
环节一
病例介绍
杨某,女,32岁。入院时间:2021年5月1日
主诉:
腹胀、呼吸困难2月,意识障碍5天
现病史:
入院前2月,患者无明显诱因出现腹胀、腹围增加,伴活动后呼吸困难、乏力,夜间端坐呼吸,伴食欲下降、头痛,头痛以颞顶部为主,呈胀痛性质,无发热、畏寒,无咳嗽、咳痰、咯血,无恶心、呕吐,无便血、呕血、阴道出血等不适。就诊于当地医院,完善相关检查后提示「腹腔积液」,为求诊治至我院门诊行全腹部增强CT示:双侧附件区混杂密度团块影,内见多发囊泡影,多囊卵巢?其他?腹腔大量积液。入院前5天(2021-04-26),患者就诊当地某三甲医院妇科,于全麻下行「腹腔探查术」,术中见「腹壁菲薄,腹腔内见淡黄清亮液体,子宫大小正常,形态规则,表面光滑,双侧卵巢、输卵管外观未见明显异常,腹壁表面光滑,胃、肠、大网膜表面未见明显异常。术中抽吸盆腹腔积液约1600ml,全面探查盆腹腔无明显阳性发现」。术后患者拔管后出现意识障碍,表现为嗜睡、胡言乱语,伴呼吸困难,血气提示「pH 7.04,PaO2 44mmHg,PaCO2 145mmHg」,行气管插管转入当地医院重症监护室,予有创呼吸机辅助呼吸及对症支持等治疗,患者病情无明显改善。入院前3天(2021-04-28)转至我院急诊科,继续有创呼吸机辅助呼吸、抗感染、维持电解质平衡等治疗,患者意识恢复,拔除气管插管,予无创呼吸机辅助呼吸,患者仍感呼吸困难。为求进一步诊治收入我院消化内科。患病以来,精神食欲睡眠差,大小便正常,体重增加约2kg。
既往史:
2年前开始出现头痛,以颞顶部为主,呈胀痛,夜间明显,时轻时重,影响睡眠,自诉外院经颅多普勒「正常」,脑电图「轻度异常」,诊断「焦虑状态」,给予「度洛西汀肠溶胶囊,1粒/晚」,间断口服「复方扶芳藤合剂、都梁软胶囊」等药物1年,患者症状无明显改善故自行停药。否认高血压、糖尿病等慢性病史,否认肝炎及其他传染病史,否认药物过敏史及外伤史。
其他病史:
无疫区居留史,无毒物接触史,无吸烟、饮酒史;于2013年开始间断接触建筑工地钢筋铁粉3年,制作电子产品焊接烟雾1年。21岁结婚,配偶体健;育有2女。父亲因「肺结核」30岁去世,母亲患「类风湿关节炎」(具体不详);否认家族遗传病史。
体格检查:
T:36.5℃,R:18次/分,BP:105/65mmHg,HR:76次/分
身高157cm,体重33kg,神志清醒,精神差,表情自如,慢性病容,消瘦,营养不良,全身皮肤未见皮疹,无皮下出血,全身浅表淋巴结未扪及肿大。胸廓未见异常,双肺叩诊呈清音。双肺呼吸音粗,闻及散在湿啰音。心界正常,心律齐,各瓣膜区未闻及杂音。右下腹可见一腹腔引流管,全腹软,无压痛及反跳痛,腹部未触及包块。肝、脾脏肋下未触及。四肢无水肿。
实验室检查(2021-4-28):
(外院)宫腔镜:宫颈管粘连,子宫内膜活检呈增生性改变;胃镜:慢性非萎缩性胃炎;肠镜未见明显异常;腹水检查:漏出液;总蛋白21 g/L,白蛋白10.8 g/L,ADA 1U/L,LDH 64 U/L,涂片抗酸染色:阴性,脱落细胞学:未查见恶性细胞。
血气分析(有创,FiO2 60%):pH 7.485,PaO2 153 mmHg,PaCO246.5mmHg,HCO3- 32.5mmol/L;血常规:血红蛋白 112 g/L,血小板 116×109/L,白细胞 12.76×109/L,中性粒细胞百分率 87.7%,淋巴细胞百分率 5.3%,嗜酸性粒细胞0%;生化:白蛋白 28.5g/L,肌酸激酶 504 IU/L,钙1.95mmol/L,镁0.54mmol/L,无机磷0.38mmol/L;胆红素、转氨酶、尿素氮、肌酐等未见明显异常。心肌标志物、BNP:肌红蛋白 131.40 ng/ml,肌钙蛋白-T 44.2 ng/L, BNP 213 ng/L;甲功:TSH 1.92 mU/L,游离T3 2.06 pmol/L,游离T4 13.80 pmol/L,rT3、TgAb、TPOAb正常;皮质醇、促肾上腺皮质激素、性激素6项未见明显异常;肿标:CA125 66.00U/ml,AFP、CEA、CA724、CA199正常;降钙素原 0.49 ng/ml;真菌G试验、GM试验、TB-IGRA阴性。
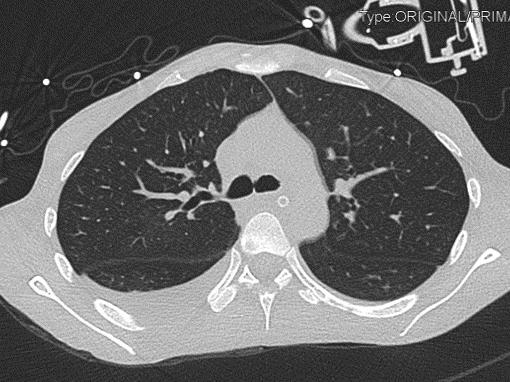
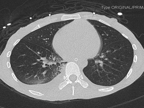
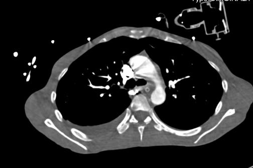
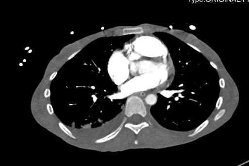
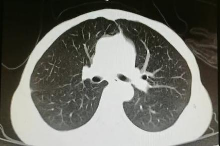
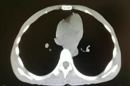
2021-4-29 CTPA:肺动脉干、左右肺动脉及其分支未见狭窄及明显充盈缺损。右肺、左肺下叶见斑片影、磨玻璃影及实变影。




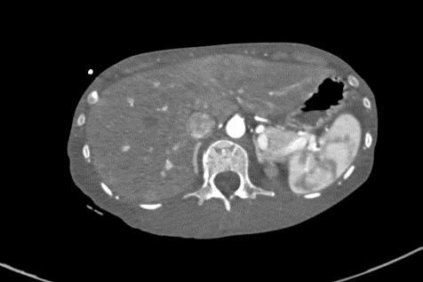
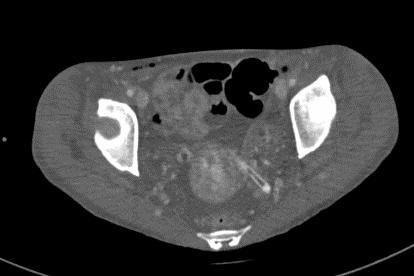
2021-4-29全腹增强CT:腹盆腔散在积液,上腹腔少量积气,腹壁软组织积气,盆腔置管影。肝实质灌注不均,肝内淋巴瘀滞,提示肝功能损害。右侧见一支副肾动脉;左肾动脉提前分支。双侧附件区见多房囊状低密度影,可见环状强化,囊肿?卵泡?或其它?


2021-4-30心脏彩超:右心稍大,三尖瓣少-中量反流,估测肺动脉收缩压约74mmHg。
消化科诊疗过程:
入院后予无创呼吸机辅助呼吸(模式ST,IPAP 15cmH2O,EPAP 4cmH2O,吸氧浓度 25%);头孢曲松抗感染;补液、营养支持治疗。复查血常规:HGB 98 g/L,WBC 6.54×109/L,中性百分率 87.4%,PLT 126×109/L;生化:白蛋白 36.1g/L,钙 2.08mmol/L,镁 0.68mmol/L,无机磷 0.61mmol/L;肌酸激酶、胆红素、转氨酶、尿素氮、肌酐等未见明显异常。心肌标志物、BNP:肌红蛋白正常,肌钙蛋白-T 47.1ng/L, BNP 151ng/L;大小便常规正常。甲功、肿标、性激素全套正常;免疫:抗SSA抗体、抗组蛋白抗体 可疑阳性,免疫球蛋白、T细胞亚群正常,ANA、ANCA阴性;降钙素原0.17 ng/ml;多次痰涂片及培养均阴性;腹部彩超:腹腔少量积液。
胸部CT:
右肺感染吸收,双侧胸腔积液吸收,双肺散在小结节,多系炎症,左膈抬高。



血气分析:

病史特点总结
王甜(PCCM学员):
患者青年女性,慢性病程;主要表现为腹胀、呼吸困难,术后出现意识障碍、II型呼吸衰竭。经呼吸机辅助呼吸、对症支持等治疗后,患者意识恢复但呼吸困难无明显改善;既往有有粉尘接触史。查体见患者极度消瘦、营养不良,双肺呼吸音粗,可闻及散在湿啰音。血气示II型呼吸衰竭、高碳酸血症,轻度贫血,低蛋白血症,电解质紊乱,炎症指标、肌酶、BNP升高,院外腹水检查示漏出液,未见肿瘤细胞;胸部CT:双肺斑片影,抗感染治疗后病灶吸收;腹部增强CT:双侧附件区分别混杂密度团块影,内见多发囊泡影;心脏彩超:右心稍大,重度肺动脉高压。
刘思彤(PCCM学员):
补充患者既往有慢性头痛病史,夜间加重,贫血、低蛋白、电解质紊乱、炎症指标、肌酶、BNP、腹腔积液及胸部CT病灶经治疗后均好转。
李典典(主讲人,PCCM学员):
目前为止,我们发现患者的临床表现比较碎片化,且涉及多个脏器,很难用一元论解释,因此我们回到患者最突出的两个表现来推测患者可能的临床过程。一是腹腔积液,漏出液常见原因包括肝脏、肾脏及心脏疾病,但患者肝脏肾脏疾病依据不足;是否是心源性呢?患者有劳力性呼吸困难、心脏彩超提示肺动脉高压、右心增大,但患者无双下肢水肿,BNP不高,入院后短时间予补充营养等支持治疗后,低蛋白血症纠正,腹水再无新增,因此我们目*考前**虑腹腔积液与营养不良、低蛋白血症相关。二是呼吸衰竭,患者术后出现呼吸衰竭、高碳酸血症,合并意识障碍可以用肺性脑病解释;而缺氧可导致肺动脉高压、肺心病,但由于缺乏患者外院术前血气分析、心脏彩超,呼吸衰竭与肺动脉高压的因果关系尚不清楚,如果呼吸衰竭所致低氧血症是肺动脉高压的原因,那么究竟是什么导致了患者呼吸衰竭?这是我们下一步需要讨论的问题。
环节二
转入MICU时情况:
患者明显消瘦,身高155cm,体重28kg,BMI 12kg/m2,困难气道Mallampati分级 III-IV级,四肢肌力4级,腱反射减弱;观察到患者需端坐入睡,入睡10分钟后即可出现外周血氧饱和度下降(最低至70%),伴有呼吸暂停、憋醒,醒后诉头疼。清醒后头疼可缓解、血氧饱和度无需吸氧可恢复正常。清醒后立即复查血气示PaCO2较睡前升高>15 mmHg。
王茂筠副主任医师(主持人): 根据目前情况,患者高碳酸血症的可能原因?进一步安排哪些检查?下一步治疗方案?
安静(PCCM学员):
高碳酸血症与二氧化碳生成增多和肺泡通气量降低有关。二氧化碳产生过多可见于机体代谢率增加、运动、脓毒症、甲亢等,但患者目前无上述情况。肺泡通气量降低涉及呼吸中枢、神经肌肉、胸廓、气道等各个通气环节。中枢神经系统病变如感染、血管事件,患者有头痛症状,但目前缺乏影像学依据;患者消瘦、入睡后矛盾呼吸,四肢肌肉萎缩、肌力下降,应进一步筛查神经肌肉病变。
李佩军(PCCM学员):
患者入睡时呈侧卧位张嘴呼吸,困难气道评分III-IV级,不排除上气道阻塞,可能存在睡眠呼吸暂停,同时消化科给予无创呼吸机辅助通气(BiPAP模式)下患者二氧化碳分压不能降到正常,是否存在治疗后睡眠呼吸暂停?根据患者入睡后二氧化碳分压升高大于15mmhg,目前可诊断睡眠低通气,应考虑完善睡眠监测进一步明确病因。
熊星宇(PCCM学员):
看到高碳酸血症呼吸科医生通常会想到肺部疾病,但患者无哮喘、COPD,影像学不支持ABPA等感染导致的气道高反应性,故基本排除肺部疾病所致高碳酸血症。神经肌肉病变方面,患者肌酶在支持治疗后恢复正常,炎性肌病可能性降低。电解质紊乱如低镁、低磷可引起呼吸功耗增加,但患者电解质紊乱纠正后呼吸困难无好转,暂不考虑上述原因。而呼吸困难呈入睡后加重,结合憋醒、困难气道等表现,考虑睡眠呼吸暂停,中枢性或阻塞性睡眠呼吸暂停需PSG和脑部影像学检查。
李典典(主讲人,PCCM学员):
患者肺部无明显病变,因此高碳酸血症我们更多考虑肺外原因,并做了如下鉴别诊断:
|
鉴别诊断 |
支持点 |
不支持点 |
|
|
呼吸中枢 |
颅内感染、占位病变 |
头痛、呼吸困难、意识障碍,四肢肌力下降 |
清醒后头痛可缓解,缺乏影像学依据 |
|
药物 |
抗焦虑药物使用史,全麻术后PaCO2显著升高 |
已停药1年,术前已出现呼吸困难、夜间端坐呼吸 |
|
|
甲减 |
青年女性,慢性病程,乏力、呼吸困难,腹腔积液、心包微量积液 |
TSH、FT4未见明显异常 |
|
|
中枢性/阻塞性睡眠呼吸暂停 |
入睡后打鼾、呼吸暂停、憋醒,伴血氧饱和度降低 |
缺乏PSG依据 |
|
|
神经肌肉病变 |
吉兰-巴雷综合征 |
进行性加重的双下肢肌力下降,呼吸困难 |
慢性起病,起病前无前驱感染史 |
|
肌萎缩侧索硬化症 |
慢性起病,四肢肌肉萎缩、肌力下降,伴呼吸困难 |
呼吸困难症状先于四肢肌力下降 |
|
|
重症肌无力 |
慢性病程,乏力、呼吸困难 |
无眼肌无力、吞咽困难 |
|
|
炎性肌病 |
青年女性,慢性起病,四肢肌力下降,肌炎抗体SSA可疑阳性 |
无皮疹、关节肌肉痛,肌酶不高 |
|
|
肌营养不良 |
青年女性,明显消瘦,营养不良 |
无明确家族史 |
|
|
呼吸功耗 |
电解质紊乱 |
低镁、低磷 |
电解质纠正后症状无好转 |
围绕上述鉴别诊断,我们再次仔细询问了患者的病史。5年前,患者开始出现上腹部胀满不适,伴间断腹泻,上述症状影响进食和日常生活,近5年体重减轻10+kg;2年前出现打鼾,伴夜间憋醒现象;1年前出现双下肢肌力下降,主要表现为爬坡时下肢无力。
患者存在入睡后呼吸暂停、憋醒,查体可见舌根后坠、困难气道,因此我们围绕睡眠呼吸暂停做了进一步检查:
鼻咽喉镜:右侧声带肉芽肿,鼻咽部左右侧壁对称,双侧咽隐窝清晰、粘膜光滑,舌根粘膜光滑,双侧梨状隐窝对称,会厌舌面、喉面光滑,双侧杓区粘膜光滑。
整夜睡眠监测:总睡眠时间为4.7小时;N1 77%,N2 5.3%,N3 0%,REM 17.8%,16.7%时间处于仰卧位;呼吸暂停与低通气指数(AHI)55.3次/小时,其中阻塞性呼吸暂停64次,低通气198次,相关氧减指数59.1次,最低和平均SPO2分别为66%和88%;微觉醒指数50.8次/小时。

倪越男博士(呼吸治疗师)点评:
患者的睡眠报告主要表现三个问题。第一,睡眠结构的明显异常,N2、N3期严重减少,N1期睡眠相对增多。第二,患者存在明显的睡眠呼吸暂停与低通气,以及胸腹矛盾呼吸,可以诊断重度阻塞性睡眠呼吸暂停综合征。第三,患者氧合下降模式呈带状下降模式,可能存在高环路增益,但精确诊断在国内比较困难。患者经BiPAP治疗后,仍有睡眠呼吸暂停加重,不排除复杂性睡眠呼吸暂停,这也是高环路增益的一个临床表现。
王茂筠副主任医师(主持人): 如何处理该患者睡眠呼吸紊乱的问题?
李佩军(PCCM学员):
高环路增益提示患者呼吸中枢不稳定,在给予PAP治疗的同时,根据文献报道,可考虑使用乙酰唑胺改善高环路增益患者在使用PAP时残留的睡眠呼吸暂停。
倪越男博士(呼吸治疗师)点评:
患者目前不能确诊复杂性睡眠呼吸暂停,治疗原则仍是首先解决高碳酸血症问题,控制二氧化碳在安全水平,故使用BiPAP,有利于降低二氧化碳分压。可以看到,在压力滴定过程中,EPAP 6cmH2O时,基本消除上气道陷闭,但中枢性呼吸暂停出现,表明存在高环路增益;IPAP 12cmH2O时,有大量矛盾呼吸,TCPCO2高达91mmHg(睡前76mmHg),并出现大量中枢性呼吸暂停;文献报道氧疗一定程度上能降低患者的环路增益值,同时有助于改善患者因低通气导致的低氧,但该患者氧疗4L/min时,中枢性事件改善不明显,因此继续加大IPAP至14cmH2O,改S模式至S/T模式,f 14次/分,患者自主呼吸基本消失,TCPCO2下降至睡前水平,但患者整晚靠T模式通气。
环节三
患者自购BiPAP S/T型号无创呼吸机,夜间带机滴定结果:IPAP 14cmH2O,EPAP 6cmH2O,频率14次/分 吸氧 2-3L/min,戴呼吸机时左侧卧位,带机后无明显不适,转至普通病房等待检查结果。
患者经治疗后腹胀、呼吸困难明显好转,体重34kg, BMI 14kg/m2,双上肢肌力5级,双下肢肌力4级。复查心脏彩超(2021-6-8):三尖瓣微量反流,估测肺动脉收缩压约35mmHg。心脏结构及血流未见明显异常,双室收缩功能测值正常。
进一步辅助检查:
头颅增强MRI未见异常;肺功能(坐位):极重度混合性通气功能障碍,大小气道气流中度受限;膈肌超声:膈肌萎缩,膈肌功能明显障碍。肌电图:双侧三角肌、双下肢检肌呈肌源性损害,上下肢所检神经传导未见异常。
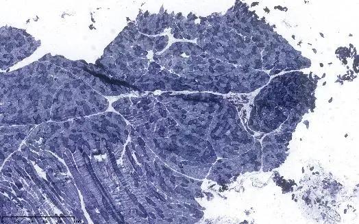
左侧腓肠肌活检:高倍镜下:显示肌束膜水肿伴炎细胞浸润;NADH酶组织染色,显示虫噬现象


王誉萱博士(病理科)点评:
低倍镜下可见肌纤维较一致,无淋巴组织浸润、纤维组织增生;但高倍镜下可见少量肌束膜水肿伴炎细胞浸润,肌纤维坏死萎缩,个别肌纤维束内镶边空泡改变,但对于诊断无特异性价值。NADH酶组织染色可见虫噬现象,SDH和COX染色未见线粒体肌病特征性改变。活检组织大体可见病变轻微,未见典型炎性肌病、代谢性肌病、线粒体肌病改变,不排除遗传性肌病或结缔组织病相关较轻的肌肉病变。
徐严明教授(神经内科)点评:
通过影像学检查,基本排除中枢神经系统、脊髓病变,通过肌电图,也可基本排除运动神经元、外周神经疾病,应重点考虑神经肌肉接头、肌肉方面疾病。患者存在活动后疲劳、爬坡时下肢无力加重表现,但无眼肌无力、吞咽困难等症状,重症肌无力不支持;患者无小细胞肺癌等肿瘤性疾病,Lambert-Eaton综合征不支持。肌活检结果不支持线粒体脑肌病、炎性肌病。患者慢性病程,症状逐渐加重,全身消瘦提示肌营养不良,且有近端肌肉、膈肌损害表现,应鉴别肢带型肌营养不良、其他少见遗传性肌病,建议完善基因方面检测。
环节四
进一步辅助检查:复查肌炎抗体谱均阴性。
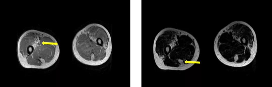
大腿增强MRI:双侧大腿根部、臀肌、盆底肌肉脂肪浸润。

右侧股四头肌活检:骨骼肌呈慢性肌源性肌病改变,不能除外为肌营养不良。

王誉萱博士(病理科)点评:
低倍镜下可见肌束差异性较前次活检更大,肌肉组织被脂肪组织取代;高背景下可见核内移现象,可见大量萎缩肌纤维,以及核固缩聚集现象,膜蛋白免疫组化未见明显异常,提示慢性肌源性肌病改变。上述变化大多数出现在肌营养不良,但具体分型需结合临床及基因检测结果进一步判断。
WES+线粒体DNA测序+染色体芯片结果回示:
未检出线粒体DNA上明确致病性变异;未检出临床意义的基因拷贝数缺失、重复和大片段纯合子
|
基因 |
染色体位置 |
位置 |
参考转录本:cDNA水平(蛋白水平) |
状态 |
变异分类 |
|
TTN |
chr2:179410768 |
Exon292 |
NM_133378.4:c.87491C>T(p.Pro29164Leu) |
杂合 |
疑似致病 |
|
TTN |
chr2:179403402 |
Exon303 |
NM_133378.4:c.91450C>T(p.Arg30484Cys) |
杂合 |
意义未明 |
|
TTN |
chr2:179428063 |
Exon275 |
NM_133378.4:c.75092G>T(p.Gly25031Val) |
杂合 |
意义未明 |
|
TTN |
chr2:179428602 |
Exon275 |
NM_133378.4:c.74553G>C(p.Gln24851His) |
杂合 |
意义未明 |
|
TTN |
chr2:179428639 |
Exon275 |
NM_133378.4:c.74516T>C(p.Ile24839Thr) |
杂合 |
意义未明 |
该变异为错义突变(预计使所编码蛋白的第29164位氨基酸由脯氨酸变成亮氨酸,文献报道遗传性肌病伴早期呼吸衰竭患者中检测到TTN杂合或纯合变异,生物信息学软件预测其致病可能性大)
王茂筠副主任医师(主持人): 结合上述检查结果,患者目前的诊断及下一步治疗?
徐严明教授(神经内科)点评:
本次肌肉活检可排除炎性肌病、线粒体肌病,先天性肌病目前也未看到典型病理改变。基因检测结果是TTN基因,它编码大分子量肌联蛋白,但是否是TTN相关肌病需结合临床表现、生物信息学及遗传学特征。该患者四肢肌无力、肌萎缩,20岁后开始出现呼吸衰竭,膈肌损害明显,临床上较符合遗传性肌病伴早期呼吸衰竭(HMERF);第二,从生物信息学分析看,所检测基因突变预计使所编码蛋白的氨基酸改变,是否影响蛋白功能需进一步预测和验证;第三,遗传学方面,患者父亲30岁去世,是否合并HMERF仍存疑。但HMERF肌肉活检通常可见胞浆小体形成,患者肌活检不符合典型的HMERF病理改变,因此目前可诊断肌营养不良,但病因学仍需更多证据支持。
文献复习
李典典(主讲人,PCCM学员):
1、Titin是一种分子量超过3 MDa的蛋白质,由TTN基因编码,TTN基因将300 kb基因中364个外显子的约100 kb转录物组合在一起。该蛋白包含132个纤维连接蛋白-3(Fn3)结构域、一个激酶结构域和多达169个免疫球蛋白(Ig)结构域以及非结构区域。
2、研究表明,TTN突变已成为显性和隐性遗传性肌病的主要病因,其范围广泛且仍在扩大,主要包括胫骨肌营养不良(TMD)、肢带肌营养不良2 J(LGMD2J)、遗传性肌病伴早期呼吸衰竭(HMERF),Salih肌病、中枢透明肌病(CNM)、心脏病和心肌病等。由TTN编码的肌节蛋白Titin的突变正在成为肌病的常见病因。
3、由于与其他肌病的临床病理重叠以及对照人群中TTN变异的流行,TTN相关肌病的诊断通常较为复杂,需通过结合临床病理、遗传和生物物理学的方法来诊断TTN相关肌病和确定TTN错义变异的致病性。
王茂筠副主任医师(主持人): 目前患者TTN相关肌病的诊断仍有疑问,我们在进一步等待家系基因检测结果。下面的治疗重点是防止肌肉挛缩、严重残疾,尽早开始康复治疗与运动,预防并发症。后期康复治疗方案如何制定?
李晓欧(PCCM学员):
患者外周肌力下降为主要表现,近端肌力更差,肌肉耐力下降。主要吸气肌膈肌、肋间肌明显萎缩,腹部肌肉肌力有所保留。患者青年女性,生存质量需求高。我们制定的康复方案包括有氧训练、弹力带抗阻训练、牵拉放松训练。呼吸肌训练使用渐减式流阻负荷训练仪,予体外膈肌起搏以尽量保留、提高呼吸肌功能。肌营养不良患者在训练时需密切监测生命体征、乳酸、肌酶水平防止病情加重。目前居家康复监测也正在进行中。
刘丹教授(呼吸科)总结:
患者诊疗过程复杂曲折,临床医生首先需要仔细询问、梳理病史,该患者以消化系统症状起病,但回顾病史发现存在头痛、肌力下降表现,这些在前期病史采集中并未发现。第二,基于诊断学的临床分析决策十分重要,当发现腹水性质为漏出液时,应首先通过无创检查手段搜寻漏出液的常见原因,避免腹腔探查等有创操作,加重患者呼吸衰竭。第三,患者高碳酸血症的原因涉及多个系统,诊断过程复杂,但患者病情危重,与重症、呼吸治疗、睡眠等专业的支持为解决患者呼吸衰竭问题争取到了求因的时间。第四,神经肌肉疾病包含的疾病谱广,第一次肌活检未能明确诊断,在多学科团队讨论后提出利用影像学确定活检部位,再次活检结果提示肌营养不良,多学科MDT会诊对此类疾病是非常重要的临床诊疗模式。
王刚教授(呼吸科)总结:
该病例山回路转,柳暗花明。作为临床医生,应首先注重各亚专业的合作,该病例表现出了重症、影像、呼吸治疗、睡眠等呼吸亚专业协作的重要性;其次是大学科之间的合作,该病例涉及多学科、多系统,神内、病理、妇科、风免的参与提升了临床诊治效率;第三应注重呼吸病理生理学知识积累,回归基础。第四,加强国际性合作,诊治时应用科研逻辑思维去认识和探索疾病,这样临床思维才能得到提高。
作者简介

王茂筠
四川大学华西医院呼吸与危重症医学科副主任医师;中华医学会呼吸病学分会睡眠学组委员;中国医师协会呼吸医师分会睡眠呼吸障碍工作组委员;四川省医学会呼吸专委会肺栓塞与肺血管病学组副组长;四川大学华西医院PCCM专培项目负责人。

李典典
主治医师;四川大学华西临床医学院/华西医院 临床医学博士;华西医院呼吸与危重症医学科;PCCM 2018级学员。
本文完
直播导演:刘迪
*今条头日**排版:刘旋