由中华口腔医学会口腔修复工艺学专委会主办,上海交通大学医学院附属第九人民医院承办,成都贝施美生物科技有限公司协办的【2018口腔美学修复优秀病例展评】(以下简称“展评”)总决赛已于8月31日在2018全国口腔修复工艺学学术年会期间落下帷幕!本次展评共收到了来自国内各大高校、公立口腔医院、民营口腔诊所、义齿加工单位等众多优秀作品,下面就为大家分享2018年展评总冠军马静&雷驰汇报的病例——ASC全瓷角度基台一体冠进行种植前牙美学修复。
Asc全瓷角度基台一体冠进行种植前牙美学修复
案例概述:
4个月前因外伤拔除上11、21牙,未行活动,固定义齿修复,现因影响美观要求种植修复。11,21牙缺失,缺牙区牙龈状况良好,无溃疡红肿。厚龈型。口腔卫生一般,无明显牙龈退缩。CBCT示:水平向骨量不足,无明显垂直向骨缺损。
患者术前检查:

诊断:上牙列缺损

诊断:上牙列缺损
方案:
11、21种植修复或传统固定桥、可摘义齿修复,患者选择种植修复。
诊疗(医生):
外科手术:
做牙槽嵴顶切口及22牙远中附加切口,翻瓣,在11、21位置植入NobelActive 3.5mm*13mm种植体两颗,并在种植体颊侧骨缺损处植入Bio-Oss骨替代品,覆盖双层Bio-Gide胶原膜。愈合6个月后,连接愈合基台。




过渡义齿制作

翻制模型

制作诊断蜡型

过渡义齿制作完成

过渡义齿制作完成及试戴

过渡义齿制作完成及试戴

过渡义齿佩戴3个月后

过渡义齿佩戴3个月后
最终确定治疗方案:Asc全瓷角度基台一体冠
义齿制作(技师):

通过使用个性化转移杆进行取模,模型精确复制牙龈轮廓

通过使用个性化转移杆进行取模,模型精确复制牙龈轮廓

11,12 Asc角度基台全瓷一体冠蜡型

Asc角度基台数字化设计

Asc角度基台数字化设计








堆瓷、车瓷、个性化染色’
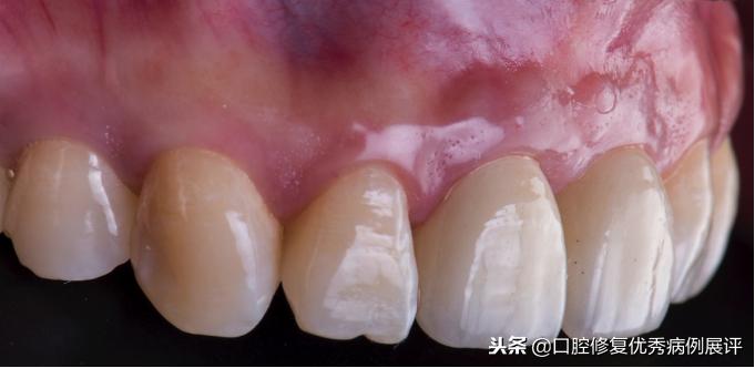
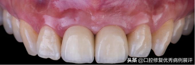
修复情况





案例总结:
1、为了达到良好的种植美学效果,过渡义齿制作中软组织的成形至关重要,穿龈轮廓应为凹面型,这样可以收窄穿龈轮廓,提升龈乳头高度0,5-1mm。并能提高牙龈乳头的厚度,保持软硬组织稳定。
2、通过 ASC 角度螺丝通道基台一体冠的义齿修复,位于切端的螺丝开口调整至舌侧,完成了螺丝固位的种植修复,避免了粘接固位可能出现的粘固剂残留等问题,获得了良好的美学效果。
【2018口腔美学修复优秀病例展评】
<甄美一等奖>
雷驰(医生)
单位:空军军医大学口腔医院种植科
马静(技师)
单位:空军军医大学口腔医院修复工艺科
本案更多详情请登录【2018口腔美学修复优秀病例展评】官网: www.drccbsm.com 。