
于梦颖 、汤楚华、解放军306医院口腔医院、 全军口腔疾病诊治中心
您或您的家人有没有高血压?是否在服用硝苯地平?如果您的牙龈有肿胀增生可能会和药物的服用有一定关系,你知道吗?
硝苯地平是一种常见的降压药,但是你真的了解它吗?


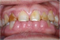
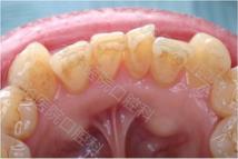
硝苯地平,一种钙离子拮抗剂,能有效治疗顽固性高血压和原发性高血压,是人们最常用的降压药,可是有些人服用后却出现了牙龈的增生肿大,这是其副作用之一,这种牙龈肿大称为药物性牙龈肥大。据报道,服用硝苯地平导致牙龈增生的发病率约为20%。另外,除硝苯地平(拜新同),其它钙拮抗剂,如氨氯地平(络活喜)、尼群地平、尼莫地平(尼膜同)、非洛地平(波依定)、维拉帕米等也有相似导致牙龈增生的作用。随着钙拮抗剂临床应用的增长,其诱导牙龈增生也逐年增加。增生一般开始于服药后第1年内,主要表现为牙龈边缘和牙龈乳头增生,从菲薄的羽毛状边缘增生肿大成小球状、结节状,再逐渐融合、增大甚至覆盖部分牙面,妨碍咀嚼。增生的牙龈触感坚实,略有弹性,呈桑葚状,不易出血,无痛感。但肿大的牙龈不再紧贴牙面,就会与牙面之间形成很深的龈袋,易存积食物碎屑、菌斑,不易清洁,此时就会合并有牙龈的炎症,牙龈就会由粉红色变成深红或暗红色,松软,易于出血。有时,我们还会见到增生的牙龈挤压牙齿移位,多见于上前牙。



我们不能把罪过全部归咎于硝苯地平,有实验证明:如果没有明显的刺激物和牙龈炎症,药物性牙龈增生可大大减轻或避免发生。局部刺激因素虽不是药物性牙龈增生的原发因素,但菌斑、牙石、食物嵌塞等引起的龈炎能加速病情的发展。所以原具有牙龈炎症的患者更易发生药物性牙龈肥大且程度更重。同时增生肿大的牙龈反过来又妨碍了菌斑的消除,加重了牙龈的炎症反应,形成一个互为因果的恶性循环。
出现了药物性牙龈肥大我们应该怎么办呢?
一、 去除局部刺激因素 首先,进行规范的龈上洁治术甚至龈下刮治术来消除菌斑、牙石。洁治,即我们常说的洗牙;刮治,为牙龈下方更深度的清洁。治疗后多数患者的牙龈增生可明显好转甚至消退。
二、 局部药物治疗当牙龈炎症较重时,可以在医生的帮助下局部使用抗菌消炎药物来辅助治疗。



三、 手术治疗当保守治疗仍不能使牙龈恢复正常时,可能需要做牙龈切除成形手术治疗。
四、酌情更换引起牙龈增生的药物 以往认为停止使用或更换其他药物是最根本的治疗,但是许多临床资料显示患者不停药经认真细致的牙周基础治疗可获得牙龈肥大消失的效果。对牙周治疗后牙龈肥大改善不明显者,再考虑停止使用引起牙龈肥大的药物,在相关的专科医师指导下,更换其他药物或与其他药物交替使用,以减轻副作用。
五、 维护期 每6-12个月定期复查, 这样我们就可以严格控制菌斑,防止复发。
对于需长期服用硝苯地平或其他能引起牙龈增生的药物者,应在开始用药前先检查口腔,消除一切可引起龈炎的刺激因素,比如食物残渣、牙石等;同时,在用药期间加强口腔清洁和保健也是非常重要的。首先要每日2~3次刷牙,同时注意正确的刷牙方式,所用牙刷的刷毛要柔软,防止刺激和损伤牙龈。其次要定期检查牙龈,至少3个月自我检查1次。检查有无牙龈肿胀、龈袋形成、牙石及牙菌斑等。如果在服药期间一旦出现以上症状就要及时去口腔科进行治疗。
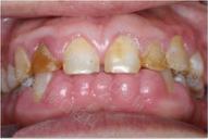
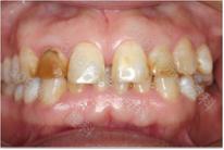
以下是我院一位药物性牙龈肥大的患者,在不停药的情况下,经过系统的牙周治疗后,牙龈的恢复情况:
治疗前 V S 治疗后

