
图片来源网络
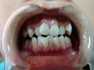
矫正牙齿过程中,正畸医师为了获得牙齿间隙会对牙齿进行片切(磨牙),这种手段也是临床中矫正牙齿常用的必要手段,50%左右的正畸患者都需要通过这种手段来使牙齿变窄,为矫正腾出多余的空间。
然而,一些患者会好奇的问,为什么自己的牙齿有缝隙医生还是说要片切呢?一般来说,这个问题要从几个因素讲起:
01.牙齿拥挤

图片来源网络
牙齿排列拥挤的患者,通常为了获得足够的矫正空间会对牙齿进行片切(磨牙)。片切的量一般会控制在牙齿釉质厚度的50%以内是安全的。
02.上下牙大小不匹配

图片来源网络
比如上牙过大,需要和下牙的大小进行匹配,这时候就需要对上牙做片切。通常对上前牙控制在0.3mm以内,下前牙控制在0.2mm以内,前磨牙控制在0.5mm以内,磨牙控制在0.6mm以内是比较安全的,正畸医师通常会结合X片及牙齿形态等进行分析。
03.牙齿有黑三角

图片来源网络
一些患者牙齿间存在小的黑三角,如果牙齿的形态偏铲形,可通过片切来改变牙齿的形态,以达到美观的效果。
所以呢,在矫正牙齿中,需要做片切的原因有很多,需要根据个人情况,让专业的正畸医师通过检查资料等详细分析是否考虑片切,建议的大家要找正规靠谱的医生哦~
【本文来源子和口腔官方公众号:cdzhkq】