大家每天都会刷牙,也看似每个人都会刷牙。其实不然,刷牙也大有方法,正确的刷牙方法能有效地清洁牙齿,起到预防龋齿和牙周病的作用,而错误的刷牙方式,能够让牙根部刷出一条“沟”来,也就是“楔状缺损”,毁掉我们的牙齿!

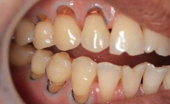
说起楔状缺损,很多人不知道是怎么回事?下面看几张图片,你大概就知道了,或许你的牙齿正遭遇这种情况。



牙齿楔状缺损多与年龄成正比关系,年龄越大缺损越严重,罹患多颗牙甚至全口。但是现在越来越多的年轻人患上了,这个主要跟刷牙方式有关,长期横向刷牙、使用过硬的牙刷以及刷牙过猛都会导致牙颈部磨损,这些缺损常见于前磨牙或前牙,前磨牙和前牙位于牙弓突出的区域,在刷牙时这个区域的受力会相对强一些,因此很容易受损伤,从而导致牙齿根部靠近牙龈的地方出现缺口。

杨阿姨最近晚上牙痛的睡不着觉,而且冰的、酸的都吃不了,经医生检查,她上排的牙齿第四、五颗牙的牙根部都有三角形缺损,这就是楔状缺损。医生说如不及时补牙治疗,可能导致牙神经受损,甚至是牙齿折断。而她出现楔状缺损的原因,正是由于长期拉锯式横向刷牙造成的。

据说长沙市中心医院口腔科每天因牙齿楔状缺损前来就诊的患者有三四十人,医生提醒预防楔状缺损,首先要选对牙刷,牙刷要选刷头较小呈椭圆形的,刷毛要柔软,其次要采用正确的刷牙方式刷牙。
一般情况下,在牙齿楔状还比较轻的时候,牙齿没有太大的特征,但是当楔形缺损较深的时候,牙齿受到冷热酸甜刺激疼痛,张嘴吸气,刷牙遇冷等都会隐隐作痛,冬季尤为明显。楔状缺损可能会引发牙髓病,伴有牙龈退缩,严重时还可使牙冠折断,咀嚼功能丧失。

因此,当你发现牙齿根部出现一条“沟”状时,不要疏忽大意,很有可能自己患上了楔状缺损。对于损耗甚浅的楔状缺损,无症状,可不必治疗;对于有牙本质过敏者,可用药物脱敏;对于过大、过深的缺损,可用充填法修复;已损害到牙髓者可进行牙髓治疗;对于牙折者,根面好的进行根管治疗后,作接冠术、桩冠。

另外,建议选择软硬适度的牙刷,配合正确的刷牙方式,刷牙时不要过分用力,避免使用拉锯式的横刷法,很容易损伤牙龈,建议采用巴氏刷牙法。