很多人大概都问过牙医:我每天都很认真地刷牙,可是为什么还有牙龈炎、牙周炎、龋齿等问题?每天该刷几次牙?如何有效地刷牙?

为什么要刷牙?
口腔是一个有温度、湿度和营养的大环境,同时还有很多有利于细菌微生物生长的微环境。
在这种环境下,细菌每时每刻不断地生长繁殖并附着在牙齿表面,形成一层由细菌组成的生物膜,叫作牙菌斑。

牙菌斑是引起龋病和牙周疾病最主要的原因。牙菌斑不能完全被水冲去或者漱掉,机体免疫系统也无法清除它们。
刷牙是清除牙菌斑最基本和最主要的方法,刷牙能去除牙菌斑、软垢和食物残渣,保持口腔卫生,维护牙齿和牙周组织健康。

为什么每天刷牙2—3次?
刷牙可以去除牙菌斑,但并不能根除。口腔内的细菌不间断繁殖,在刷牙数小时后,菌斑可以在清洁的牙面上重新附着形成。特别是夜间入睡后,唾液分泌减少,口腔自洁作用差,细菌更容易生长。
因此,每天至少要刷牙2-3次,晚上睡前刷牙尤为重要。

每天刷牙≠有效刷牙
提倡用巴氏(Bass)刷牙法刷牙

1.先将刷头放于后牙牙齿与牙龈交界处,上牙向上,下牙向下,与牙齿大约呈45°角,轻微加压,前后水平颤动10次左右,然后将牙刷向牙面转动,上下拂刷。

2.按照上述方法,每次颤动约刷2-3颗牙,刷牙范围应有所重叠。

3.刷上前牙舌面时,将刷头竖放在牙面上,使前部刷毛接触牙龈边缘,自上而下拂刷。刷下前牙舌面时,自下而上拂刷。

4.刷牙齿的咬合面时,刷毛指向咬合面,稍用力作前后短距离来回刷。

如何选用牙膏?
提倡使用含氟牙膏。使用含氟牙膏刷牙是安全、有效的防龋措施。
三岁以下儿童每次用量为米粒大小,三岁以上的儿童每次用量为黄豆粒大小,成人每次刷牙只需用大约0.5-1克(长度约0.5-1厘米)的膏体即可。
如果在牙膏膏体中加入其他有效成分,如氟化物、抗菌药物、抗敏感的化学物质,则分别具有预防龋齿、减少牙菌斑和缓解牙齿敏感的作用。
温馨提示:
牙膏最好换着用。长期使用同一种牙膏刷牙,会使某些有害的口腔病菌产生耐药性和抗药性,使牙膏失去灭菌护齿的作用。
一家人不要用同一管牙膏。如果一家人合用一管牙膏,挤牙膏时牙刷头会触碰管口,口腔中的细菌会在管口聚集,随后又被别人的牙刷带走,增加交叉感染机率。
一管牙膏不要用太久。牙膏使用时间越久,暴露在空气中的机会就越多,与牙刷的接触频率就越高,接触细菌的机会也就大大增加,也容易造成感染的发生。

漱口的注意事项
饭后立即漱口能有效清除掉口腔内的部分食物残渣和软垢,使口腔内的细菌数量相对减少,从而达到清洁口腔的目的。
推荐饭后清水漱口,宜选用温水含漱。
不建议盐水漱口。有研究显示,盐水漱口后细菌反而比清水漱口更易繁殖。可能的原因是:盐水将口腔中的细菌杀灭时也将口腔粘膜破坏了,为细菌的迅速恢复创造了条件。
有牙龈炎、牙周炎、牙髓炎、智齿冠周炎等口腔感染的人群,可短期使用防治牙菌斑的药物漱口水。但这类漱口水不可以天天使用,否则容易产生副作用,如菌群失调、牙齿变黄、味觉改变、过敏反应等等。
温馨提示:
使用漱口水绝对不能代替刷牙,它只是起到辅助保健的作用。

为什么要使用牙线?
牙线是用棉、麻、丝、尼龙或涤纶制成,用于去除牙齿邻面的食物残渣、软垢、牙菌斑,起到清洁牙面、剔出嵌塞食物的作用。
牙齿与牙齿之间的间隙称为牙间隙,牙间隙最容易滞留细菌和软垢。刷牙时牙刷刷毛不能完全伸及牙间隙,留下了清洁“死角”。科学研究证实,彻底有效地刷牙只能去除约70%的牙面菌斑。
如果在每天刷牙后,能够配合使用牙线帮助清洁牙间隙,可以达到彻底清洁牙齿的目的。牙线是清洁牙缝、牙齿邻接面和食物嵌塞最健康有效的工具。

使用牙线会伤害牙齿吗?
标准的牙线厚度小于0.15毫米,远小于最窄牙缝宽度,正常牙齿间的缝隙足以使十分扁平的牙线通过,不会使牙缝变大。
牙线还可通过按摩牙龈,增加局部血液循环,起到一定的预防或减少牙病的目的。
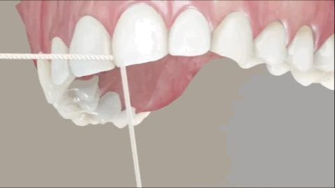
牙线的正确使用方法
首先应拉出长度合适的牙线(20-40厘米);先以双手缠绕牙线两端,固定后以拉锯式运动滑进牙缝中。
向一颗牙的方向拉紧两头,成C状,然后上下滑动,从牙龈下面(约1毫米)到牙齿上端,重复2-3次。
对另一颗牙重复。将牙线滑出牙缝,换一段干净的牙线,对下一个牙缝进行操作,直至所有的牙缝都清洁完毕。
操作过程轻柔可控,切勿用力过头伤害到下面的牙龈。

温馨提示:
对于过于宽大的牙缝,应使用牙间隙刷来清洁,可根据需要选择合适规格的刷头来清洁牙缝和牙面。
牙间隙刷通常适用于因牙周病或其他疾病而出现牙龈萎缩的患者。

专家提示:
做好口腔的日常保健维护,对于预防口腔疾病的发生和控制口腔疾病的发展至关重要。
值得警惕的是,口腔疾病的发生通常是缓慢的,早期多无明显症状,一般不易察觉,等到出现疼痛等不适症状时可能已经到了疾病的中晚期。
因此,在做好口腔日常保健的同时,我们建议每年至少进行一次全面的口腔健康检查,及时发现口腔疾病,早期治疗。