肺癌是发病率和死亡率增长最快,对人群健康和生命威胁最大的恶性肿瘤之一。近50年来许多国家都报道肺癌的发病率和死亡率均明显增高,男性肺癌发病率和死亡率均占所有恶性肿瘤的第一位,女性发病率占第二位,死亡率占第二位。
点击这里 「链接」 ,马上自测肺癌!
艾滋病是一种危害性极大的传染病,由感染艾滋病病毒(HIV病毒)引起。HIV是一种能攻击人体免疫系统的病毒。它把人体免疫系统中最重要的CD4T淋巴细胞作为主要攻击目标,大量破坏该细胞,使人体丧失免疫功能。因此,人体易于感染各种疾病,并可发生恶性肿瘤,病死率较高。HIV在人体内的潜伏期平均为8~9年,患艾滋病以前,可以没有任何症状地生活和工作多年。
近些年来,随着艾滋病病人寿命的延长,这类病人患有肺癌也很常见,今天想介绍的患者是一位老年男性,查出肺癌两年同时入院检查中又查出患有艾滋病,目前患者一般状况良好,心态积极,经过治疗和密切随访病人稳定,希望通过这个病例能使肺癌伴艾滋病的患者在疾病治疗方面有一定信心,努力提高生存率。
一、基本信息
【基本信息】男性,68岁
【入院时间】2019年3月
【入院情况】
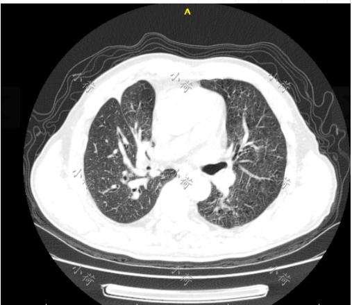
患者因咳嗽咳痰,痰中带血于2018-08-28日在人民医院门诊就诊查胸部CT:考虑右肺上叶癌伴周围阻塞性炎症,纵隔淋巴结肿大。
予消炎、止血止咳等口服药物治疗。09-11日查PET/CT考虑右肺上叶后段肺癌伴阻塞性炎症,伴双肺内及淋巴结转移可能大,术前艾滋检查HIV阳性;09-12日在全麻下行肺癌根治术,术后患者恢复可,2018-11-03至2019-01-23始化疗2周期。
具体方案为:培美曲塞0.8d1+顺铂30mgd1-4,同时予对症支持治疗,现为拟行术后辅助化疗第3周期入院。
【检查说明】
1.胸部CT:1、“肺癌术后化疗后”;2、右肺少许炎症;3、两肺纤维灶、局部钙化;4、纵隔小结节、主动脉及冠状动脉钙化。
2.PET/CT提示:
1.右肺上叶后段一软组织团块影,其内可见小空洞影,放射性摄取异常增高;两肺多发斑点结节影,放射性摄取未见增高;纵隔上段血管前、气管前腔静脉后、隆突下及双肺门可见稍大淋巴结影,放射性摄取增高,考虑右肺上叶后段肺癌伴阻塞性炎症,伴双肺内及淋巴结转移可能大,建议经皮肺穿刺活检。
2.右肺中叶内侧段及左肺上叶舌段少许炎症后改变。
3.双侧基底节区腔梗灶,老年性脑改变。
4.主动脉及分支、冠状动脉粥样硬化改变。
5.部分椎体轻度退行性变。
3.术前五项:HIV(+)

4.术后病理:(右上肺)低分化癌,待免疫组化进一步明确,肿瘤大小3.7*3cm*2.5cm,癌组织未累及肺膜。支气管切缘及带钉切缘均未见癌残留,支气管旁淋巴结未见癌转移(0/4)。送检(第2、3、4、6、7、12组)淋巴结均未见癌转移(0/4、0/4、0/3、0/3、0/6、0/1)。免疫组化:癌细胞CK-L+,CK7+,NapsinA弱+,TTF-1+,CK5/6-,P40-,Syn-,CD56-,Ki67约70%+,HMB45-,SMA-,Pax-8-,GATA3-,CD10-,RCC-,Vimentin+,结合HE,符合肺低分化腺癌。
5.血检查:CA19-910.73(U/mL);甲胎蛋白5.62(ng/ml);癌胚抗原4.50(ng/ml);CA1259.43(U/mL);神经元特异性烯醇化酶15.9(ng/ml);血常规(病区):白细胞数3.8(*10^9/L)↓,红细胞3.92(*10^12/L)↓,血红蛋白112(g/L)↓,中性粒细胞%0.451↓,淋巴细胞%0.405↑,单核细胞%0.131↑,中性粒细胞#1.71(*10^9/L)↓,红细胞压积0.337↓;肝功能常规:总蛋白63.7(g/L)↓
6.彩超:甲状腺结节TI-RADS3类左侧锁骨上窩淋巴结增大。
【诊断结论】
1.右肺癌术后
2.高血压
3.冠状动脉粥样硬化性心脏病
4.艾滋病
......
未完,点击下方“了解更多”继续阅读下篇
《两大杀手?68岁河南大爷确诊“肺癌”时检测出了“艾滋病”【2】》
⇩⇩⇩