“你们真的很厉害,我现在完全没有疼痛感”
这是我院关节中心的患者小王
接受完住院治疗由衷发出的赞叹

是什么让他有了这样巨大的转变
让我们一起来看看。
中医药帮助我甩掉了糖皮质激素
小王2019年硕士毕业后,本该是能在社会大展身手的时候,却在刚毕业一个月以后突然出现 反复发烧 的症状,前一两次用退烧药很快就见效,但之后的每一次都很难退烧,辗转多家医院,花了2个月的时间,最后才确诊为“成人Still病”(一种是以长期间歇性发热、一过性多形性皮疹、关节炎或关节痛、咽痛为主要临床表现的免疫性疾病)。
小王确诊以后,开始使用激素治疗成人Still病,激素最初口服量为64mg/天,逐渐控制病情,逐步减少用量,但次次都是在减到只剩1粒激素的时候,病情容易复发,一直没办法彻底停用激素。最终在哈尔滨的一家三甲医院里,用中医药治疗3个月,才彻底摆脱了糖皮质激素。
股骨头坏死非手术保髋,可行!
2020年4月,在停下人生前进脚步治疗Still病的时候,小王突然出现了双髋疼痛,在当地医院确诊为“双侧股骨头坏死”,与原有的成人Still病类似,都属于疑难病,在母亲的陪同下,小王几乎走遍了国内各大医院,尝试了多种方法,疼痛始终没有缓解。不愿意向困难屈服的小王,一边治疗,一边在网络上寻找治疗股骨头坏死的信息,小王找到了广东省名中医、广州中医药大学第三附属医院何伟教授。
“来到广州以后,通过预约挂号,来到何伟教授的股骨头坏死专家门诊,何伟教授详细询问了我的病史、作详细体格检查,安排双髋关节正、蛙位X片与磁共振检查,并仔细询问我的家庭情况、教育背景、工作规划后,告诉我 由于长期、大量使用糖皮质激素,导致双侧股骨头坏死 ,其中右侧坏死范围较大,有一定的塌陷风险,遂建议我入院进行系统非手术保髋治疗。”听到何教授的建议,小王跟母亲商量后决定治疗,抱着试试看的心理,他接受了大概两周的综合治疗,包括中药内服、外用、严格拄拐行走、冲击波、个体化的运动治疗。
“我看过很多医生,你们的非手术保髋真的有效果吗?”这是小王在住院期间常对康复治疗师和医生说的话。没想到住院快要结束时,小王的疼痛就缓解了不少,这让小王惊喜不已,他开始认可三院非手术保髋的疗法。出院后小王又按照何伟教授的要求,认真拄双拐、坚持服药,三月后复查的磁共振、X光显示病情比较稳定,他便预约第二次入院治疗,经过半年时间的治疗,现在小王已经基本恢复了正常生活。
小王回想起这段治疗股骨头坏死的经历,能够遇上非手术保髋领域的专家何伟,仍然觉得幸运,现在的他格外珍惜能够正常工作、生活的现状。





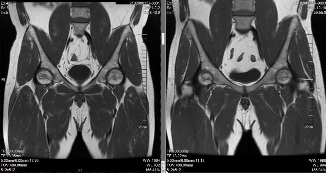
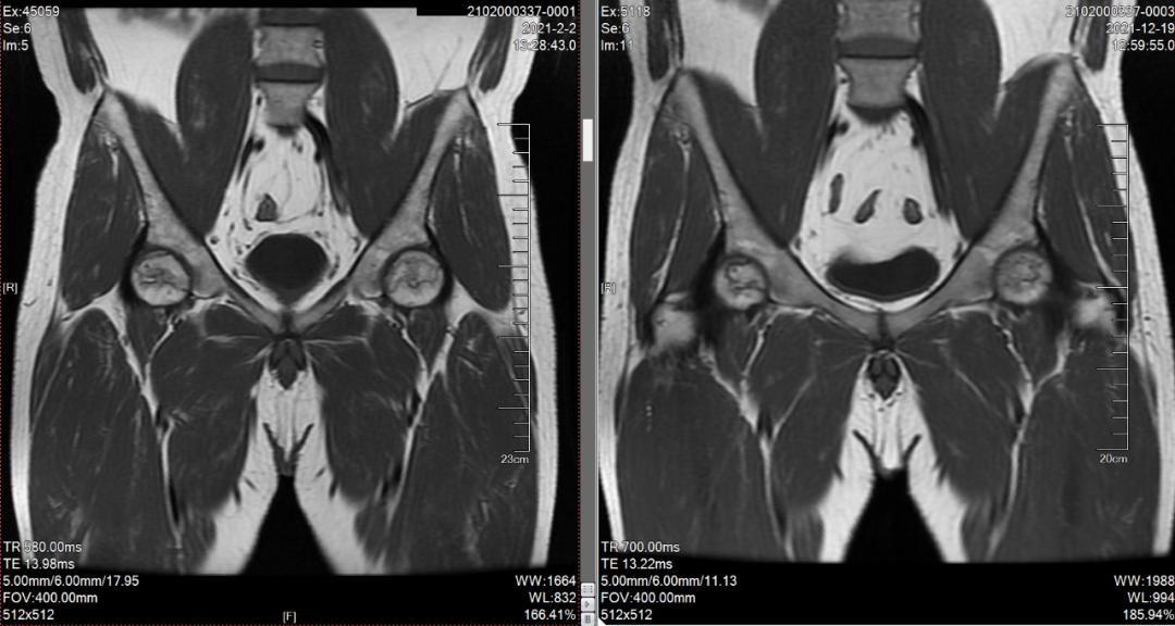
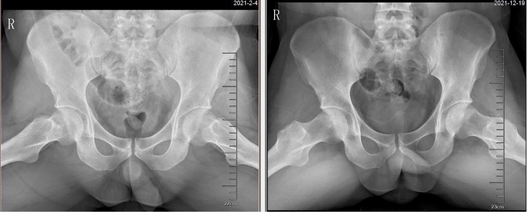
△治疗前后X光片、磁共振对比可见:双侧股骨头坏死修复,未发生塌陷,病情稳定
何伟教授有话说
小王患者的经历有两点启示:
一是长期、大剂量使用糖皮质激素,有可能引起骨坏死、特别是股骨头坏死,需要定期做磁共振检查,以便及早发现。
二是小王的病采用非手术保髋治疗能够成功的原因有三。第一,坏死范围虽然大,但坏死的位置不是处于塌陷的高风险区域,塌陷的机会相对小一些;第二,依从性比较好,能按照医生要求从疼痛开始就坚持扶拐,也降低了塌陷的风险;第三,他的原发病控制良好,不需要继续服用激素。
股骨头坏死虽然是骨科疑难病,但是如果能够早期发现,正确评估,对于部分塌陷风险较低的股骨头坏死,采用中医药为主的非手术保髋,多数病人可以避免手术,当然对于已经发生疼痛的患者,需要严格拄拐保护股骨头不少于3到6个月、尽量降低塌陷风险,也是非手术保髋不可缺少的环节;对于已经塌陷的股骨头坏死,年龄小于50岁的患者,及时接受手术保髋,绝大部分患者可以大大延缓甚至避免关节置换。
专家介绍

何伟
教授(二级),广州中医药大学第三附属医院主任中医师,博士研究生导师、博士后合作导师、广东省名中医。
2020年加入广州中医药大学第三附属医院,现任广东省中医骨伤研究院首席教授、广州中医药大学髋关节研究中心主任、国家重点学科(中医骨伤科学)带头人。
主要社会兼职:中国中西医结合学会骨伤科分会骨坏死专家委员会主任委员、国际骨循环硏究会(ARCO)中国区副主席、全国股骨头坏死保髋联盟理事长等。
从事骨科临床、科研、教学工作30余年,专注于股骨头坏死的基础和临床研究,创新提出股骨头坏死“围塌陷期”新概念、诊断标准,提高了股骨头坏死诊断水平,并在此基础上创立系列中西医结合保髋新技术,显著提高了股骨头坏死保髋疗效,达到国内领先、国际先进水平。开展人工髋关节置换数量居国内前列,尤其擅长复杂初次人工髋关节置换与髋关节翻修。
先后获得省部级以上科技进步奖6项,主持包括国家自然基金在内的省部级以上科研课题9项;
出诊信息
总院 : 周二下午
总院地址:广州市荔湾区龙溪大道261号
相关专家

张庆文
主任中医师,硕士生导师
现任广州中医药大学第三附属医院关节中心主任,广州中医药大学髋关节疾病研究所副主任,中国中西医结合学会骨伤科分会骨坏死专家委员会副主任委员
擅长
中西医结合治疗成人及儿童股骨头坏死、发育性髋关节脱位及发育不良、股骨颈骨折、股骨头骨骺滑脱、髋关节撞击综合征、膝关节内外翻畸形、髌股关节紊乱、膝关节运动损伤、肩关节运动损伤、髋膝关节骨性关节炎、髋膝关节感染、类风湿及强直性脊柱炎累及髋膝关节、髋膝关节色素沉着绒毛结节性滑膜炎等疾病。
出诊信息
总院:周二上午 周四下午
总院地址:广州市荔湾区龙溪大道261号
关节中心
关节中心是国家级重点学科“中医骨伤科学”重要组成部分,是国家中医药管理局与广东省中医重点专科,是广州中医药大学髋关节研究中心、广东省中医骨伤研究院何伟股骨头坏死研究治疗部依托的临床科室,包含关节科和运动医学科两个专业,是国内开展关节手术数量最多、治疗手段最丰富的科室之一。
诊疗范围
成人及儿童骨坏死、骨关节先后天畸形、退行性骨关节炎、类风湿性关节炎与强直性脊柱炎累及四肢关节、骨关节感染、骨与软组织肿瘤、中青年股骨颈骨折、四肢各大关节(肩、肘、腕、髋、膝、踝)软骨、韧带、半月板、关节盂唇、肩袖等运动损伤等。
特*医色**疗优势
○ 以股骨头坏死为主的髋关节疾病保髋诊治。 关节中心拥有30余年、数万例的临床经验,形成了系统的、具有创新性的预防、早期和准确诊断、以中医药为主的综合保守治疗、保留自身髋关节的保髋手术治疗的综合防治体系,显著提高临床疗效,在保髋研究领域一直处于国内引领的地位,在国内外享有极高声誉,使年轻患者得以避免或大大延缓施行人工关节置换手术。
○ 膝关节骨性关节炎阶梯治疗。 针对膝关节骨性关节炎不同部位、不同程度的损害,关节中心阶梯式采用中医药为主的单纯药物治疗、综合保守治疗、关节镜微创手术治疗、改变关节负重力线(部位)的截骨手术治疗、部分关节置换手术到全膝关节表面置换手术治疗,为膝关节骨性关节炎提供了更加全面、精准的治疗手段,提高了临床疗效。
○ 是国内最早开展人工关节置换手术的单位之一。 近年来,关节中心开展关节置换手术量居省内前列。科室近年也积极推广应用快速康复外科理念,加强无痛病房建设,同时将中医“整体观念”与之结合,采用中西医结合方法,使患者在手术后局部与全身功能得以同步、快速康复,同时降低感染、深部静脉血栓形成等并发症的发生率。
○ 关节镜微创手术。 关节中心开展关节镜微创手术已十余年,广泛用于肩关节、髋关节、膝关节及踝关节等部位的运动损伤和疾病治疗,年均手术量逐年增长。关节中心已经广泛开展关节镜下膝关节多发韧带损伤一期重建、肩关节巨大肩袖损伤组织瓣移植修补、肩关节习惯性脱位Latjet手术、髋关节盂唇修补及骨赘清除等高难度手术。关节镜微创手术大大减少了手术创伤,局部更加美观,加快了术后的康复进程,疗效更加满意。
供稿:左国璟
排版编辑(实习生):陈传锴
责任编辑:叶美琪
校对编辑:李龙浩
初审:何伟
审核:王剑
审定发布:范琳燕