中国中医科学院西苑医院 孙建峰

踝关节骨折脱位

踝关节骨折脱位
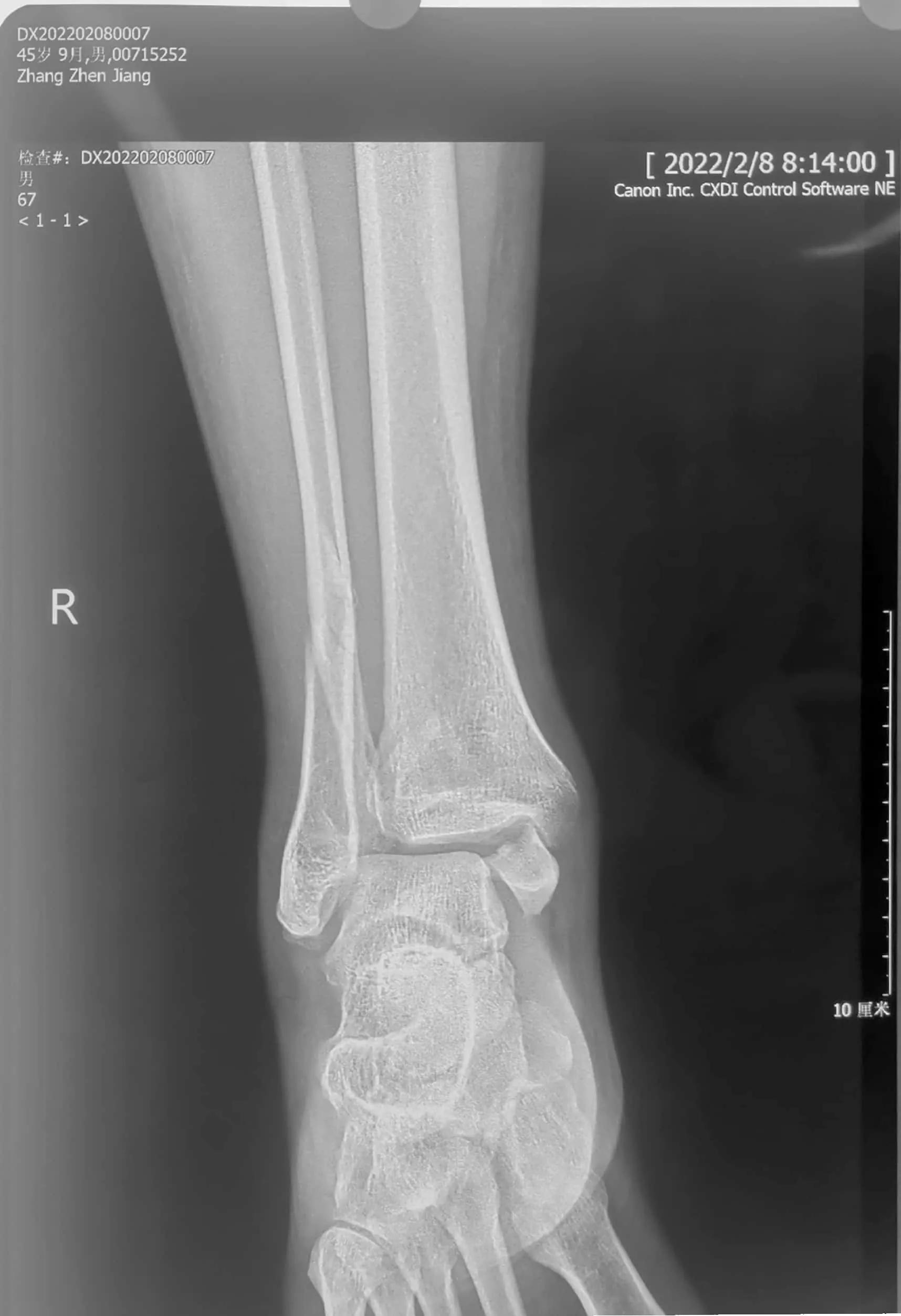
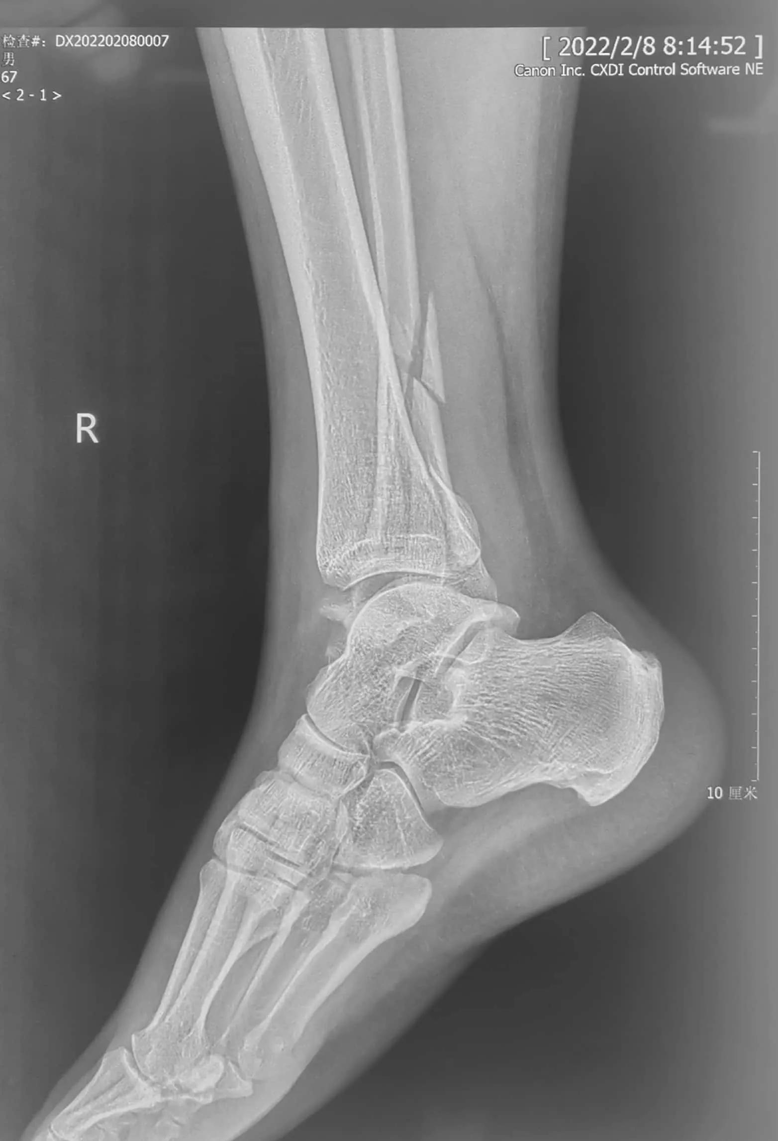
这个踝关节骨折够严重的吧!
惊愕!第17天辗转来到西苑医院。
45岁,男性,2022年1月20日,也就是春节前10天不慎扭伤踝关节,过了两天到医院检查,诊断踝关节骨折。就近住院了,据说因为受伤太肿胀了,又临近春节,竟然让患者出院回家休养。17天了,患者仍疼痛难忍,踝关节肿胀。昨天来到我们医院,又拍了一次片子,竟然还和第一次检查时的片子一样,踝关节骨折脱位,内踝交锁!
???一连串的问号
有个问题想不通,即使不能手术,咋就不能先复一下位呢?手法复位就那么难吗?
我和我的医生团队订立的处理原则:看到明显的骨折和/或脱位,即使不能解剖复位,也要做一下基础整复,减轻疼痛,局部组织的张力,以便后期处理。不管后期谁来处理,对患者和对医生都是有益的。

2022年2月9日手术中照片

2022年2月9日手术中照片
幸运的是,今天手术踝关节骨折获得了满意的复位!