11月4日下午,四川大学华西医院骨科病房,65岁的王婆婆没有依靠助步器,也不用人搀扶,高兴地在病房里走了两圈。她表示膝关节不再疼痛难忍,走路不用一瘸一拐了,“一双脚都好了,太谢谢了。”
此前10月29日,王婆婆在华西医院骨科接受了右膝的全膝关节置换手术,加上今年年初进行的左膝膝关节置换,彻底解决了她20多年的双腿膝关节疼痛、走路困难。而这次手术的特殊之处——是在机器人辅助下完成的,这也是四川大学华西医院骨科周宗科教授团队完成的我国西南地区首例国产机器人辅助全膝关节置换手术。
患者:
65岁婆婆饱受20多年膝关节疼痛折磨
王婆婆今年65岁,四川阿坝州人,大约20多年前,她的膝盖开始疼痛,后来逐渐发展到走路困难,“不管做啥子家务活、走路,简直都没有办法。”
王婆婆说,40多岁后,她干活都需要拄着棍子,更不要说蹲下、久站,走路姿势也是一瘸一拐,严重影响到生活。此前,她在多家医院先后接受过药物镇痛治疗、理疗和关节腔内注射玻尿酸钠药物,效果都不理想。
在华西医院骨科门诊,周宗科教授对王婆婆进行了全面的评估:患者双膝内翻且无法完全伸直,跛行步态。双膝关节活动度均只有90度,屈曲畸形15度,内翻畸形10度,X线片显示关节面软骨缺损,呈“骨磨骨”表现,双膝关节骨关节炎都已经达到终末期,只有手术治疗才可能解决患者的病痛。
医生:
机器人助力右膝全膝关节置换手术
“年轻的时候,我们的腿是直的,一条线。等到一定的年龄,膝关节开始磨损,关节面软骨没有了,骨头磨骨头,产生剧烈疼痛。”周宗科教授解释,平时我们走路时对膝盖骨头产生的压力,靠被关节液包裹的软骨分担,软骨是光滑、有弹性的,可以形成保护作用。没有软骨后,骨头磨损骨头,站起来痛、走路也痛。

据悉,机器人辅助手术要做两次,第一次是将患者的CT扫描数据录入电脑进行建模,包括需要考虑“需要截骨的位置是多少,安装的假体有多大?要实现什么样的效果?”等问题,先在电脑上做一次演练,进行精确的测量技术,在手术时再在机器人的辅助下,一步步实施,手术精准度更高。

(术前三维模型与术中患者股骨和假骨进行注册配准)
周宗科解释说,机器人辅助手术的优势在于更加智能化、更加精准,“切多少,角度,厚度(丝毫不差)”。最终的目的,希望达到手术后,更加接近或者等于人体本身的解剖学特征,实现功能重建。
精准的手术,区别于传统依靠医生经验进行的手术,能更好地提高患者关节的远期的生存效果,远期出现松动、磨损的概率更小,甚至达到一次手术、终身受用的目的,这是智能化骨科的体现。“目前我们传统膝关节置换手术的理论使用年限是20年。”周宗科教授说。

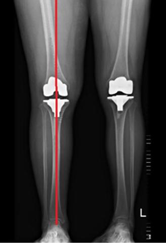
术后X片
髋-膝-踝角180°(理想值180°)
手术完美恢复下肢力线
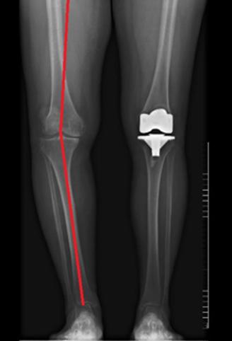
术前双下肢全长X片
髋-膝-踝角169°
(内翻11°)

手术后,王婆婆的右膝疼痛消失,术后5天,已经能够不依靠助步器,适当下地行走。“我一下子精神都好多了。”王婆婆说,因为手术效果良好,她把妹妹也介绍来了,11月5日,王婆婆的妹妹也接受了机器人辅助下的全膝关节置换手术。

关于国产机器人膝关节置换手术辅助系统
王婆婆此次接受的手术,是国产膝关节置换手术机器人在华西医院的首次亮相。
这是一次国产机器人膝关节置换手术辅助系统临床应用的多中心随机对照临床试验研究,由国家骨科与运动康复临床医学研究中心牵头组织,华西医院作为该临床研究的主要参研单位,与其他专家共同在系统的人机交互策略与机械操作控制上分享宝贵的临床应用经验,并提出具有学术价值的改进指导意见与建议。
该手术辅助系统具有自动CT精准分割、智能手术规划、术中实时软组织平衡、安全精准截骨等功能,通过智能三维模型与医生交互,确保下肢力线最优,假体大小及安放位置最佳。医生团队通过对机器人导航系统和机械臂的相互操作配合,将摆锯的运动范围限制在预定的安全范围内,极大地提高了手术的精准度和安全性,避免了人工测量误差、假体位置不佳等因素对术后恢复所造成的影响,在提升远期疗效,提高患者满意度,达到手术精准,快速康复的目的。
