接上篇《系统性红斑狼疮的消化系统问题(上)》
六,小肠与结肠问题
1,蛋白丢失性肠病
一般认为,SLE病人群并不常见蛋白丢失性肠病(Protein-losing enteropathy,PLE)。但笔者认为,这肯定存在相当漏诊。这是因为既往认为,蛋白丢失肠病(PLE)会有腹泻等症状。
但来自中国香港的48例SLE相关的PLE研究证实,出现胃肠道症状的比率明显偏低:
- 腹泻:19%
- 腹痛:15%
- 恶心/呕吐:4%
该研究的PLE诊断的可靠性较高。其中42例有锝99m标记的白蛋白闪烁证实诊断;而另外2例有粪便的α1抗胰蛋白酶清除率增高的证据。
因此,当病人出现显著的低蛋白血症,而尿蛋白量并不高的时候,应该考虑PLE可能。而不能说病人无腹泻、恶心呕吐等症状就排除了这个可能。
在诊断上,有两个方法可以协助确诊PLE:
①测定α1抗胰蛋白酶清除率:
采集24小时粪便样本以及血清样本,以便同时测定血浆α1抗胰蛋白酶浓度。
α1抗胰蛋白酶清除率=(粪便量)×(粪便中α1抗胰蛋白酶浓度)÷(血清α1抗胰蛋白酶浓度)
但是,腹泻会轻度增加α1抗胰蛋白酶清除率。因此在有腹泻情况下,确诊PLE需要更高的数值。另外,肠道出血会显著升高α1抗胰蛋白酶清除率。
②放射性标记大分子的排泄率
使用51Cr标记白蛋白、碘125标记白蛋白、99mTc标记转铁蛋白。然后,观察这些大分子蛋白从胃肠道排泄出去。
该类方法的可靠性更好。但是临床上不太常用。
相当学者认为,SLE相关的PLE对激素治疗反应良好。不过要注意,此时不宜口服糖皮质激素,而应选择静脉滴注。但也有学者认为,单纯用激素是不够好的。应该要联合环磷酰胺等药物。
由于缺乏高质量的随机对照研究数据,目前还不能确定SLE相关的PLE的最佳治疗策略。笔者的个人经验支持联合环磷酰胺。
2,肠假性梗阻
SLE病人也可能发生肠假性梗阻(Intestinal pseudo-obstruction,IPO)。
肠假性梗阻(IPO)的特征是小肠或大肠存在机械性梗阻的症状和体征,但却不存在阻碍肠内容物流动的解剖学病变。
IPO患者表现为腹痛、腹胀感和腹部膨胀。症状可能呈急性、复发性或慢性。SLE相关假性肠梗阻的发病机制仍不明确,但可能的机制包括免疫复合物沉积于平滑肌细胞,或血管炎导致慢性缺血和动力减弱。
治疗上跟其他重症狼疮没有明显区分。
3,肠血管和肠系膜血管炎
SLE相关的肠血管和肠系膜血管炎(Intestinal and Mesenteric Vasculitis,LMV)是一个罕见但致命的并发症。
SLE相关的LMV的表现有:餐后腹痛、食物厌恶(food aversion)、体重减轻、恶心、呕吐和腹泻
普通X线摄影检查可提示:节段性肠管扩张、气液平面、肠道的“拇纹征”或狭窄以及肠假性梗阻表现。
LMV可以是IPO的病理基础之一,但IPO也可能有单纯针对平滑肌的病理机制。LMV的治疗跟IPO类似。

一个SLE病人发生了IPO,参考2
七,腹膜炎和腹水
SLE单纯引起腹膜炎是很罕见的。通常来说,SLE往往引起多个问题,腹膜炎只是其中之一。
但是,腹膜炎可能是导致SLE病人腹痛的重要因素之一。少数病人可能会因为误诊为结核性腹膜炎等。毕竟后者在中国这样的结核大国更为常见。
SLE病人腹水可以是腹膜炎相关,也可以是低蛋白血症相关的,甚或者两者共同兼得。
另外,SLE病人也可能伴随结核病复燃,这让诊断和治疗变得尤为困难。
笔者强调每个SLE病人应评估潜伏性结核。对于要选择大量激素、免疫*制剂抑**治疗的SLE病人,预防性抗结核治疗可能是有益的。不过,这个观点需要随机对照研究做评估。
八,肝脏病变
狼疮性肝炎是否存在?这本身变得有争议了。其争议来源于我们已经定义了自身免疫性肝炎( autoimmune hepatitis,AIH )。
可以肯定的是,SLE病人可以合并AIH。AIH存在特定的自身抗体,比如:
- 抗平滑肌抗体(anti-smooth muscle antibody, ASMA)、
- 抗肌动蛋白抗体(anti-actin antibody, AAA)
- 抗可溶性肝抗原/肝胰抗原(soluble liver antigen/liver-pancreas antigen, SLA/LP)抗体
- 抗肝肾微粒体-1(liver-kidney microsomal-1, LKM-1)抗体
- 抗肝肾微粒体-3(liver-kidney microsomal-3, LKM-3)抗体
- 抗肝细胞质抗体-1(anti-liver cytosol antibody-1, ALC-1)
其中,AAA跟ASMA针对的是同一个抗原。酶联免疫吸附试验(enzyme-linked immunosorbent assay, ELISA)检测AAA(IgG抗F肌动蛋白抗体)的敏感性和特异性可能更好。
AIH是可以单独存在的。即主要表现肝损伤,合并较少合并有其他脏器损伤。而出现多个脏器损伤时,应诊断SLE合并AIH。
AIH的讨论将择期讨论。本篇不做详细讨论。
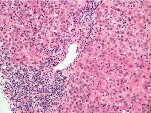
抛开特定抗体相关的AIH,单纯的狼疮性肝炎可能是存在的。这些肝损伤病人排除了AIH,而且还有抗核糖体P抗体检测常呈阳性,活检常发现汇管区周围淋巴细胞浸润伴孤立性坏死区域。但是,尚未确定抗核糖体P抗体的致病性。这让狼疮性肝炎充满了争议。
狼疮性肝炎对激素治疗反应良好,其治疗并无特殊之处。这点让狼疮性肝炎的诊断显得没那么迫切。

SLE患者的肝活检显示活动性界面性肝炎伴显著的门静脉淋巴浆细胞浸润,参考2
参考资料:
1, 《 Dubois’ Lupus Erythematosus and Related Syndromes》( 第9 版)
2,《 Systemic Lupus Erythematosus: Basic, Applied and Clinical Aspects 》(第2版)
3,Uptodate 临床顾问