特发性视网膜前膜(ERM)多见于50岁以上患者,约30%病例见于双眼。ERM年轻人少见,但是儿童也可发生,往往继发于外伤、炎症及肿瘤。鉴别继发于早产儿视网膜病变(ROP)、家族性渗出性玻璃体视网膜病变(FEVR)等进行性疾病的ERM与特发性ERM及继发于非进行性疾病的ERM是必要的。据了解,关于12岁以下的儿童ERM的评估目前仍没有报道。
本文回顾性研究了2005年1月至2011年11月期间Pediatric Department of the Rothschild Ophthalmologic Foundation (Paris)的13例儿童单眼ERM患者,排除继发于网脱、FEVR、ROP、穿通伤及长期弱视患者,分别对其进行了手术及术后6个月以上随访观察。
该手术由3位术者采用25-G经平坦部玻璃体类手术。所有患者视网膜前膜均成功从中心凹及黄斑区剥除,其中2例ERM与视网膜粘连紧密,需双手操作完成。所有资料通过表格形式对年龄、性别、起病及确诊时间及眼部疾病史、随访眼部情况及专科检查等进行评估。术后患者定期随诊,包括屈光及斜弱视、前节、眼底、OCT等。
研究结果显示:13例患者(5女8男,6右7左),平均年龄为6.5岁(3–12岁)。平均随访时间为28.5个月(12-69个月)。13名患者中,有7例特发性ERM(图1),4例合并视网膜和视网膜色素上皮联合错构瘤(图2),2例为创伤后ERM(图3)。其中10例是偶然发现诊断的 (77%)。术后12例患者(92%)视功能均不同程度改善。所有患者接受弱视辅助治疗。术后最佳矫正视力明显改善(20/160到20/40,P= 0.001);随访期间无复发病例。(表1)

图1. 病例11:患儿男,9岁,致密且伴有钙化的特发性ERM。学校筛查诊断,视力20/1600。

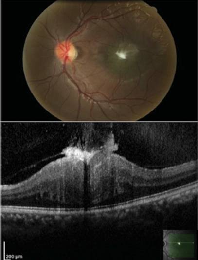
图2. 病例2:患儿女,5岁,继发于视网膜和视网膜色素上皮联合错构瘤的ERM。眼底照相(广角)示较厚且粘连紧密的ERM,伴有明显的视网膜色素上皮改变。

图3. 病例13:患儿男,3岁,创伤后ERM,视力20/400,因斜视就诊。眼底照相(广角)示假瘤样ERM覆盖浓厚血肿(A)及迂曲杂乱的血管,血管在FFA上清晰可见,造影晚期血管渗漏(B-D)。
表1. 13例患儿ERM临床特点

此外,该项研究中发现,所有前膜符合年轻患者临床特点:致密且紧密附着于视网膜,不伴有玻璃体后脱离。OCT检查有助于更好的了解视网膜各层受牵拉程度。特发性ERM病例中,OCT显示严重的视网膜内层牵引和视网膜感光细胞层与色素上皮细胞层的保留(图4)。区分特发性和非特发性黄斑前膜仍需要术前检查和围手术期评估,ERM病理学分析可能确定疾病的性质。尽管手术存有争议,但在病变累及血管并造成视功能严重受损时,手术是值得推荐的。

图4. 手术前后OCT对比。图A-C示:患儿男,5岁(病例7),特发性ERM。术前OCT(图A)示ERM浓厚、致密,但是视网膜光感受器细胞层及色素上皮层完整;术后2个月OCT(图B)示视网膜仍欠规则;术后8个月OCT(图C)示黄斑区厚度明显改善。图D-F示:患儿男,9岁(病例4),继发于视网膜和视网膜色素上皮联合错构瘤的ERM。术前OCT(图D)示ERM浓厚伴有严重视网膜牵拉致整个视网膜不规则;术后2个月OCT(图E)示视网膜皱褶减轻;术后6个月OCT(图F)示视网膜平整,皱褶明显改善。
该项研究强调,儿童视网膜前膜虽少见,但儿童筛查在大多数情况下是必不可少的。早期手术可获得视功能长期的改善,从而避免弱视及不可逆性视力丧失的可能。
(正文所有图片均来自原文)
原文:Bonnin S, Metge F, GuezA, et al. Long-term outcome of epiretinal membrane surgery in young children. Retina. 2016,36(3):558-564.
短评

戴荣平
儿童黄斑前膜相对少见,但对儿童的视力和视力发育影响较大。通过及时的手术治疗大部分患者还是有好转的可能。儿童玻璃体切除手术需要慎重对待,一旦出现手术并发症,往往造成无法弥补的后果。当前的玻璃体切除已逐渐向微创化发展,手术的安全性有了一定的提高,对于严重影响视力的前膜,还是主张积极手术治疗。最后需要强调的是早期发现,儿童需要定期检查双眼的视力情况,以便及时发现视力问题。
《国际眼科时讯》的【文摘速递】栏目于2015年8月起与《协和眼科资讯》实现共建,所有资讯在两个微信公众账号同步上线,以下为两个账号的二维码: