母猪人工授精后鉴别是否怀孕,即为妊娠检查。妊娠检查是猪场妊娠舍管理的重要部分,实施妊娠检查计划的目的是在妊娠期的18-35天尽快找出90%配种未怀孕母猪,因为配种未怀孕母猪会增加非生产天数、降低猪群的生产力、提高仔猪的断奶成本。总之,有效的妊娠检查可以提高猪场的生产效率。那又该如何去鉴别呢?
在规模化生产中,根据母猪不同的妊娠期,主要有以下三种鉴别办法:
方法一 公猪查返情(妊娠母猪的返情检查)
1. 目的
尽早及时地发现返情母猪,做出管理决定,减少非生产天数。
2. 原因
由于精液质量问题,人工授精技术问题,母猪自身繁殖疾病问题,以及饲养管理问题等,会造成母猪受孕失败,从而增加生产成本。因此我们要根据母猪的发情周期进行返情检查。

3. 查情流程
① 控制公猪的人员:
1) 把查情公猪赶到查情区域
2) 使用赶猪板控制好公猪速度,缓慢前进,按每四头一组,使其停于母猪面前进行刺激
3) 使公猪气味能够刺激到母猪,并有机会进行鼻对鼻的接触。(公猪的有效刺激范围半径约为1米)
② 发情检查的人员:
1) 查看母猪外阴,细心检查外阴及分泌物,按照*情催**五点法刺激母猪。

五点法刺激母猪
2) 观察母猪反应,尤其断奶3天以后的母猪,如出现静立反应,则应给于背部更大压力,摩擦母猪的乳房和后腿中间的肋部。
3) 发情检查人员刺激母猪时间30秒
4) 注意观察发情前期和发情期的其它表现
5) 标记有问题的断奶母猪
6) 做好发情标记和记录:如果由于胎次,断奶体況,疾病等原因,而造成此次发情不配种的母猪,也要做好记录
③ 返情判断:
1) 如果母猪有发情的征兆但是没有静立,可做标记,并进行B超检测来确定(24天以上)。
2) 如果母猪出现发情征兆并且有静立反射表明母猪返情。
3) 处理:标记记录,根据母猪的具体情况以及配种目标做出处理决定。
④ 查返情频率及要求
配后14天—50天,每天查情两次,重点查看配后18天-30天的母猪,配种30天之内的母猪在查情时每个都要进行触摸和外阴检查。
4. 注意事项
1) 查返情时不必像查断奶猪时那么强烈,轻摸一下。若有发情迹象,可以*情催**刺激。
2) 尽量在14-24天用公猪查出返情,确定淘汰时尽快淘汰,尽可能减少非生产天数。
3) 查返情时不要忘记检查补栏区的同批次怀孕猪。
4) 最后一次配种后1-3天内转舍,或者配种4周后转舍,不要在配种后5-25天转移猪只。妊娠检查
方法二 B超妊娠检测
1. 引言
目前常用的妊娠检测仪是RTU-实时超声波测定仪(B超),是利用骨骼和体组织的声波反射来检查妊娠,而不是液体的声波反射。价格昂贵、制作精致,但应用了最新技术,可为发育中的胎儿形成不易出错的扫描图,在妊娠后24天即可得到清晰的孕检图像。

猪用B超仪
2. 准备工作
- 工具设备准备
B超仪、耦合剂、记录本、笔、记号笔等
- 确定待测猪群
配种后30天、35天、50天母猪。

孕检流程
3. 操作流程
1) 从后边进入猪栏;
2) 打开B超仪,在探头上涂抹足量耦合剂;

B超开机界面
3) 将探头置于母猪下腹部一侧、后腿前50mm、倒数第二三对乳头中间线以上25mm、向前倾45°、向侧倾45°;

B超检测
4) 保证探头与母猪皮肤紧密接触,并给适当压力,向前、向后或向侧面转动探头,直到能显示出清晰图像;
5) 若不能获得清晰图像,按以上步骤在另一侧重新检测,若仍不能获得清晰图像,则换另一人员进行检测;

B超探头检测位置
6) 孕检结束后,彻底清洁孕检仪探头,安全保管;
7) 赶要处理的孕检阴性母猪去机会栏。
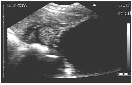
4. 结果判定
- 怀孕图像


- 未孕图像

- 膀胱图像

较大的黑洞为膀胱,探头放的太靠后
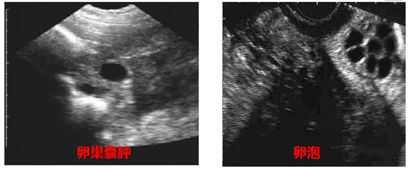
- 卵巢囊肿与卵泡

5. 注意事项
1) B超仪价格比较昂贵,并且探头很容易损坏,所以使用人员要经过培训,在使用过程中要加倍小心;
2) 妊娠检查结果会受到充盈的膀胱、子宫内的小黑点、子宫囊肿等的影响,所以要求操作人员对囊胚的形态结构特点有充分的认识;
3) 妊娠检测过程中可以把临近猪只的检测进行对比,以方便结果的判定;
4) 使用孕检仪进行妊娠检测的前提是检测人员对母猪的情况有充分的了解,知道配种时间及所处的妊娠阶段;
5) 在操作过程中一定要注意安全,确保手臂、腿部以及脚不被 母猪挤伤;
方法三 视觉妊娠检查
1. 引言
视觉妊娠检查是通过观察母猪不同妊娠阶段的生理变化(包括乳房、腹部、外阴)和行为变化来确定母猪是否妊娠的方法。视觉妊娠检查作为正常返情检查和常规妊娠检查的补充程序,用以确保妊娠的延续。一般在妊娠期的70天开始进行视觉妊娠检查程序。
2. 母猪不同阶段的生理结构及行为特点:
① 妊娠50-70天的母猪:
1) 30-50天妊娠诊断阳性;
2) 没有出现发情症状 ;
3) 腹部逐渐隆起和下垂,以及乳腺的发育 。
② 妊娠70-100天的母猪:
1) 能明显看到腹部逐渐隆起;
2) 腹部变大并逐渐下垂;
3) 乳腺发育,乳头明显。
③ 妊娠100-上床的母猪:
1) 乳房隆起明显,在下腹部与乳房的交界处有明显的凹痕;
2) 外阴开始肿胀,变得松弛;
3) 群养时母猪走路变得蹒跚。

母猪怀孕后期
3. 操作流程
1) 准备工具:记录本、笔、记号笔等;
2) 确定待检猪群:配种后50-70天、70-100天、100-上床的母猪,找出它们的栏位;
3) 观察母猪随着妊娠的发展腹部、乳腺、外阴等的特征;
4) 可疑为空怀的母猪在背部标记“√”,记录耳号、栏位;
5) 可进行不同妊娠阶段母猪的对比判断;
6) 观察完所有母猪后,对可疑母猪进行B超检测;
7) 复检阳性的母猪将“√”标记为“X”;
8) 确定空怀的母猪立即转入机会栏或淘汰区,进行相应处理;
4. 注意事项
1) 视觉妊娠检查过程中尽量减少对母猪的应激;
2) 妊娠舍工作人员要把视觉妊娠检查当作妊娠期管理的日常工作来进行,每天要观察,并且要列入每周工作计划;
3) 如果其他日常工作均正常开展或常规妊娠检查也完成,空怀母猪比例仍超过1%,则需要检查一下查情工作、妊娠检查工作的质量。
我是三农领域创作者"养猪要努力",非洲猪瘟,存栏降低,猪价上涨,养猪要努力。诚邀留言评论,相互交流提高。