近日潘阿姨因“双眼眼前黑影飘动伴右眼视力下降2周”来院门诊。经过检查发现患者双眼黄斑出现了一个“破洞”。好端端的视网膜中央怎么会少了一块?

黄斑是我们眼底视网膜上重要的部位,是视觉最敏锐的地方。眼球的结构好比一台照相机,前面的角膜和晶状体相当于照相机的镜头,而后面的视网膜就相当于照相机的底片,黄斑是这张“底片”上最重要的位置。黄斑的外观颜色比周围视网膜深一些,由于这个部位凝集了大量的叶黄素,因此取名为“黄斑”。虽然黄斑面积不大,却至关重要,我们视力的好坏主要就取决于黄斑的功能。黄斑区的视神经细胞一旦被破坏,视力便永久受损,所以,由黄斑疾病导致的失明比白内障等致盲疾病更为严重。
潘阿姨双眼所患的是:“黄斑牵引综合征”,左眼可以看见黄斑区的视网膜被玻璃体牵拉水肿,即将出现黄斑裂孔,而右眼已经是个全层的黄斑裂孔,在黄斑的上方可以看见被牵拉掉的视网膜组织。。

正常黄斑形态

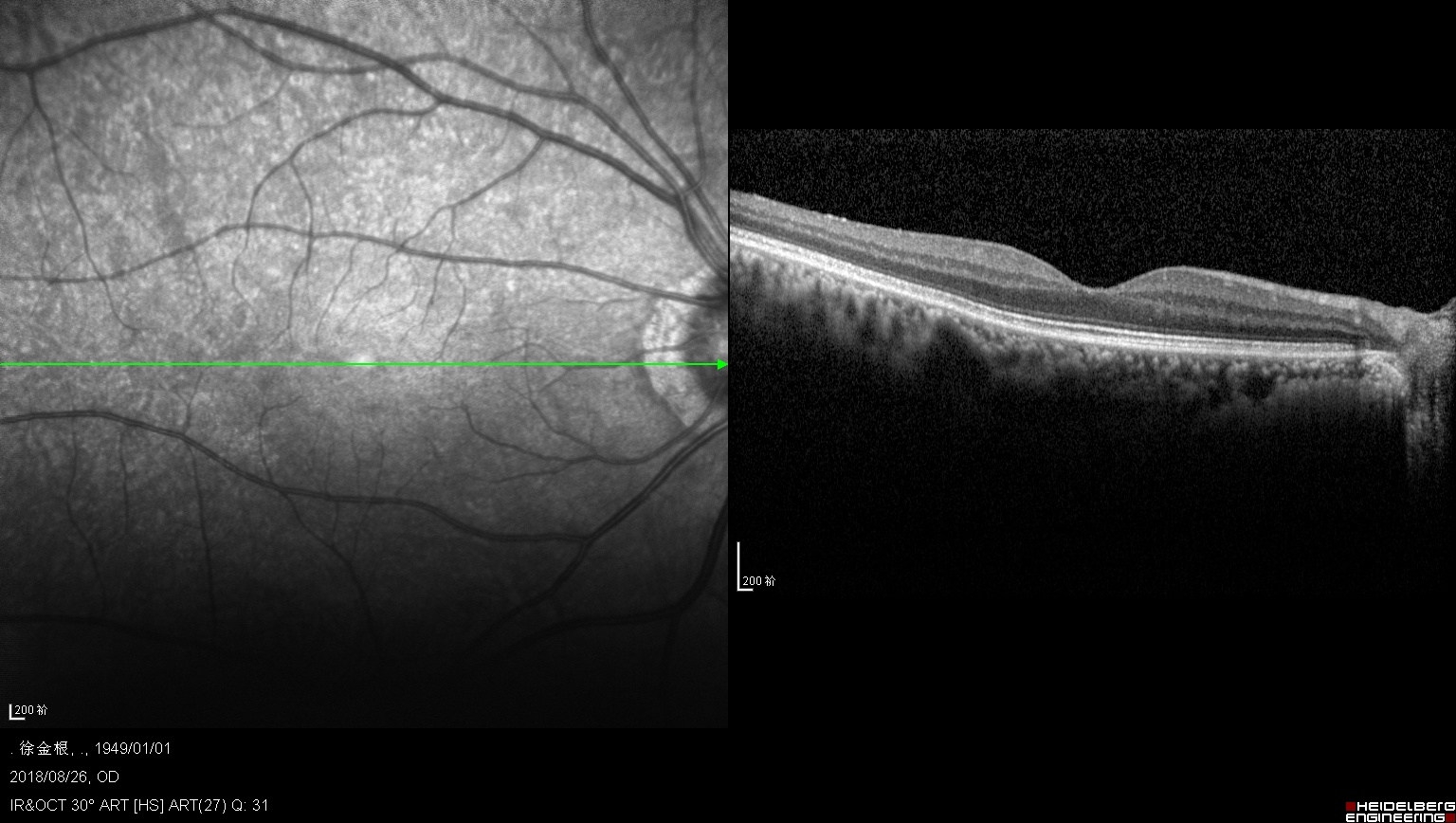
左眼黄斑被玻璃牵引黄斑即将形成裂孔

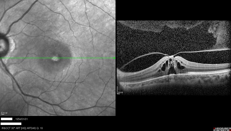
右眼黄斑裂孔,上方可以看见被牵拉掉的组织
为什么会出现这样的情况呢?这需要从我们眼睛的构造来解释。我们的眼球就像是一个鸡蛋,视网膜就像是蛋壳内层的蛋膜,而玻璃体就好比是蛋清。在我们年轻的时候玻璃体是呈凝胶状态,并和视网膜紧密接触。但随着年纪的增加,尤其是在中年以后,玻璃体出现了液化,玻璃体逐渐和视网膜脱离。如果出现一部分脱离,一部分黏连就会导致视网膜裂孔的发生,严重的会导致视网膜脱离。

玻璃体后脱离
我们及时给潘女士做了玻璃切除联合黄斑裂孔封闭术,术后一周 双眼的黄斑裂孔都闭合了,但由于右眼是一个全层的黄斑裂孔,术后视力也没能有好的恢复。对这样的情况,建议中年后每年给眼底一个体检,并在出现“飞蚊症”后及时去医院检查和治疗。

术后左眼黄斑已经复位

术后右眼的黄斑裂孔闭合