打赢血运重建攻坚战——淄博市中心医院西院心血管内科一病区成功完成我市首例搭桥术后无残端闭塞静脉桥血管介入治疗
近日,淄博市中心医院西院心血管内科一病区主任吴宗虎团队成功完成自开口完全闭塞静脉桥血管介入治疗手术一例。本次手术历时3个半小时,术后造影静脉桥血管血流通畅,患者无明显不适,手术圆满成功。
● 患者基本情况
患者女,69岁,因“发作性胸痛约6个月,再发1周”入院,曾先后两次于当地医院行“冠脉支架植入术”治疗,后就诊市中心医院,急症冠脉造影后示左主干支架内再狭窄,遂转心外科行左乳内动脉(2.0mm)-前降支(1.50mm)吻合、升主动脉-大隐静脉(3.0mm)-钝缘支(1.50mm)-后降支(1.50mm)吻合搭桥治疗。1周前患者再次出现胸痛不适,入市中心医院就诊,诊断为非ST段抬高型心肌梗死。再次行冠脉造影示:左主干内可见支架影,自开口完全闭塞;前降支(LAD)开口至中段可见支架影,全程无显影;回旋支(LCX)未见显影;右冠脉全程弥漫性狭窄,狭窄30-50%;PDA(后降支)开口狭窄约50%,TIMI血流3级;PLA(左室后支)经静脉桥血管向LCX提供少量侧枝循环;LIMA桥通畅,LAD远段TIMI血流3级。静脉桥自开口完全闭塞。
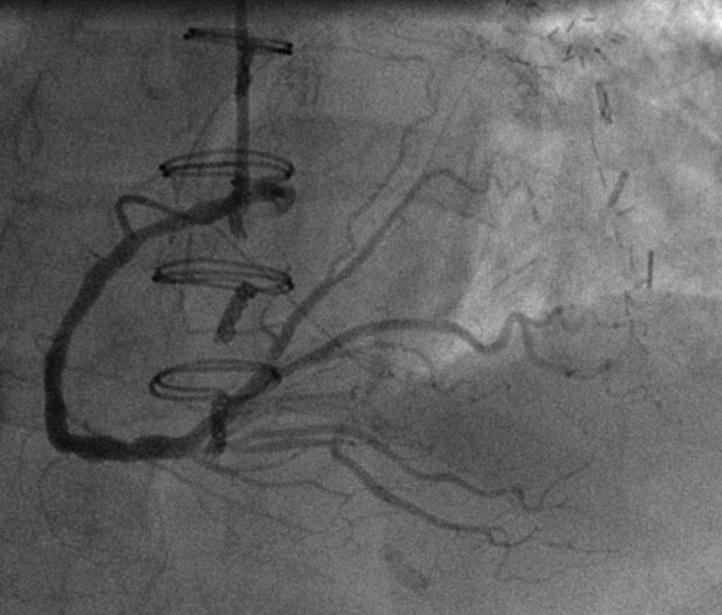
冠脉造影及桥血管造影图像

PLA经静脉桥血管向LCX提供少量侧枝循环

术中反复寻找造影,左主干及静脉桥血管开口闭塞

LIMA桥通畅,LAD远段TIMI血流3级,中段逆向血流显影可
静脉桥血管病变介入治疗(PCI)过程中远端血栓栓塞所致的心肌梗死(MI)、死亡等心脏不良事件(MACE)发生率显著增加。更困难的是根据常规的桥血管造影很难准确预测静脉桥血管病变的血栓负荷。由于常常低估静脉桥血管病变的血栓负荷,介入治疗过程中远端血栓栓塞的相关防治措施不足,并且患者常多合并高龄、多支病变、既往心肌梗死等高危临床特征,一旦发生上述并发症,常导致心肌梗死、死亡等严重后果。因此,静脉桥血管病变属于高危病变。本例患者静脉桥血管自开口完全闭塞,入口不明确,病变程度不明确,介入治疗技术难度大、即刻成功率低,死亡风险极高。
西院心血管内科一病区PCI团队对该病例进行术前全面讨论后,考虑虽然 静脉桥CTO(慢性闭塞病变)病变高危、手术难度大,并且术后再闭塞和再狭窄发生率较高,但PCI治疗是当前患者恢复血运重建的唯一可行可试方案 ,经与患者及其家属充分交代病情并取得同意后,制定详细手术方案。最终科主任吴宗虎、主治医师王希仟、医师周宸旭经过不懈的努力,经过逆向送入导丝,借助抓捕器等先进器械,术中即刻开通静脉桥血管,恢复了3级血流,守住了患者血运重建最后的堡垒,为患者带来极大获益。

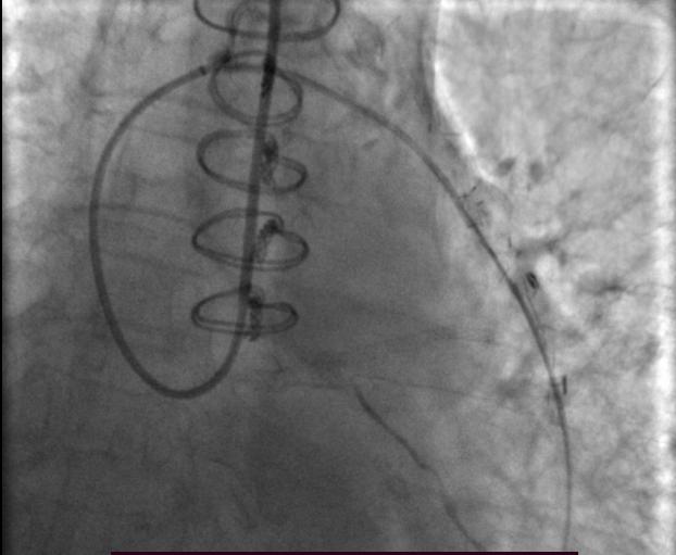
圈套器成功抓捕RG3导丝

静脉桥恢复TIMI 3级血流,并可见向LCX供血,显影良好
目前随着我国人口老龄化程度增高,冠心病患者数量逐年增多,且PCI、冠脉搭桥患者也越来越多,随之而来的术后冠脉、桥血管再狭窄甚至闭塞逐渐增加。冠脉介入治疗是目前有效的冠心病治疗手段。市中心医院心血管内科将紧跟国际、国内介入治疗技术步伐,不断进取,为广大冠心病患者提供优质服务。