来源:协和呼吸、呼吸界
病例介绍
主诉
56岁女性,咳嗽2年余,近期加重
现病史
2年余前无诱因出现咳嗽,胸部CT提示肺内结节、纵隔淋巴结增大,曾行支气管镜检查提示支气管黏膜结节,病理为上皮样肉芽肿,吸入糖皮质激素后症状好转;
近期咳嗽再次加重,伴活动后气短。病程中无咳痰、咯血、发热、盗汗、关节肿痛、体重下降。
既往史及个人史
既往史:否认心律失常、高血压、糖尿病、动脉粥样硬化等基础疾病。
个人史:不吸烟。
体格检查
体征平稳,SpO2 97%;
浅表淋巴结未及肿大,双肺未及干湿啰音,心律不齐,腹部无特殊;
无杵状指趾,下肢无明显水肿。
辅助检查
血常规、肝肾功能正常;
ESR 8mm/h,血T-SPOT.TB(-),血肿瘤标志物(-);
血管紧张素转化酶 (angiotensin converting enzyme,ACE):84 U/L (12~68 U/L) ;
肺功能检查: FEV1 1.84L(95.6%),FVC 2.26L( 98.1%), FEV1/FVC 81.64%, TLC 3.68L(89.5%), DLCO 92.9%;
支气管镜检查:右中叶支气管黏膜多发小结节。
BALF细胞学分类:巨噬细胞59%,淋巴细胞41%,中性粒细胞及嗜酸性粒细胞均为0;T细胞亚群:CD4+T细胞 /CD8+T细胞 3. 2 (正常值范围:0. 9~2. 0)。
毛刷涂片抗酸染色(-),未见瘤细胞。
右中叶黏膜结节病理:支气管黏膜下可见上皮样肉芽肿,未见坏死。
肺右下叶组织病理:肺组织及支气管黏膜显慢性炎。

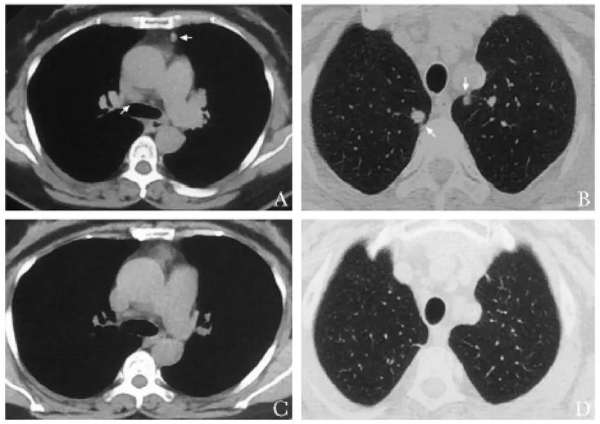
【图1】与两年前胸部CT(图A、图B)对比,本次就诊胸部CT(图C、图D),对比可见原箭头所示肺内结节明显缩小,纵隔淋巴结较前缩小。
心电图:频发室性早搏,偶发房性早搏伴短阵房性心动过速,ST-T 段下降。
超声心动图:左室射血分数51%,全心增大,以右心为著。二、三尖瓣关闭欠佳,少量返流。左室舒张功能减退,少量心包积液。
小总结:56岁女性肺内结节伴淋巴结肿大2年余,吸入糖皮质激素后好转,近期病情反复。胸部CT见图1,心电图可见室早、房早、房速及ST-T改变,超声心动图提示全心增大,二三尖瓣少量反流及少量心包积液……
诊治及转归
进一步检查
18F-FDG PET

【图2】18F-FDG PET提示全身多发高代谢影
13N-*水氨**PET门控心肌灌注显像

【图3】13N-*水氨**PET门控心肌灌注显像提示心肌对*水氨**摄取不均匀
最终诊断
结节病心脏受累
治疗及转归
口服泼尼松40 mg tid×3日后激素逐步减量,定期随访,患者病情稳定。
讨论
结节病是一种以非干酪样肉芽肿为特征的多系统受累性疾病,常见受累器官包括肺、心、眼、皮肤等,发病率约4. 7~64/100 000,女性多见。结节病为排除性诊断,在临床及影像学符合结节病且排除其他表现相似的疾病后,若组织病理学检查发现非干酪样肉芽肿则诊断即可成立。
肺结节病
对于肺结节病而言,支气管镜检查不仅有助于活检标本的采集,支气管肺泡灌洗检查也可用作一种辅助方式,CD8细胞数减少、CD4/CD8比值增高均支持结节病诊断。
作为一种自限性疾病,多数患者在2~5年内可自行缓解,30%~80%的患者无需治疗。医生可根据结节病患者重要器官不可逆损害或功能严重受损的风险、死亡风险、患者整体生活能力影响程度等决定是否需要立即治疗。
结节病心脏受累
在结节病患者中,约2%~5%存在心脏受累表现,因受累部位、程度以及疾病活动程度不一,
可有不同临床表现,包括传导阻滞、室性心律失常、充血性心衰、心包积液及猝死等。结节病心脏受累患者病情隐匿,有尸检研究显示其发生率可高达25% ~ 58%,但部分患者并无心脏受累临床表现。
诊断
心内膜活检是确诊心脏结节病的最准确方法,但该检查受到可及性及敏感性的限制。
2016年欧洲心脏节律协会修订了心脏结节病诊治共识,指出PET 显示心肌不均匀的代谢增高或浓聚、心脏磁共振成像(cardiac magnetic resonance,CMR)显示钆剂延迟强化、67镓心肌摄取(+)均可作为心脏结节病的临床诊断依据。
治疗
美国胸科学会/欧洲呼吸学会/世界结节病和其他肉芽肿疾病联合会关于结节病的共识指出,当结节病累及心脏、神经系统、肾脏、眼部,特别是局部治疗效果不佳时,可给予糖皮质激素治疗,推荐第1~3个月口服强的松20~40 mg /d,后以维持量10~15 mg /d继续治疗6~9个。
对于心脏结节病治疗,所需激素起始剂量常更大,如40~60mg /d。但尚无循证医学证据表明糖皮质激素可改善患者预后。
预后
心脏受累是结节病患者预后不良的危险因素,其临床表现无特异性,活检有创且阳性率低,特别是无症状的心脏结节病患者。
因此结节病患者应尽早进行系统性评估,以便给予早期诊断及干预,以改善患者的病情及预后。
本例小结
结节病是一种以非干酪样肉芽肿为特征的疾病,可有多个脏器、系统受累,在诊治过程中应给予充分、全面的系统性评估,协助治疗方案的制定;
心肌活检是心脏结节病诊断的金标准,但受限于操作的可及性、安全性和敏感性,心肌影像学检查有助于心脏受累的临床诊断。
#医师报超能团#
#超能健康团#