咨询:有个熟人,三代(奶奶、爸爸、姑姑、小宝)都是镜下血尿2+,没有其他异常,也没查出原因来,请问老师们有没有听过这类的遗传病?诊治思路是什么?
===================
有三种常见的单纯血尿病因:IgA肾病、薄基底膜肾病(在大多数情况下,薄基底膜肾病被称为良性家族性血尿)、遗传性肾炎(Alport综合征)。其他还有一些相对少见的病因。比如轻微的感染后肾小球肾炎,也可以导致单纯血尿,但通常缓解较快,持续时间约3~6个月。另外,C3肾小球病也有表现为孤立性血尿的(虽然大部分都有蛋白),查补体C3,很低。在成人中,短暂的血尿是比较常见的,可能是由运动或感染等因素引起的。
上面咨询所述的情况比较常见,约占原发性无症状性血尿的20%,可发生于任何年龄,男性与女性发病机会均等,发病年龄绝大多数在40岁以下,个别报道80岁以上才被发现。
病例介绍
患者, 男, 17岁,因肉眼血尿8年入院。
8年前开始反复出现无痛性肉眼血尿, 色鲜红, 多发于晨间, 无尿频、尿急、尿痛, 无发热、畏寒, 无皮疹、光过敏, 无关节疼痛, 病初未正规就诊。
6年前患者因乙型肝炎到外院就诊检查尿常规示潜血2+, 曾服用“血尿安”治疗1年余, 症状无明显好转, 多次复查尿潜血2~3+, 为明确诊断收入我科。
家族史:
患儿父亲(Ⅱ3,先证者),39岁,22岁体检发现尿红细胞14个/HP,尿蛋白阴性。
患儿姑妈(Ⅱ2),37岁,在25 岁时发现尿红细胞27 个/HP,尿蛋白阴性。
患儿祖母(Ⅰ2)60 岁,在52 岁时发现尿隐血++、蛋白+,血肌酐82.6 μmol/L、尿素氮6.96 mmol/L;随后8年期间,尿隐血+~++、蛋白±~++。
患儿祖父(Ⅰ1)、表兄(Ⅲ1)尿常规未见异常。
家族成员纯音听阈测试和眼科检查未见异常。

入院查体:T 36.2℃, P 82 次/min, R 20次/min, BP 102/72mm Hg。发育正常, 营养中等。全身皮肤、黏膜无皮疹, 无出血点及瘀点、瘀斑。颜面部及双眼睑无水肿, 睑结膜无苍白、充血。心、肺、腹未及异常体征。双肾区无叩击痛。双下肢无水肿。
眼科检查无特殊。
耳科检查纯音测听:正常听力。
血常规:WBC 4.3×10 ^ 9 /L, RBC 4.65×10 ^ 12/L, Hb 138g/L, PLT 287×10 ^ 9/L。尿常规:尿常规RBC+ + , 蛋白-。大便常规未见异常。24h尿蛋白定量0.02g。ANA、ds-DNA阴性。ENA多肽抗体谱阴性。血生化:肝肾功能未见异常, TC 2.95 mmol/L。血补体:C4 0.13g/L, C5、CH50未见异常。凝血四项:PT 14s, APTT 45.9s, TT 16.9s, FIB 2.8g/L。输血四项:HBSAg、HBEAb、HBCAb (+) 。HBV-PCR < 1.0 × 10∧3 copies/ml。
泌尿系及血管彩超示未见异常。
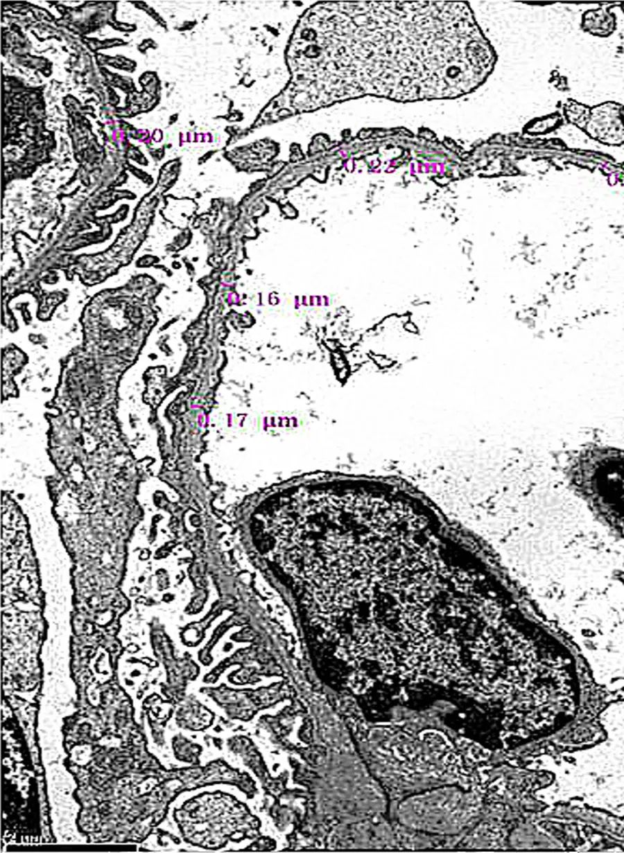
肾活检:光镜所见肾小球体积正常、无分叶, 细胞数约100个/球, 系膜细胞2~4个/系膜区, 系膜区稍增宽, 基质增殖, 袢开放欠佳, 囊壁无增厚。
PASM-Masson:系膜区少量嗜红物沉积。小管-间质病变无明显异常。血管未见异常。
免疫荧光:免疫荧光镜下可见8个肾小球。荧光染色Ig G、Ig A、Ig M、C4、C3、C1q、FRA均为阴性。轻链:κ阴性λ阴性。
病理诊断:肾小球轻微性病变 (需除外薄基底膜肾病) 。
电镜下见GBM弥漫性变薄, 电镜诊断:薄基底膜肾病。

基因测序分析:患儿COL4A5存在变异(c.566G>T;为错义突变)。

临床诊断:薄基底膜肾病
治疗经过:
避免剧烈运动、肾毒*药性**物应用及呼吸道感染。
定期(至少每年一次)监测血压及肾功能。
病例述评
薄基底膜肾病诊断依靠电镜检查,特征表现为肾小球基底膜弥漫性变薄,目前肾小球基底膜厚度标准尚不统一,至少50%以上肾小球基底膜厚度<250 nm。
薄基底膜肾病需注意与Alport综合征、Ig A肾病相鉴别。
部分薄基底膜肾病可能和Alport综合征均为发生在同一基因(COL4A3、COL4A4、COL4A5)上的遗传性肾脏病,由于杂合状态或突变位置类型的不同而产生了不同的表型。薄基底膜肾病与Alport综合征同属基底膜疾病, 在血尿症状、家族遗传、起病缓慢等方面特征相类似, 但其肾功能进行性减退, 常合并神经性耳聋和眼部病变, 电镜下肾小球基底膜增厚并呈多层结构, 可形成网状, 部分Alport综合征肾小球基底膜厚度不均一, 粗细镶嵌。
Ig A肾病患者临床上也以血尿为主要表现, 但其肾活检免疫荧光检查表现为以Ig A为主的免疫球蛋白沉积, 电镜下可见电子致密物在系膜区沉积。
同时薄基底膜肾病也需注意与外科性血尿 (如结石、肿瘤、结核等) 、泌尿系感染、某些以血尿为主要表现的原发性肾小球疾病 (如系膜增殖性肾炎、急性链球菌感染后肾炎等) 以及继发性肾小球疾病 (如紫癜肾、狼疮肾、血管炎肾损害等) 相鉴别, 通过泌尿系彩超、尿检、相关抗体检查及肾活检、上述各病的临床特点加以鉴别。
另外,本次笔记学习中,也遇到良性家族性血尿的诊断。良性家族性血尿的预后并非全都是良性,因此,对于临床上表现为家族性血尿,肾脏病理表现为薄基底膜肾病,携带COL4A3或COL4A4基因单杂合突变的患者诊断为“良性家族性血尿”不合适,代之诊断为薄基底膜肾病或Ⅳ型胶原蛋白病更合适。
既往笔记
为何要重视肾脏疾病患者基因检测?-COL4A5基因插入突变致Alport综合征一家系报告
IgA1异常糖基化在IgA肾病的致病机制