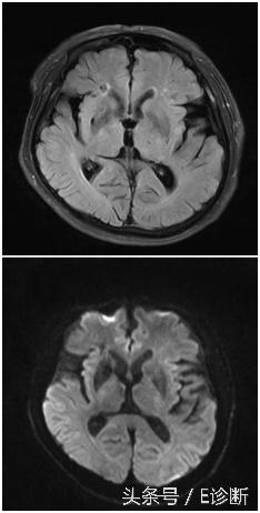
左侧额颞叶、基底节区超急性期脑梗死,发病2小时,T1WI、T2WI及flair像未见异常信号,DWI见高信号,ADC图为低信号,MRA示左侧大脑中动脉闭塞,右侧大脑中动脉狭窄。
左侧基底节区急性期脑梗死,发病24小时,T1WI为稍低信号,T2WI及flair像为稍高信号,DWI为高信号,MRA示左侧大脑中动脉闭塞,此时头CT未见异常改变。
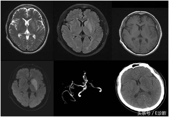
左侧基底节区亚急性期脑梗死,发病7天,T1WI为稍低信号,T2WI及flair像为高信号,DWI为高信号,ADC图为等信号,MRA示左侧大脑中动脉闭塞。

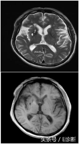
右侧基底节区多发腔隙性脑梗塞形成软化灶,周围见胶质细胞增生。
皮层下动脉硬化性脑病,脑萎缩脑沟增宽加深脑室增大,双侧放射冠多发腔隙性脑梗塞部分已软化,双侧脑室周围对称性条带状异常信号。
脑桥梗塞,发病3天,T1WI为稍低信号,T2WI及flair像为高信号,DWI为高信号。

右侧小脑梗塞,发病3天,T1WI为稍低信号,T2WI及flair像为高信号,DWI为高信号。
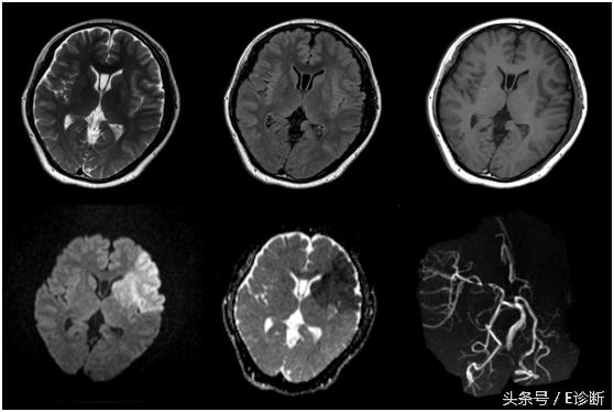
右侧大脑半球多发腔隙性脑梗塞,MRA示右侧大脑中动脉狭窄,PWI示CBF和CBV正常,MTT及TTP延长