这是一位很小的患者,12岁,男。一年前就诊时,母亲说孩子视力不好,总是喜欢趴着看书,还有头晕现象,只是想问问有没有治疗坏习惯的办法。第四军医大学第一附属医院 西京医院贺晓生教授看后感觉事情并不简单,在贺教授的坚持下,母亲为孩子做了核磁检查。由于网络传说检查对孩子智力有影响,所以母亲一直坚决不给孩子进一步检查,(网络误传有时候真耽误事!)其实所有事请必须辩证的来看待,该检查的时候绝不拖延。

贺晓生教授与孩子们在一起
贺教授检查,发现孩子大大的眼睛,红红的脸颊,亮黑但显得较大的瞳仁。孩子头颅MRI增强扫描显示:双侧视神经增粗、视交叉成结节状。诊断:视神经胶质瘤。是神经胶质瘤因该如何治疗呢?!


贺晓生教授的手术方案:少部分切除、明确诊断。
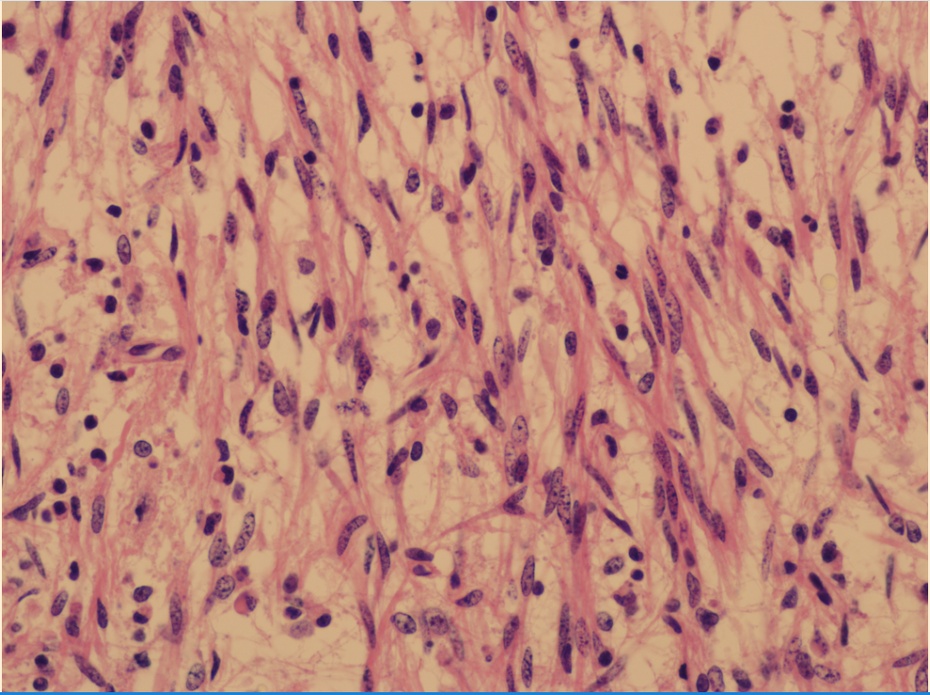
术后病理显示:视神经毛细胞型胶质瘤

术后随访情况:视力仍差,近距离视物,头晕消失。
少儿视神经胶质瘤分析:本病相对少见。瘤体可为单侧、双侧,可累及视交叉,甚至视束、视放射。患儿进行性视力减退,瞳孔反射性扩大,故患儿瞳仁多较大显得又黑又亮。随瘤体增大,视丘下部受累可出现多饮多尿表现,脑室系统堵塞可伴发脑积水。瘤细胞以毛细胞型为多,发展缓慢。本瘤对化疗和放疗均不敏感。彻底的切除肿瘤,常会造成视力完全丧失,故不足以取;部分活检以明确诊断,是通常认可的办法。实际上,目前对视神经胶质瘤尚缺乏缺乏有效的保守型治疗措施。我们祈祷这些患儿随着医疗科学的进步能有一天获得视力的重生。 #挑战30天在头条写日记#