来源:南方医科大学深圳医院 普通外科
日常生活中,你一定见过这样的画面

有些人就喜欢有事没事叼支牙签,有它做道具,瞬间就要狂拽炫酷上天,发哥都有得做的感觉有没有?
但是!兄dei,你有没有想过,万一这根牙签不小心被你生吞了呢
下面要出场的李先生,将为我们表演胸口碎大石,不,生吞牙签!
住在宝安的李先生,去年大年三十的时候,突然肚子剧痛,作为一个坚强的潮汕人,大年三十怎么可以去看医生呢,多不吉利啊!
但是,肚子它没有这些忌讳,痛到忍无可忍时,李先生只能到当地医院看,医生说,是阑尾炎。
李先生不想在过年期间做手术,原因你懂的, 做了手术的话,今年一整年流年不利,各种坎坷,谁负责啊?
他选择了保守消炎,之后,肚子好像没那么痛了。
年后,李先生回到深圳,沉迷于工作,没想到,腰坏了。
和上次肚子的痛到炸裂不同,这次的腰痛,似乎来得温柔一些,隐隐约约,有种说不出来的不舒服。
李先生决定到附近的医院——南方医科大学深圳医院仔细查查。
盆腔惊现神秘条状物!
是不是它搞鬼?
腰部磁共振检查显示,李先生的腰大肌周围炎症。
至于是什么原因引起,真的是阑尾炎先动的手吗?不清楚,医生们百思不得其解,诊断相当困难。
李先生被收治在的南方医科大学深圳医院普外科,一边抗炎一边继续检查。
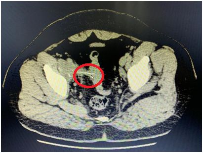
随后在CT和肠镜中,医生们惊奇地发现,李先生的盆腔里,有一个神秘的条!状!物!
它一头扎在肠内,另一头在肠外。

▲ CT内发现杆状物
那么,李先生之前的“阑尾炎”和后面的“腰疼”,是不是这个东西搞的鬼?

▲ 内镜下看到的杆状物
这个东西怎么进去的?
我不知道!
有没有吃过什么特别的东西?没有。
可能是什么异物你能想起来吗?不能。
……
对于医生的十万个为什么,李先生通通露出蜜汁微笑:别问我,我不知道。
好吧,到底是个啥东西,把它取出来遛一遛就知道了。
还有一个关键的问题是,如果不取出来,它可能会“一个人玩耍,使坏,到处走走停停”,引起隔壁邻居组织感染、出血、肠穿孔……
万一,我是说万一,它游荡到了重要脏器,像容嬷嬷那样扎上一针,会死的!
最后,南方医科大学深圳医院普外科的医生们,联合麻醉科、消化内科、手术室等一起,顺利将异物取出。
当这根条状物揭开它神秘的面纱时,在场所有的医生恍然大悟:原来是你啊,牙签!

▲ 手术取出来的牙签
而且,哪怕“进驻”了这么久,这根牙签依然保留着它原来的面目,两头尖,长度有 6.3cm!
啧啧,李先生,现在你能告诉我们,你是怎么把它生吞下去的了吗?我们表示相当好奇以及佩服啊……
好在,经过医护人员的精心治疗后,目前李先生已经完全康复,肚子和腰不疼了,顺利出院。
生吞牙签的几种可能……
虽然李先生一再表示,想不起来、不记得以及不清楚。
但是!负责任的小编,还是搜罗了生吞牙签的多种可能情况,总有一种,适合李先生。
喝水时,误吞牙签
广州的阿玲,一边看电视一边喝水,一不小心就着水,把牙签喝进去了。
她以为没啥大不了,最多就跟吃了个金针菇一样,SEE YOU TOMORROW呗。
没想到,牙签竟如此贪恋她舒适的体内,直到第19天,她才痛到进医院。

嘴里叼支牙签,一个咳嗽悲催了
东莞厚街的陈哥,喜欢叼支牙签,有一次,饭后剔牙,他一个咳嗽,竟然把整根牙签吞进去了!饿滴个神啊,足足7厘米!

堪称史上最坑人的咳嗽。医生动用胃镜,才把它取出来。
所以,嘴里喜欢叼支牙签,可能不会成为这条gai上最靓的仔,却有可能是最衰最痛的!
扔支牙签消气泡 一口全闷进去
杭州的王女士,为人够豪爽,泡吧喝啤酒从不用杯,整瓶拿起就吹。
那天,她往啤酒里扔了根牙签,网上说这样能消掉气泡。
过后她就忘了这事,感情深一口闷,啤酒下肚,牙签也下肚了。
半个月后,她乖乖到医院,如实告知医生,请医生取出牙签。
误吞牙签的大多是年轻人
医生说,生吞牙签这件事,年轻人干得多,大多是嘴边叼支牙签,或者喝酒、醉酒,与KTV等场所灯光昏暗看不清有关。
症状轻的还好,取出来就是了,最怕牙签仔到处游荡惹事。
不是吓唬你,广西有个男子就是这么丧,他也是喝酒时误吞牙签,但他点儿比较背,牙签居然一路戳到心脏里了,足足花了20万才拿回小命。
这一口闷的代价,真高啊。
总之,提醒各位,做好以下几点:
-
剔完牙马上扔掉牙签,不要留恋,又不贵,下次需要再来一支就是了;
-
喝水时集中注意力,不能喝的,千万别喝下去;
-
喝酒时,不要放入牙签等容易误吞的东西作为标志,毕竟喝错口水最多尴尬,但是吞了牙签,可大可小。
误吞异物怎么办?
其实,除了牙签,日常生活中,可以误吞的东西还有很多。
比如有异食癖的人,热衷于吃头发,海的味道她不一定知道,但是海飞丝的味道,她一定很清楚。

▲ 患者体内取出的带头发物质
还有,玩到嗨时,有人还会头脑一热,表演生吞荧光棒!真真是没眼看……

▲ 萤火棒所在位置
当然,还有小孩子不懂事,误吞硬币、纽扣、积木等等,在这里,也要提醒各位家长,看好自己的小朋友啊。
一般误吞异物,有百分之九十以上的可能会排出来,但是如果是比较大或者比较尖锐的东西,则除外。
千万不要存在侥幸心理,也不要过分相信坊间流传的“促排”方法,一定要及时到医院,交给医生处理。
万一误吞了异物,记住以下这些:
不能盲目地吃东西或者喝水,因为如果异物比较尖或大,可能会划伤甚至刺穿食道;
不能盲目催吐或导泻,因为催吐、导泻都会导致肠道蠕动加快,容易使尖锐的异物卡在胃肠道里甚至刺入更深;
不要盲目用土方法处理,若不及时取出,极有可能引发胃肠穿孔、大出血、腹腔感染等严重后果。
还是那一句,快扶朕去医院!!!
【版权声明】本平台属公益学习平台,转载系出于传递更多学习信息之目的,且已标明作者和出处,如不希望被传播的老师可与我们联系删除