前段时间,来了一位57岁的男性病人
什么情况呢?
3天前饮酒后突然出现血尿,而且还有凝血块。
继续追问病人情况
患者没有发热,没有尿痛、尿频,没有腰痛,此次出现的是全程肉眼血尿。
患者在两年内,曾经出现过三次这样的情况,还都是发生在饮酒后,
第一次血尿时,没有很严重,也没有重视,多喝水后血尿就没有了,也没有继续诊治
第二次血尿时,患者开始重视了,在当地医院做了检查(尿常规、泌尿系彩超和CT),仅仅发现有血尿,但未发现有其它的异常,也没有继续做进一步的检查,吃了一些消炎、止血的药草草了事儿。
第三次,也就是这次,又出现了血尿,还有凝血块,病人有些重视了,但仍然没有足够的重视,还仅仅认为自己是饮酒的缘故,并无大碍。
这次来到医院后,作为医生,听了患者的这些情况,敏锐感觉,患者出现这种情况,很有可能存在"泌尿系肿瘤",于是就让他再次做了,尿常规、泌尿系彩超。

泌尿系彩超结果:

尽管做了这些,但还是不够明确,于是又做了一个泌尿系统CT,

泌尿系CT结果是:

此次检查仅提示膀胱局部增厚、膀胱内凝血块。那等于说也是没有检查出什么问题,和第二次检查结果差不多。
作为医生,最重要的是给患者尽早的正确诊断,尽早的规范治疗,尽量的不耽搁患者的疾病。
虽然患者仍然觉得自己没有什么大的问题。但作为一个泌尿外科的医生,绝对不能就此结束
于是我说服患者继续做泌尿系CT增强和膀胱镜检查,不能因为一时的疏忽,耽误了患者的病情。
病人一开始有点拒绝,但我耐心的跟患者沟通并讲解了老年人血尿的严重性后,病人还是同意了我的意见。
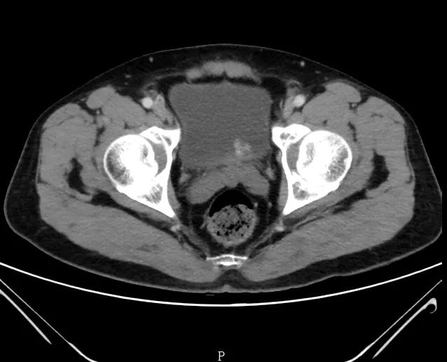
2天后就再次来院办理了住院手续,检查了泌尿系CT增强

泌尿系CT增强结果:

果然有存在“膀胱肿瘤”
所以对于老年人出现血尿,尤其对于无痛性肉眼血尿,首先要排除的是“肿瘤”,很多老年人就是因为不重视,擅自口服药物后了事,而且这种血尿确实会自行消失,给老年人一种错觉,认为真的没有什么事情,直到反复多次出现血尿后,才来就诊,如果是肿瘤的话,多数情况下,肿瘤已经长的比较大了,而且有局部侵犯,甚至转移,错过了最佳的治疗时机。
这个病人因为肿瘤较小,定的方案是"经尿道膀胱肿瘤切除术",手术创伤很小。术中发现膀胱颈口有一个"蘑菇样"的肿块,底部比较细,我们做了肿瘤的完成切除,当时就考虑"乳头状瘤"可能,这种肿瘤是一种恶性程度比较低的肿瘤,经过积极治疗会达到治愈的,所以这位患者还是比较幸运的。
后来的病理结果是:

也证实了我们的判断
现在病人已经顺利出院了,病人非常的感激。作为医生,我也感觉非常的欣慰,自己没有因为一时的疏忽,而耽误患者的病情。
最后还要提醒的是:老年人出现血尿,尤其是无痛性全程肉眼血尿,一定首先要排除"泌尿系肿瘤"。
###请所有人都引起重视,相互转告,为了自己,也为了身边的亲人!