01 为什么牙医要叫做做二氧化锆全瓷牙?
拥有一口整洁漂亮的牙齿是现代人十大健康之一,是一种身份地位的象征之一,是一种高尚品质生活的表现之一,长期以来烤瓷牙一直是一种快速、有效的修复牙齿的一种方法,但金属烤瓷牙的金属离子会对人体产生不良反应,如牙龈发黑、牙龈出血萎缩等...因金属內冠的存在,透光性、色泽和形态与自然牙存在较大的区别,更会在灯光下产生青灰色的效果。同时金属瓷牙在液体口腔酸碱环境细菌作用下不稳定,患者在做CT核磁共振时金属有一定的干扰,因此口腔医疗界一直在努力改变这一状态,目前国际口腔界流行的是一种最新的无金属內冠的烤瓷牙——氧化锆全瓷系列。
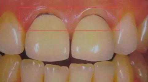
(注:图1金属烤瓷牙 图2二氧化锆全瓷牙)


02 氧化锆是否安全?
医用与牙科使用的氧化锆在生物安全性方面表现均非常出色。多年来,大量实验与临床病例证明氧化锆对骨、软组织细胞均无毒性损害。也未见过敏反应报道。
1、患者担心氧化锆是否有放射性,实际上氧化锆来源的锆石,需要经过提纯处理,粉体加工等多个步骤,加工过程会去除所有的杂质。国家食品、药品监督管理总局标准对上市的所有陶瓷材料有严格的标准,只有满足放射性实验要求后才可作为医用材料。而且不仅仅对氧化锆有要求,对饰瓷、氧化铝、玻璃陶瓷等也有同样的放射性合格要求。实验表明纯氧化锆粉体放射性不仅小于玻璃陶瓷,甚至低于人类骨组织。
2、氧化锆有时会被误认为是金属的一种。这是混淆了金属元素和金属的化学概念,氧化锆并非锆金属或锆石,虽然含有金属元素,但是却是氧化物陶瓷。这如同氯化钠(食盐的化学成分)与金属钠的区别。

03氧化 锆修复体的崩瓷率高吗?
大量研究表明,氧化锆的崩瓷发生率并不比传统烤瓷修复体高,研究发现氧化锆的崩瓷主要发生于饰瓷内部而非饰瓷与氧化锆基底冠界面。而引发崩瓷发生的主要原因有三方面:
1、底冠形态设计不良,局部表面饰瓷过厚;
2、饰瓷烧结时未按标准进行温度控制,比如快速冷却;
3、医生调颌后未进行合理的处理,比如再上釉烧结,或者标准三步抛光等...这都是必须的步骤。
04调颌 对氧化锆修复体有影响吗?如何避免?
调颌后会造成饰瓷表面的破坏,必须经过后续处理,如上釉烧结或抛光。然而大量的调磨会大大影响修复体的强度,有可能会引发断裂。如修复体制作不当,推荐重新取精准印模返工制作。如对氧化锆的少量点磨。在充分水冷下进行对强度影响较小。但是如果打磨区域过大,则一定会造成强度下降,如要调磨內冠,造成风险需与技师沟通。

05全氧 化锆会对对颌牙造成过度磨耗吗?
对于一些咬合紧,备牙空间不足的患者,全氧化锆修复体是一个不错的选择,如果您担心会对对颌牙造成过度磨耗,则大可不必,因为氧化锆的磨耗性能取决于表面的光滑度,而非硬度。因此,全氧化锆修复体经抛光或上釉后,并不会造成对颌牙的过度磨耗,调磨后请交于技师上釉或自行抛光。
06氧化 锆粘接要注意什么?与其他全瓷有何不同?
氧化锆粘接相对玻璃陶瓷而言,比较简单。因为有良好的强度,因此粘接剂的选择非常广泛。粘接前无须医生做表面处理。其活性基因与锆离子结合,可获得化学结合力。此外还有多种颜色选择。

氧化锆特性
特点01
1、颜色与天然牙色泽非常相似,拥有高度的美学效果,优良的透光性、更适合在美观性要求高的部位使用。
2、口腔中没有金属异味,不腐蚀、不因冷热的交替而刺激牙髓神经,出色的生物相容性,持久耐用。能经受搞强度的咬合力,防止折裂,坚固耐用。解决了金属烤瓷牙龈透青,黑线和变色问题。
3、核磁共振检查时,非金属的氧化锆对X线无任何阻挡,核磁共振检查时都不需要拆掉假牙,省去很多麻烦。
适应症02
1、氧化锆瓷牙:
美容牙,严重的四环素牙,氟斑牙,畸形牙,变色牙等...对金属或塑料过敏者可制作前后牙单冠、连桥。
2、氧化锆全锆:
①夜磨牙病例 ②基牙备牙空间不足病例
③种植体病例 ④其他易崩瓷病例等...

预备基牙的要求03
1、前牙:切端磨除约2.0毫米,舌侧磨除约1.5毫米预备360度,宽约1毫米的肩台,轴向颌角2度-5度;
2、后牙:颌面磨除约2.0毫米(工作侧2.0毫米,非工作侧约1.5毫米),颊舌侧磨除1.5毫米预备360度,宽约1.0毫米的肩台,轴向颌角2度-5度;
3、贴面:制备定位在牙釉质部分关键是舌侧切缘处要有一个过渡的台阶,并确定台阶的边缘不是在咬颌的磨损区域,切端制备的范围大约在1--1.5毫米,唇面约1.2--1.5毫米,牙颈部分的肩台制备角大约在10度--30度。
氧化锆在临床推广中的注意事项04
1、基牙短小的,基牙尖锐的不合适。
2、空间不足(连接点强度不够)的不合适
3、单颗倒凹及桥体倒凹大的不能做。
4、建议医生取模时排牙龈及用硅橡胶取模。
建议医生用16色比色。(特别是全锆的一定用16色比色,否则会造成色差)