点击「神经介入在线」可快速关注
作者:刘煜敏、梅斌、李华钢、孙冬
单位:武汉大学中南医院神经内科
病例详情
病情信息
男性,44岁。
因“突发双下肢无力2.5小时,意识障碍1小时 ”急诊入院。
入院查体:BP140/95 mmHg,嗜睡,双侧瞳孔等大等圆,D=3.0 mm,对光反射灵敏,双眼向上凝视,未见眼震,双侧额纹、鼻唇沟对称,伸舌不配合,颈软,双上肢肌力3级,双下肢坠落试验阳性,肌张力正常,腱反射等称,双下肢病理征阳性,深浅感觉、共济运动无法配合, NIHSS评分26分。
急诊辅助检查:立即启动卒中绿色通道,完善头颅CT+CTA检查、血常规、凝血功能、血生化及心电图检查。
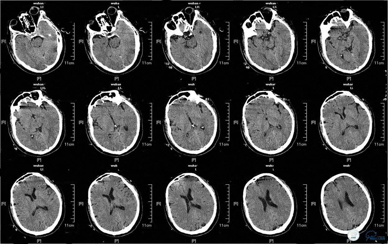
▼ 急诊CT显示无出血及新发的低密度病灶。

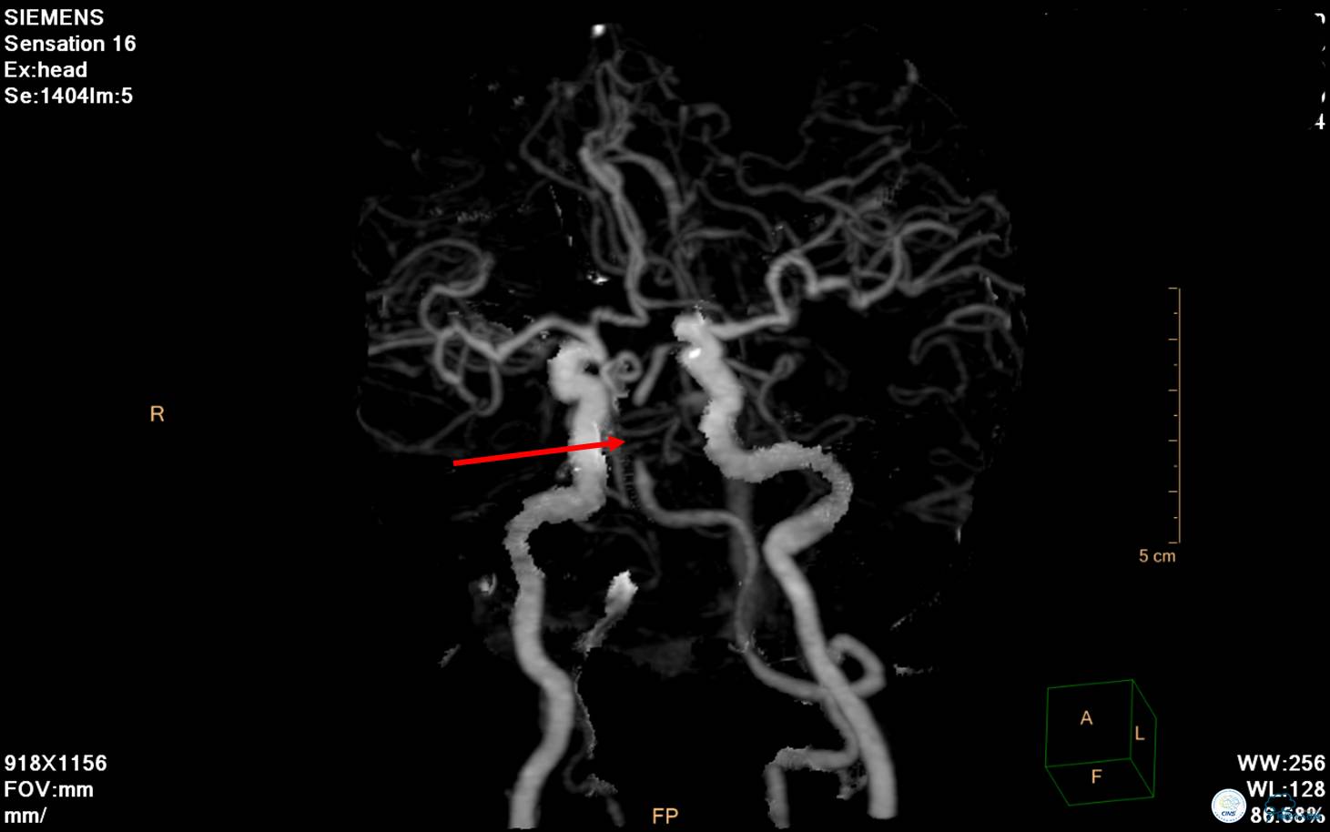
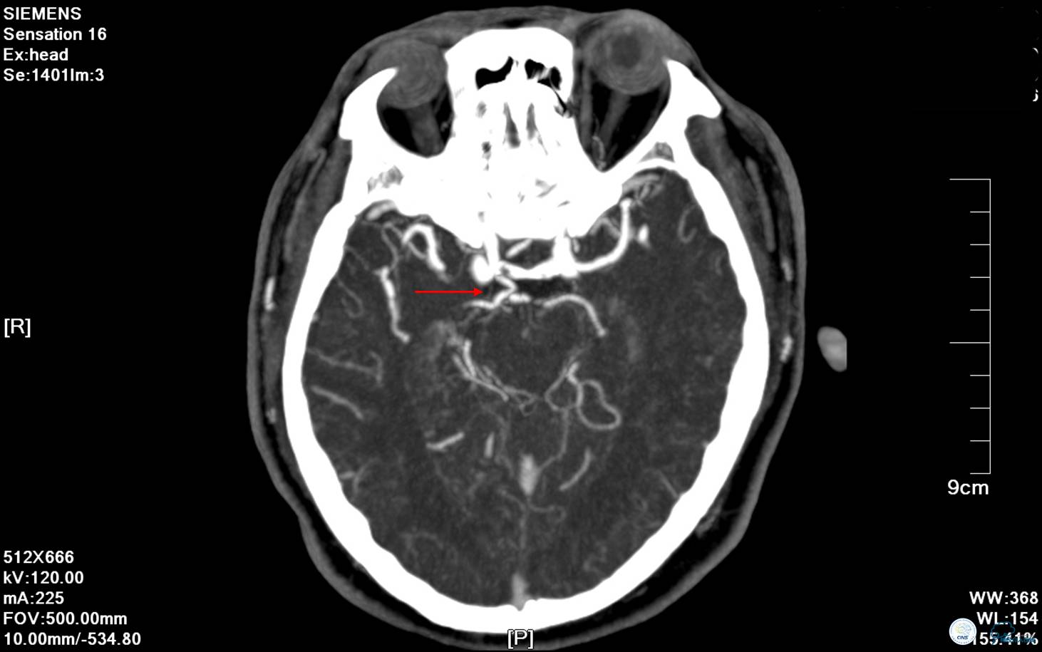
▼ CTA提示基底动脉中段闭塞。

▼ CTA:右侧后交通动脉开放、左侧大脑后P2段闭塞。

诊断及治疗计划
定位:脑干上行网状激活系统、双侧锥体束、中脑。
定性:急性缺血性卒中
综合诊断:大动脉粥样硬化性脑梗死(基底动脉闭塞)
治疗方案:
1. 签字同意后立即予以爱通立0.9 mg/kg,总量的10%在2 min静推,其余剂量在1小时静脉泵入(DNT=40 min)。
2. 向家属沟通下一步机械取栓的治疗方案,同时护送患者入导管室。
参考文献:
中国急性缺血性卒中诊治指南2014. 中华神经科杂志,2015,48(04):246-257
中国急性缺血性脑卒中早期血管内介入诊疗指南. 中华神经科杂志,2015,5
▼DSA:BA重度狭窄、右侧PCA开放。

Q:静脉溶栓后存在重度狭窄,是否需要急诊血管内治疗?
》2014年中国急性缺血性卒中诊治指南:紧急动脉支架和血管成型术的获益尚未证实,应限于临床试验的环境下使用(Ⅲ级推荐、C级证据)。
》2013年AHA指南:颅内动脉急诊支架仅限于临床研究(IIb,C)。
》仅有一项小型单中心研究提示:未能接受静脉溶栓的急性大动脉闭塞的患者,接受急诊支架(wingspan)植入可获得30天时的良好预后。
参考文献:
Stent-Assisted Recanalization in Acute Ischemic stroke. Stroke.2009;40:3552-6.
》该患者静脉溶栓及DSA评估结束后情况
查体:意识清醒,双侧瞳孔等大等圆,D=3.0 mm,对光反射灵敏,眼球活动可,未见眼震,双侧额纹、鼻唇沟对称,伸舌居中,颈软,双上肢肌力4级,双下肢肌力3级,肌张力正常,腱反射等称,双下肢病理征阳性,深浅感觉、共济运动无法配合完成。
NIHSS评分:6分。
DSA示TICI分级达到2b级(造影剂完全充盈,包括丘脑的供血,但排空延迟)。
因此,暂不行急诊血管成形术,择期行支架置入术。
参考文献:中国急性缺血性卒中诊治指南2014. 中华神经科杂志,2015,48(04):246-257
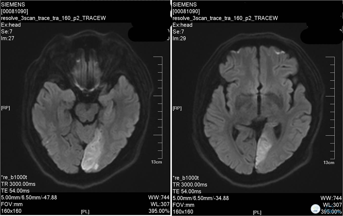
▼发病10小时后行MR检查时患者再次出现意识障碍加重。

▼DSA显示基底动脉再次闭塞。

▼支架取栓(Solitaire 6×30)后:血流恢复,仍存在严重狭窄。

Q:支架取栓后仍存在严重狭窄该如何处理?
》根据中国卒中协会2015年指南:机械取栓后,再通血管存在显著的狭窄,建议密切观察,如TICI分级<2b级,建议行血管成形术(球囊扩张或支架置入)(IIb类推荐,B级证据)。
》该患者反复出现原位狭窄和闭塞,经讨论后决定行球囊扩张术+支架置入术。
▼球囊扩张后:狭窄明显改善。

▼支架解脱后:出现支架内急性血栓形成。

Q:支架内急性血栓的处理?
》2015年《缺血性脑血管病介入治疗抗血小板策略中国专家共识》:术中出现急性血栓形成,可使用替罗非班,起始推注剂量为10ug/kg,在5min内经动脉导管推注完毕,然后以0.15ug·kg-1·min-1的速率静脉维持16—24小时。
》该患者在10min内两次予以替罗非班0.5mg缓慢推注,但前向血流仍不能改善。
参考文献:中华医学杂志,2015,95(11):803-809
▼再次球囊扩张:球囊扩张后,狭窄改善,术中等待30min后再次造影显示血管未再狭窄或闭塞,手术结束。

术后围手术期管理
术后使用替罗非班持续泵入维持24小时;
强化降脂治疗;
溶栓后24小时开始使用双重抗血小板聚集;
为避免高灌注综合征控制血压在正常范围(BP 130/80 mmHg左右);
急性大动脉闭塞脑梗死的诊治流程
