垂死病人的大脑表明,死亡的瞬间记忆会不断浮现在我们眼前。
国外一位 87 岁的患者在摔倒后,头上放置了电极以检测大脑是否受损。
然而他却在治疗过程中去世了,同时医生也意外记录了大脑在死亡瞬间的活动状态。

维基共享资源科学家设法连续观察了一个垂死男子的神经活动 900 秒。
医学发达的今天,我们还是遇到同样无法解答的问题那就是死亡的时候人们真的会像电影里描写的一样回顾自己的一生吗?
我们一直无法给出肯定的答案,毕竟死亡是单程列车无法回头。
现在,科学家们第一次记录了一个垂死病人的大脑,他们有了一个惊人的发现:当死亡来临的时候,我们的一生记忆真的会在我们眼前闪现。
项新来自世界各地的科学家深入研究了一位 87 岁老人生命的最后时刻。
正如《衰老神经科学前沿》杂志所发表的那样,该患者在接受癫痫发作治疗时死于心脏病,他在不列颠哥伦比亚省温哥华综合医院的医生在此过程中记录了他的大脑。
研究人员专门研究了患者心脏停止跳动前后的 30 秒间隔。他们发现,他的生活可能真的在他眼前一闪而过,因为他的大脑产生了通常在做梦或探索旧记忆时发生的神经振荡。
路易斯维尔大学的 Ajmal Zemmar 博士说:“通过在记忆检索中产生振荡,大脑可能会在我们死前最后一次回忆重要的生活事件,类似于濒死体验中报道的那些。”

梅奥诊所医生正在使用脑电图 (EEG) 来治疗该男子死亡时的癫痫发作。
这名男子源于一次意外摔倒,出现了脑出血的症状。在他入院后医生发现可能是摔倒引起脑部受损引起的癫痫发作。他们将他的大脑连接到脑电图(EEG) 机器。
治疗过程中男子不幸去世然而对科学家来说却是幸运的,家人还同意医生公布他大脑电活动的数据。
根据 Zemmar 的说法,15 分钟不间断的数据使研究人员能够专注于生与死之间的过渡时期。

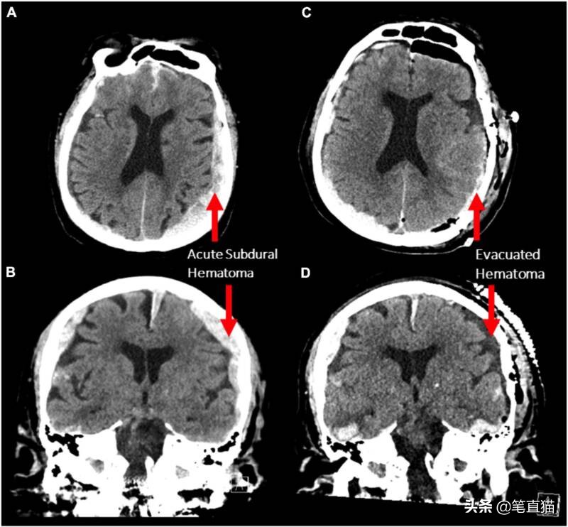
衰老神经科学前沿手术前(A 和 B)和手术后(C 和 D)患者硬膜下血肿的 CT 扫描。
“就在心脏停止工作之前和之后,我们看到了特定的神经振荡频带的变化,即所谓的伽马振荡,”泽马尔说。
通常称为脑电波,神经振荡本质上定义了我们大脑的电活动。振荡以不同的频率发生,并且通常被分类为不同的意识状态。
在这种情况下,患者的心脏骤停显示患者的α波和γ波发生了剧烈变化。长期以来,人们都知道这种相互作用与记忆回忆、做梦、冥想、信息处理和有意识的感知有关——换句话说,就是闪回。
“鉴于 α 和 γ 活动之间的交叉耦合涉及健康受试者的认知过程和记忆回忆,推测这种活动可能支持可能发生在濒死状态的最后一次‘生命回忆’是很有趣的, ”研究报告说。

衰老神经科学前沿超过 15 分钟捕获的 EEG 输出,“S”表示癫痫发作,“CA”表示心脏骤停。
值得注意的是,这项研究是同类研究中的第一个,因为以前从未像这样测量过垂死人类的活脑活动。另一方面,这些振荡先前已在大鼠中进行过监测,这表明大脑可能会对多种物种的死亡产生相同的生物反应。
然而,该研究确实提供了某些考虑因素,例如在记录此活动时,患者的大脑因出血、肿胀和癫痫发作而受到创伤。该男子还服用了大剂量的抗癫痫药物,他的正常大脑活动没有问题。
最终,研究确实表明,濒死体验为我们提供了众所周知的生活幻灯片,并且我们的大脑会故意执行这种特定的神经反应。
这些发现迫使我们重新定义生命真正开始和结束的时间。
生命的美妙来源于未知,你有哪些奇妙的体验呢?