
肺部为各类恶性肿瘤最为常见的转移部位,大多为血行转移。肺转移为恶性肿瘤的晚期表现,绝大多数肺转移瘤患者一经发现已失去外科手术机会。

肺转移瘤的介入微创方法主要有:
- 支气管动脉化疗灌注术:有效提高肿瘤局部药物浓度,增强杀灭肿瘤细胞作用。用药量少,全身不良反应小;
- 支气管动脉化疗栓塞术:可精确栓塞肿瘤供血动脉,促进肿瘤坏死;
- 经皮肺穿微波/射频消融术:微创、快速消减瘤体负荷;
- 放射性粒子植入术:植入放射性粒子,可持续、近距离照射肿瘤,对周围正常组织损伤小。

典型病例介绍
老年女性,双肺、左侧胸壁多发转移瘤,多程传统静脉化疗无效,病灶持续进展。采用多种介入微创治疗技术,多管齐下——CT引导下放射性粒子置入术+支气管动脉化疗栓塞术+支气管动脉化疗灌注术,使得肿瘤病灶得到有效控制。

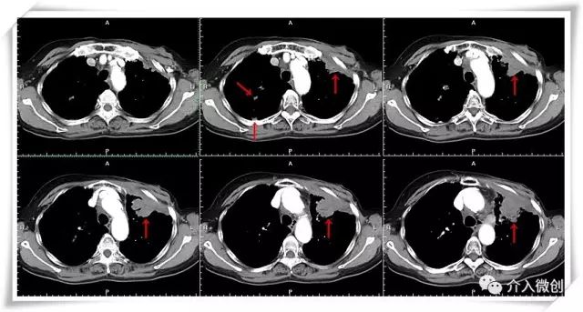
CT示左侧胸壁肿瘤转移

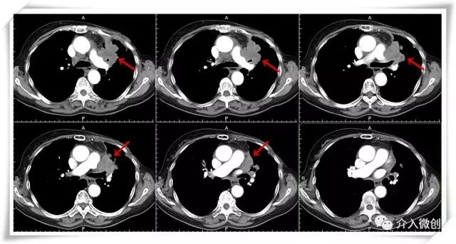
CT示左肺门肿瘤转移,侵犯、压迫左上肺支气管,累及左肺动脉

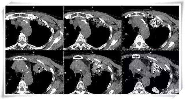
CT引导下放射性粒子植入左侧胸壁病灶及左肺肺门病灶

CT引导下放射性粒子植入左肺肺门病灶
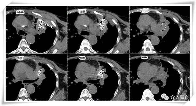
DSA下行支气管动脉化疗栓塞术+留置导管持续化疗灌注术,进一步控制双肺转移病灶

针对肺转移瘤相关并发症的介入治疗方法有:
- 大咯血:可行支气管动脉栓塞术,可快速控制出血,防止继发窒息、失血性休克等。
- 上腔静脉综合症:可行上腔静脉腔内支架置入术,快速缓解梗阻、压迫症状。
- 气管、支气管狭窄:可行气管内支架置入术,快速解除呼吸困难。
