本文为作者授权医脉通发布,未经授权请勿转载。
导读
最近的研究表明,在脑干脑炎和皮层脑炎患者中,可以检测到抗髓鞘少突胶质细胞糖蛋白(MOG)抗体。本研究报道了两例临床特征与神经白塞病(NBD)相似的抗MOG抗体相关脑炎患者。

病例报告
病例1
2011年4月初,一名55岁的男子出现左臂局灶性运动性癫痫发作,然后无法伸展左手,并因此住院。入院查体可见左臂单瘫,体温为36.6°C,余未见明显异常体征。
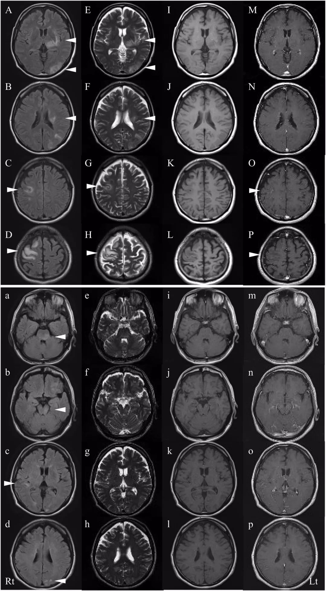
头颅MRI T2WI和FLAIR图像显示右侧额叶、左顶枕叶皮层下白质、双侧海马旁回、左侧丘脑、左侧外囊和左侧放射冠多个高信号病灶;右额叶病灶轻度增强(图1,
上图)。脊柱MRI未见明显异常。CSF分析显示白细胞略有升高(12个细胞/ ml;91%为单核细胞,9%多形核白细胞),蛋白质升高(47mg/ dL)和葡萄糖正常(58mg / dL)。感染性中枢神经系统(CNS)疾病、胶原病和血管炎的检查未见明显异常。人白细胞抗原(HLA)类型为B51:01:01.54:01。眼科检查未发现明显异常。皮肤科检查除*疮痤**外未见明显异常。鉴于对包括NBD在内的炎症性CNS疾病的考虑,患者接受了两个疗程的高剂量IV甲基强的松龙(HIMP)治疗并完全康复,于2011年5月出院。
2012年4月,患者出现头痛、咽痛和发烧并为此就诊。体格检查显示口腔复发性口腔溃疡,神经系统检查显示左上肢和下肢出现小脑性共济失调。T2WI和FLAIR显示右颞叶、左额叶、左枕叶、左侧脑桥、左侧中脑和左侧小脑中脚高信号病变(图1,下图)。CSF分析显示白细胞升高(31个细胞/μl;86%单核细胞,14%多形核白细胞),蛋白质升高(56mg / dl),葡萄糖正常(66mg/ dl)和白细胞介素-6升高(IL-6)(245pg/ml,正常<4.0pg/ ml)。怀疑NBD复发,再次给予HIMP并康复出院。口服泼尼松龙维持10mg /d,此后未观察到复发。2018年,我们对患者血清检测显示抗AQP4抗体阴性,抗MOG抗体阳性。

图1(分为上图、下图)
病例2
2004年2月,一名29岁的女性出现右侧视野缺损并为此住院。头颅MRI T2WI和FLAIR显示左侧丘脑、内囊和视神经束高信号病变。查体可见口腔存在复发性口疮,并且观察到浅表性血栓性静脉炎。HLA类型是B51。诊断为可能的NBD并接受类固醇治疗。
由于出现行为异常、惊厥发作和右侧偏瘫,于2004年11月再次入院。头部MRI T2WI显示从侧脑室左前角到左丘脑和壳核存在高信号病灶。接受HIMP治疗后症状缓解并泼尼松龙(7.5mg/d)维持治疗。
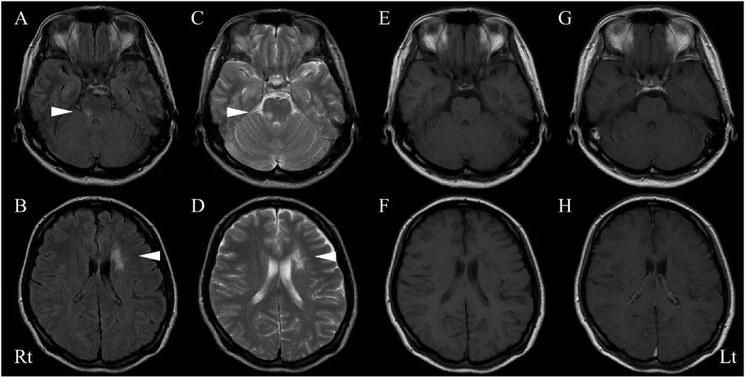
2009年11月,患者左手感觉迟钝、左臂和腿部出现沉重感,于12月再次入院。入院时查体显示血压为123 /77mmHg,脉搏为73bpm,体温为36.7°C;神经系统检查显示眼球跳动,左侧痉挛性偏瘫,左侧感觉障碍。眼科检查显示视力正常,未观察到葡萄膜炎。头颅MRI T2WI和FLAIR图像显示脑桥右上侧高信号病灶(图2)。

图2
脊柱MRI未见明显异常。CSF分析显示细胞计数(2,均为单核细胞)和蛋白质(21mg / dl)和葡萄糖(55mg/ dl)均正常。CSF髓鞘碱性蛋白(MBP)水平为315pg / ml(正常<102pg/ ml)。抗AQP4抗体和与胶原病和血管炎相关的自身抗体的检测均为阴性。患者怀疑为NBD复发并给予两个疗程HIMP治疗,症状缓解出院。2018年我们对患者2004年的血清检测提示抗MOG抗体呈阳性(128×)。
讨论
本研究介绍了两例被诊断为累及脑干和大脑的抗MOG抗体相关的复发性脑炎,尽管它们符合可能的NBD的诊断标准,提示抗MOG抗体相关脑炎可以模拟可能的NBD,因为这两种疾病都可能出现脑干或脑部病变、脑脊液细胞增多症和脑脊液中IL-6水平升高,并且通常类固醇治疗有效。此外,口服溃疡、皮损和HLAB51,作为BD的典型表现,可能在抗MOG抗体相关脑炎中非特异性地观察到。
BD在古代丝绸之路沿线居民中更为普遍,包括远东,中东和地中海盆地的居民,并且与主要的组织相容性复合体HLAB51相关。BD的国际研究组(ISG)标准要求口腔溃疡(口疮或疱疹性溃疡在12个月内至少复发3次)加上以下任何两种:生殖器溃疡、典型的眼部病变、典型的皮肤病变(结节性红斑、假性毛囊炎、丘疹脓疱病变或*疮痤**样结节)或针刺实验阳性。在我们的病例中,病例1呈现复发性口腔溃疡和*疮痤**样结节。病例2表现为复发性口腔溃疡和浅表性血栓性静脉炎,这是BD的特征性表现之一。
根据NBD诊断的国际共识推荐(ICR)标准,明确的NBD诊断需要满足以下四个标准:满足BD的ISG标准;BD引起的神经系统综合征;神经影像学和脑脊液可见相关性和特征性异常存在;对神经学表现无其他更好的解释。尽管NBD常累及脑干,但可以看到孤立的大脑半球病变,并且需要与肿瘤、脓肿和先天性囊肿鉴别诊断。NBD的特征性CSF表现包括炎性变化,例如细胞计数增加、蛋白质水平增加和IL-6水平升高。
可能的NBD需要满足以下两个标准之一:神经系统综合征具有系统性BD特征,但不符合ISG标准; 在ISG标准支持的BD背景下发生的非特征性神经综合征。因此,我们的两个病例符合可能的NBD。
抗MOG抗体相关脑炎可能包括ADEM、脑干脑炎和大脑皮层脑炎,它也可能累及皮层下白质。已有脑桥、延髓、中脑和小脑脚受累的MOG-IgG阳性的报道。相关的脑干症状包括呼吸功能不全、难治性恶心和呕吐、构音障碍、吞咽困难、动眼神经麻痹、眼球震颤、面神经麻痹、三叉神经感觉迟钝/感觉迟钝、眩晕、听力损失、平衡困难、步态和肢体共济失调等。相反,在NBD中,脑干病变通常涉及脑桥并且可能向上延伸至中脑、基底神经节和间脑。因此,如病例1中所观察到的延髓或小脑脚的受累可能支持抗MOG抗体相关脑炎的诊断而不是NBD。
结论
NBD的鉴别诊断包括多发性硬化、结节病、系统性红斑狼疮、原发性干燥综合征和原发性中枢神经系统淋巴瘤。我们的病例表明,在诊断NBD时,还应该与抗MOG抗体相关脑炎进行鉴别。
图1 中头颅MRI扫描显示右额叶、左顶枕叶皮层下白质、双侧海马旁回、左侧丘脑、左侧外囊和左侧放射冠多发病灶,FLAIR(AD)和T2WI(EH)呈稍高信号;T1WI稍低信号(I-L)。右侧额叶病变(M-P)中观察到轻度增强。(下图)复发时FLAIR序列(ad)和T2WI(eh)显示右侧颞叶、左侧额叶、左枕叶、左脑桥、左中脑和左侧小脑中脚高信号病灶,T1WI未见明显增强(i-p)。
图1
头颅MRI FLAIR(A)和T2WI(C)显示脑桥右上方高信号病灶。T1WI增强(G)显示部分增强。FLAIR(B)和T2WI(D)也显示侧脑室左前角、左侧丘脑和壳核存在高信号改变,考虑为陈旧病灶。
图2
原文索引:TwoJapanese cases of anti-MOG antibody-associated encephalitis that mimickedneuro-Behçet's disease. J Neuroimmunol. 2019 Sep 15;334:577002. doi:10.1016/j.jneuroim.2019.577002. Epub 2019 Jun 29.
