
作者:黄益澄
单位:浙江省人民医院感染病科
本文为作者授权医脉通发布,未经授权请勿转载。
病例介绍
患者,女,29岁,既往体健,BMI 28.5,因“发热伴全身肌肉酸痛6天”于2015-12-29入院。患者入院前6天出现畏寒发热,约38℃,伴全身肌肉酸痛、乏力,无鼻塞、流涕等卡他症状。
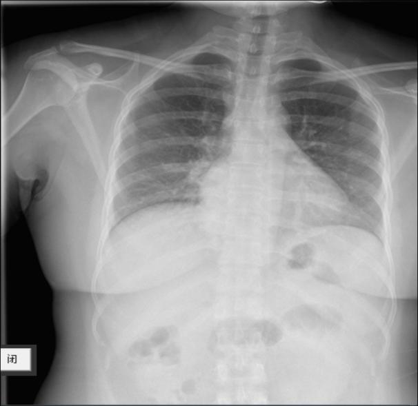
5天前查血常规+CRP:WBC 4.34×109/L,N 82.5%,L 0.52×109/L,CRP 1.9mg/L,考虑“上呼吸道感染”,予酚麻美敏、头孢拉定、左氧氟沙星等治疗,仍反复发热,并出现剧烈干咳。2天前复查血常规+CRP:WBC 3.98×109/L,N 70.6%,L 1.0×109/L,CRP 11.0mg/L。胸片:两肺纹理稍模糊(图1),为进一步诊治拟“感染性发热:病毒感染?”收住入院。

(图1 胸片检查)
病情进展
入院查体:P 114次/分,R 20次/分,BP 114/72mmHg,T 38.5℃。神志清,精神软。急性病容,呼吸稍促,口唇无紫绀,皮肤巩膜无黄染,未见皮疹出血点,浅表淋巴结未及肿大。双肺呼吸音粗,右肺呼吸音低,可及啰音。心律齐,各瓣膜听诊区未及病理性杂音。腹平软,无压痛及反跳痛,肝脾肋下未及,Murphy征(-),肝区及双肾区无叩痛,移动性浊音(-),双下肢无水肿。神经系统:颈软无抵抗,记忆力、计算力、定向力无异常,病理征(-)。
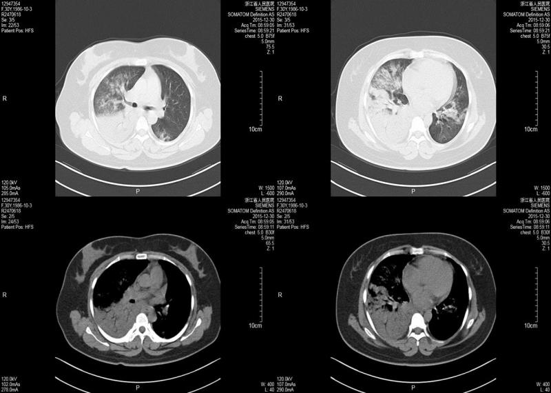
患者入院后持续高热,呼吸急促,复查血常规+CRP:WBC 2.05×109/L,L 0.66×109/L,PLT 62×109/L,CRP 68.2mg/L;ALT 29U/L,AST 116U/L,Cr 60.8μmol/L,LDH 1017U/L,CK 2749U/L;PCT 0.41ng/ml;血气:PH 7.414,PO254.90mmHg,PCO237.3mmHg,Lac 1.2mmol/L。肺部CT:双肺散在斑片样、絮样密度增高影,右侧大量胸腔积液(图2)。

(图2 肺CT检查)
明确诊断
患者急性起病,起病初期白细胞及炎症指标不高,淋巴细胞降低,伴有多脏器损伤(血液、肺、肌肉),首先考虑病毒性感染。患者双肺广泛渗出性病变,进展迅速,伴有Ⅰ型呼吸衰竭,考虑“重症肺炎”,但具体病原学不明,结合季节,需考虑流感病毒性肺炎,予完善呼吸道病毒检测均为阴性。
追问病史,患者起病前2周内曾至菜市场购买活禽,小贩宰杀时在边上观看,综合迅速进展的病情,禽流感需重点排查。立即联系疾病预防控制中心送检禽流感病毒核酸检测,并予奥司他韦加量至150mg bid抗病毒,甲强龙针80mg q8h抗炎。复查CRP升高,考虑继发细菌感染,予美罗培南针加强抗感染。12月31日,甲型H7N9禽流感病毒RNA检测阳性,予转定点医院进行进一步治疗。2016-01-01予气管插管行呼吸机辅助通气,1月4日予ECMO支持治疗,2月1日撤除ECMO,3月21日痊愈出院。

病例讨论
甲型H7N9禽流感主要发生在冬春两季,潜伏期1-10天,主要表现为发热、咳嗽、肌肉酸痛、胸闷等。重症病例进展迅速,多在病程第3-7天发展成重症肺炎,伴有持续高热和呼吸困难,常快速进展为ARDS、脓毒性休克和多脏器功能不全。少许病例可为轻症,仅表现为发热伴上呼吸道感染症状。
早期外周血白细胞总数一般不高或降低,重症病例可有淋巴细胞和血小板减少。生化检查可见LDH、CK、ALT、AST升高。重症病例病变进展迅速,常呈双肺多发磨玻璃影及肺实变,可合并少量胸腔积液。根据以上特点需与新型冠状病毒肺炎等鉴别,流行病学史询问至关重要,病原学和血清学检测有助于鉴别。
治疗上应尽早启动经验性抗病毒、抗休克、器官功能支持、纠正低氧血症、维持水电解质酸碱平衡、防治MODS以及加强营养支持等综合措施。目前糖皮质激素治疗重症肺炎循证医学证据不足,不应常规使用。

参考文献:
[1] 李兰娟, 王宇明. 感染病学. 北京:人民卫生出版社,2015:88-102.
[2] 中华人民共和国国家卫生健康委.2019.流行性感冒诊疗方案(2019年版).
[3] 中国医师协会急诊医师分会,中华医学会急诊医师分会,中国人民解放军急救医学专业委员会,急救与创伤研究教育部重点实验室. 中国成人流行性感冒诊疗规范专家共识[J].中国急救医学,2019,39(10):915-928.