李奶奶今年82岁了,发现肝脏囊性肿物3年了,当时考虑年龄大了,而且李奶奶自己也没有感觉到哪里不舒服,所以也就没有治疗,两个月前李奶奶觉得上腹胀,到医院一检查,发现那个囊肿一下子长大了很多,在医生的建议下,李奶奶家属决定抽出囊肿的积液,这样做可以让李奶奶的腹胀减轻,而且抽出积液后打进去酒精可以破坏囊壁减少积液的形成。
在彩超引导下,李奶奶完成了穿刺抽液注入酒精的手术,手术中抽出的是胶冻状的液体,这个与平时肝囊肿的淡黄色的液体不相符,李奶奶抽完以后感觉舒服多了,腹胀明显减轻了。

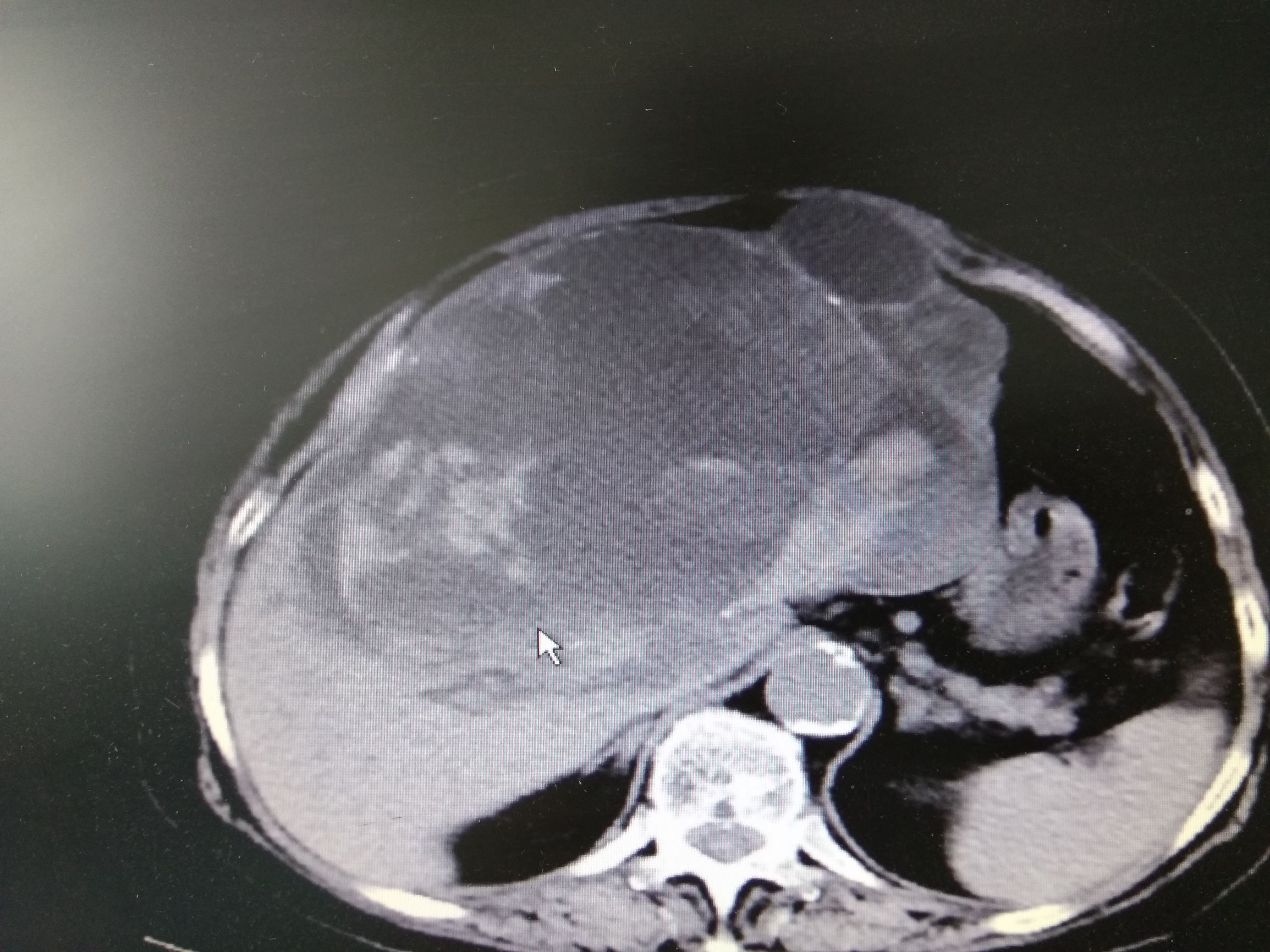
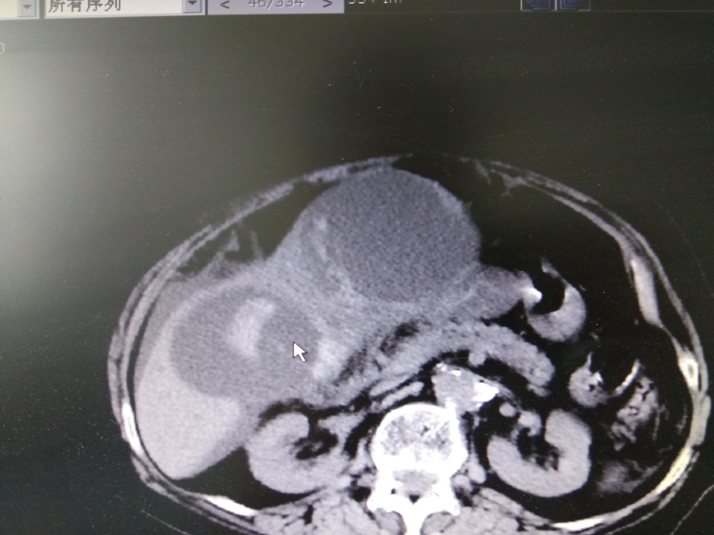
可是过了不到一个月李奶奶再次出现了腹胀,并且伴有发热,李奶奶再次来到了医院,医生复查CT,CT结果囊肿又变大了,而且囊肿里面有高密度,医生解释那有可能是出血,于是李奶奶再次做了穿刺抽液,抽出来的是血性混浊的液体,但是过了几天再次复查积液又多了,而且发热症状不缓解,这时候医生开始怀疑病人的疾病可能不是简单的肝囊肿,做了肝脏强化CT检查,并且检查了肿瘤标记物,CA199,CEA升高,在查阅很多文献,以及请相关专家会诊以后考虑李奶奶这个病就是肝脏囊腺癌,是一种比较少见的肝脏癌症。
因为李奶奶年纪比较大,所以医生还是不建议手术治疗,建议间断的抽出液体减轻症状。

那么我们认识一下肝脏囊腺癌这个病。
胆管囊腺癌为一种少见的原发于肝脏的囊性恶性肿瘤。一般认为是源于肝内胆管上皮细胞的囊腺瘤恶变引起。胆管囊腺癌呈囊状,囊内壁被覆黏液上皮,上皮常形成大小不等的乳头状赘生物突起,少数有点状钙化灶。囊液为淡黄色或棕黄色黏性胶冻样液体。当伴有出血和感染时,囊液可呈血性或脓性。囊腺癌以单发性多囊腔为特征,偶为多发性单囊腔。光镜检查囊壁内衬以恶变的胆管上皮细胞,间隔为纤维组织。
临床上最容易把囊腺癌误诊为肝囊肿,以及肝脏囊腺瘤,肝囊肿是肝脏比较常见的良性疾病,而肝囊腺瘤比较少见,通常为女性发病,而且有恶变的几率,临床上一般通过强化CT检查以及肿瘤标记物检查可以鉴别诊断,如果怀疑肝脏囊腺癌可以行彩超引导下穿刺病理检查,可以明确诊断。