在骨科门诊中,腰痛是常见的主诉。据估计,在所有人群中,一生中的某个时段发生过腰痛的比率为80%。在任何时候,大约18%的人群正在经历腰痛。一般急性腰痛经过休息、理疗、药物等对症治疗可明显好转,常规不需拍摄腰椎影像学检查 (但超过2周持续腰痛或反复发作,则需进一步检查)。如腰痛反复发作,持续加重,疼痛超过3个月即为慢性腰痛。慢性腰痛是一个严重的医学和社会问题,它是引起劳动力丧失的最常见原因之一。现在生活方式的改变,慢性腰痛患者趋向于年轻化。随着磁共振检查的普及,越来越多的年轻患者被冠以“腰椎间盘突出症”、“腰肌劳损”的诊断,导致很多误诊误治,尤其在基层医院。
这样的现象很多见:当一个年轻的患者就诊于骨科门诊,以腰痛3月主诉,偶伴大腿前侧疼痛,行腰椎磁共振检查提示仅椎间盘退变或仅有轻度椎间盘突出,但无明显神经根压迫征象。此时影像学报告里常显示“腰椎退行性改变,L4-5椎间盘突出”。
一方面患者看到了“腰椎间盘突出”的字样,而另一方面很多基层医院骨科大夫又对其他引起腰痛的疾病认识不够,就常常给患者冠以“腰椎间盘突出”的诊断,而患者本人也深信不疑,以至于很多患者来到门诊不说自己的不适症状,而直接就说我有“腰椎间盘突出”。同时呢,很多医师常给予这类患者口服止痛、营养神经(比如甲钴胺)和脱水药物(比如地奥司明)治疗,往往效果不佳,腰痛反反复复。影像学腰椎间盘突出不等于腰椎间盘突出症,加有“症”的诊断必须有相对应的临床表现和体征(即符合典型的神经根支配区的疼痛麻木无力)。

(Peng B. World J Orthop 2013; 4(2): 42-52)
这个腰椎MRI符合上述病人的影像学结果,但很多基层医院医生会给予“腰椎间盘突出”的诊断,其实,最可能的诊断应该为“椎间盘源性腰痛”。
目前得到公认的是:慢性腰痛分为特异性腰痛和非特异性腰痛。前者常有明确的病因,例如:感染、肿瘤、骨质疏松、骨折、炎症性疾病或马尾神经综合征。然而,80%-90%的慢性腰痛是非特异性的,常没有公认的、特定的病因,且多为慢性、反复发作,很难被完全根治。随着诊断性试验(局麻药注射或椎间盘造影)的发展,目前认为椎间盘源性腰痛是慢性腰痛最常见的类型,约占40%。(收藏)腰椎MRI怎么阅片呢?腰椎间盘突出如何看?零基础可读懂
椎间盘源性腰痛是指椎间盘病变后刺激椎间盘内疼痛感受器引起的慢性腰痛,不伴根性症状,但可伴有腹股沟区及大腿前侧牵涉痛。通过腰椎间盘造影术,彭宝淦教授等将椎间盘源性腰痛分为两种类型,即由纤维环破裂引起的腰痛 (Internal annular disruption, IAD)和由终板破裂引起的腰痛,即终板源性腰痛 (Internal endplate disruption, IED),这种分型方法有充分的临床和理论根据。临床上这两种类型的腰痛都要通过腰椎间盘造影术确诊,操作过程、放射状撕裂方式和疼痛反应判定完全一致。疼痛的椎间盘在造影剂注射过程中,造影剂要么通过放射状纤维环撕裂流向椎间盘外方,要么通过放射状终板撕裂流向椎体,两者都诱发患者平时的腰痛反应。


椎间盘造影机制。A:椎间盘内注射的造影剂流向纤维环;B:椎间盘内注射的造影剂流向终板


纤维环破裂分级MRI及造影后CT示意图

箭头所指为HIZ高信号区,是纤维环破裂引起的腰痛明显的磁共振征象
但值得注意的是,腰椎MRI阅片看到椎间盘HIZ高信号区时,不要仅关注T2加权像,也应关注T1加权像。因为只有在T2局限性高信号、T1局限性较低或等信号(single-HIZ)才意味着通常所指的纤维环破裂伴随肉芽组织长入,HIZ诊断椎间盘源性腰痛才有指导价值。


(Peng B. Spine 2006;31(5): 560-66)
椎间盘造影后CT平扫所显示破裂的纤维环(即为疼痛的椎间盘),且造影剂流经至HIZ高信号区,提示椎间盘源性腰痛的诊断。

纤维环撕裂诱发的椎间盘退变和椎间盘源性腰痛可能的发病机制

图:椎间盘源性腰痛可能的发病机制
图:椎间盘源性腰痛可能的发病机制

正常与病变的纤维环和终板的神经分布情况。左图为正常的纤维环和终板神经支配情况,右图为病变的纤维环和终板,可见神经末梢向深层长入。

正常和病变终板上PGP9.5阳性纤维(痛觉神经纤维)的分布。与正常终板区神经密度相比,有损伤的终板区神经密度更高。注:左侧为前侧,病理切片来自于63岁女性(L5-S1椎间隙)。从另一个角度来说,终板损伤(如 疼痛性许莫氏结节 )和症状性Modic改变可能是终板源性腰痛的具体表现形式(需进一步研究)。
临床上,很多年轻腰痛患者做磁共振发现其椎间盘呈“黑椎间盘”,常跟患者形容“黑椎间盘”的一句话是“你30岁长了一个60岁的椎间盘”。但“黑椎间盘”一定是疼痛椎间盘吗?答案肯定不是。
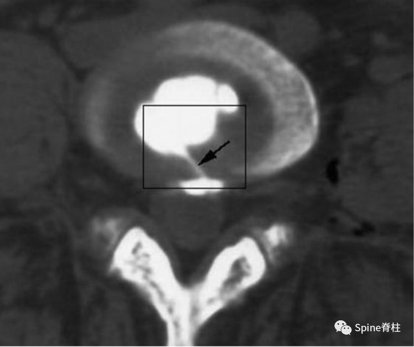
“黑椎间盘”是不是疼痛的?通常需要椎间盘造影或阻滞来明确或排除。虽有争议,目前腰椎间盘造影术仍是诊断椎间盘源性腰痛的“金标准”。椎间盘造影诱发平时疼痛是明确疼痛椎间盘的有效方法,或者椎间盘内注射*醉药麻**(比如布比卡因)后平时的腰痛症状明显消失。疼痛的椎间盘在造影剂注射过程中,造影剂要么通过放射状纤维环撕裂流向椎间盘外方,要么通过放射状终板撕裂流向椎体,两者都诱发患者平时的腰痛反应。这也是鉴别终板源性腰痛和由纤维环撕裂引起的椎间盘源性腰痛的主要手段。

图:椎间盘造影时,造影剂流至椎管

图:椎间盘造影时,造影剂流至破损的终板
椎间盘源性腰痛临床表现为长期反复发作的腰部疼痛,久坐或久站后加重。除了腰痛,椎间盘源性腰痛也常伴有腹股沟区、臀部或大腿前侧牵涉痛,但常不过膝盖。与此同时,纤维环撕裂渗出的化学炎性物质可能会刺激相邻神经根,从而引起化学性神经根炎。
对椎间盘源性腰痛诊断明确后,由于其临床表现轻重不一,疼痛部位广泛而不固定,治疗方式也多样化,但应采用个体化和阶梯化治疗。对于大部分椎间盘源性腰痛病人来说,保守治疗如药物、理疗、休息、按摩、腰背部肌肉锻炼等是有效的治疗方法,但应避免应用无效的营养神经(比如甲钴胺)和脱水药物(比如地奥司明)治疗。但对于一些渐进发展的慢性病人,通过各种非手术方法治疗无效,可考虑微创手术【椎间盘内亚甲蓝注射、类固醇注射、IDET、射频、L2神经根阻滞、腰椎间盘分流术、内镜下射频或窦椎神经毁损术】或传统的开放性手术【融合和非融合技术(如椎间盘置换)】。椎间盘退变是大多数腰椎退变性疾病的病理基础,减缓或逆转椎间盘退变是未来研究的方向。但目前,干细胞治疗椎间盘源性腰痛仍处于探索阶段。
腰痛、牵涉痛、根性痛和神经根病的区别
腰椎峡部裂 - 青少年慢性腰痛应排除的疾病
慢性腰痛应该怎么治疗呢?看看权威杂志和专家共识怎么说的? 产后慢性腰痛,应警惕髂骨致密性骨炎!拍个X线片就可以明确