猫咪癫痫(羊癫疯)会怎样?
会四肢僵硬?
会口吐白沫?
会浑身痉挛打颤?
症状表现很激烈?现场很吓人?

别急,小懋今天跟你说说猫咪羊癫疯
别怕,你能处理好~

No.1
什么是癫痫?
癫痫发作是一种突然的、
无法控制的、
猛烈的身体痉挛状态
猫咪的身体不由自主的开始痉挛

猫咪有时睡懵了也会这样
别太担心
No.2
猫咪癫痫的病因
一.真性癫痫:
这种类型极少见
发病与遗传因素或者
原因不明的机能性(代谢性)因素
有重要关系

二.症状性癫痫:
大脑疾病或损伤产生的脑器质性病变
有此引起的癫痫发作
猫的这类癫痫可见于下列疾病:
1.肿瘤性疾病:髓膜瘤(老龄猫)及淋巴肉瘤(年轻猫)。
2.感染性疾病:弓形虫病、隐球菌病、猫性传染性腹膜炎、脑炎以及脑脊髓炎。
3.中毒性疾病:铅、聚乙醛、有机磷以及链霉素中毒。
4.其它疾病:外伤、脑供氧不足以及脑积水。

目前,可用于诊断的检测有
血液测试、磁共振(MRI)、CT扫描
有需要的宠主可以直接联系福懋动物医院

左图:MRI扫描正常的猫大脑
右图:疑似癫痫诱发脑损伤(海马坏死)的猫大脑(白箭头所指)
图中患猫表现为急性全身性癫痫发作和行为改变,包括攻击、流涎和方向迷失
No.3
发作的症状是什么?
全身性发作症状:
猫的身体突然整个崩溃、失去知觉
四肢剧烈摇晃
面部抽搐或不停咀嚼
时长伴随流涎和尿便*禁失**
通常持续1-3分钟
特别注意:5分钟内出现一次以上或单次发作超过5分钟的,属于重积状态,十分危急,需要送医。
局部性发作症状:
这类癫痫发作只会影响部分身体。
它们可能表现为流口水、
眼睑或面部抽搐、
发出异常声音、嚎叫
或只是头部、颈部、四肢异常运动
有可能进展为全身性发作
如果经常性发生
建议带到宠物医院进行身体检查

No.4
发病前兆和后症状
如果猫咪发病时我们恰巧没看到呢
这里讲讲发病的前后症状
以做预防和事后观察
发病前兆:
患猫在癫痫发作的数分钟至数日前
通常会沉郁、动作亢进以及兴奋等
变现出与平常不一样的行为

配图与症状无关
癫痫发作后:
清醒后的猫,步态踉跄,原地打转
短时间的狂躁状态后因疲劳而睡觉
或显示异常的食欲
但是多数病猫都马上能恢复过来
看不到这些发作后的症状

No.5
猫癫痫时我们应该这样做
猫咪癫痫发作时表现比较激烈
如果家长正巧看到是最好的
癫痫发作时
猫咪的行为都是无意识的
任何试图靠近的人都极可能被抓伤

但也别怕,建议如下:
- 在癫痫发作期间和你的猫待在一起。仔细观察。
- 保持冷静和安静。
- 注意时间。你需要知道癫痫发作会持续多久。
- 把猫可能会伤害到自己的东西拿走。
- 不要移动猫,除非它在一个危险的地方--比如楼梯顶端。
- 别碰那只猫或试着做任何事直到它停止癫痫!
- 一旦癫痫停止,一定要缓慢且安静的触碰猫咪,不要太用力,否则容易再次发作。
- 如果再次发作,请再次检查时间并计算癫痫持续的时间。
- 注意这只猫在癫痫前在做什么。
- 癫痫发作超过5分钟或反复发作,都应该立刻送医。建议用毛毯或毛巾裹住猫咪,这样能减少误伤,千万不要空手抓猫。

No.6
关于猫咪癫痫治疗
案例:

脑瘤是癫痫发作的潜在原因
尤其在老年猫中
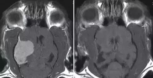
左图:一只11岁猫的大脑膜瘤,最近癫痫发作并向左侧盘旋,这种类型的肿瘤往往适合手术切除,大多数猫预后良好
右图:手术切除两个月后的MRI扫描图

偶然发作一次的猫一般被认为不需要治疗,只有当猫咪出现下列情况之一时才建议进行:
1. 当猫一个月发作不止一次时。
2. 当猫多次集中发作或单次发作持续时间过长时。
3. 当癫痫继发于脑部疾病或颅脑损伤后(特别是当癫痫发作在颅脑损伤第一周内时)。
4. 当癫痫发作频率或严重度增加时。