治疗及时,后期合理饮食,多吃水果和蔬菜也能做到不复发。 胰腺疾病说严重也特别严重,当慢性胰腺炎癌变转化为胰腺癌时,当前地医疗技术也只有百分之十五地可能手术治疗,而且预后还极差。
所以一定要合理饮食,少抽烟少喝酒,坚持长期运动,守住“胰腺”这条我们地“生命线”。
参考文献:
[1].王旭,程合,刘辰,虞先濬.2022年度胰腺癌研究及诊疗新进展.中国癌症杂志
[2].杨卿菁,李懋,李振录,胡伟明.饮食因素与胰腺癌发病风险相关性研究的进展.中国普外基础与临床杂志