
感谢彭龙老师授权发表
商务合作:2519330936@qq.com
之前我们分享了秒懂胸片!扒一扒胸片的基础知识(可点击查看),那这一次就老生常谈,先发一波病例走起,病例很简单,都是白肺,各位来诊断吧。备选一共有:上叶肺不张、全肺不张、胸腔积液、大叶性肺炎

2.

3.

4.

你的诊断是什么?
助攻一波↓↓↓

当当当当~~~~公布答案啦:
1.大叶性肺炎
2.胸腔积液
3.全叶肺不张
4.上叶肺不张
标图见楼上哟,俺已经标了,再来个有趣的。
一.气镰征
感谢 vivian_1002_79在笔者另一个贴的标图

空气镰刀征为左肺上叶不张,在后前位胸片儿的表现,其代表过度膨胀的左肺下叶插入不张的左肺上叶与主动脉弓之间。当左肺上叶塌陷时,不张的肺组织向前向上移位,贴近前胸壁,过度膨胀的左肺下叶则位于上叶后方,左肺下叶背段,向上延伸至左半胸腔的肩部,位于纵隔与不张的肺组织之间,形成空气镰刀征。
气镰征双侧可见,左侧典型,注意这不是气胸哟。
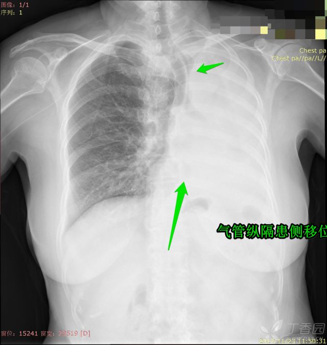
再来一个有趣的纵隔

这个双侧积液量明显不一样,为何纵隔没有偏移呢?
其实仔细看就会发现萎陷的肺组织,即压迫性肺不张。邻近大量胸腔积液导致肺组织被动塌陷,而这些积液又填充了塌陷肺组织的空间,所以这个纵隔不移位也是很正常的。
“终身成就奖”、“中国好医生”获得者
饶明俐主编
60多年脑血管研究精华
《脑血管疾病影像诊断》
新书限时拼团
周一12点恢复八折优惠价呦

点击 “阅读原文” ,马上购买