一、定义
慢性鼻-鼻窦炎(CRS)是指鼻与鼻窦粘膜的慢性炎症,鼻部症状持续超过12周,症状未完全缓解甚至加重。慢性鼻窦炎较急性者多见,常为多个鼻窦同时受累。慢性鼻窦炎影响病患的生活质量,加重患者的呼吸道感染症状,严重者有引起颅眼肺并发症的可能,导致视力改变,甚至感染加重而死亡。但在药物、手术治疗下大多数慢性鼻窦炎病人可以治愈,少数伴过敏、哮喘、阿司匹林不耐受等特异体质的患者,疾病常反复发作。
二、分类
1、慢性鼻-鼻窦炎(不伴鼻息肉)CRSsNP
2、慢性鼻-鼻窦炎(伴有鼻息肉)CRSwNP
- 慢性鼻窦炎分成伴有或者不伴有鼻息肉两个类型,伴有和不伴有鼻息肉的慢性鼻-鼻窦炎的病理本质均是鼻腔鼻窦粘膜的慢性炎症,目前尚没有证据表明鼻窦炎和鼻息肉是两个不同疾病。但从临床治疗的角度考虑,其治疗的策略有所不同。
(一)单纯型慢性鼻窦炎
1期:单发鼻窦炎;
2期:多发鼻窦炎;
3期:全组鼻窦炎。
(二)慢性鼻窦炎伴鼻息肉
1期:单发鼻窦炎伴单发性鼻息肉;
2期:多发鼻窦炎伴多发性鼻息肉;
3期:全组鼻窦炎伴多发性鼻息肉。
(三)多发性鼻窦炎
多发性鼻窦炎或全组鼻窦炎伴多发性、 复发性鼻息肉和或筛窦骨质增生。

三、病因
1、急性鼻窦炎
多因对急性鼻窦炎治疗不当,或对其未予彻底治疗以致反复发作,迁延不愈,使之转为慢性。此为本病之首要病因。
2、阻塞性病因
鼻腔内的阻塞性疾病,如鼻息肉、鼻甲肥大、鼻腔结石、鼻中隔偏曲、鼻腔肿瘤、鼻腔填塞等阻塞鼻腔鼻窦通气引流,是本病的重要原因。
3、致病菌毒力强
某些毒力较强的致病菌,如患猩红热时的乙型溶血性链球菌,其所致的急性鼻窦炎,极易转为慢性。
4、牙源性感染
因上列磨牙的牙根与上颌窦底部毗邻,若牙疾未获根治,易成为牙源性慢性上颌窦炎。
5、外伤和异物
如外伤骨折、异物存留或血块感染等,导致慢性鼻窦炎。
6、鼻窦解剖因素
由于各个鼻窦特殊的或异常的解剖构造,不利于通气引流,亦为不可忽略的自身因素。
7、全身性因素
包括各种慢性疾病、营养不良、疲劳过度而导致的机体抵抗力低下。同时,还有各种变应性因素及支气管扩张等病因。

三、诊断
(一)症状
1、主要症状;鼻塞,粘脓性鼻涕。
2、次要症状:头面部胀痛,嗅觉减退或丧失,视觉功能障碍。
3、全身症状:精神不振,易倦,头痛头昏,记忆力下降,注意力不集中。
诊断时以上两种或两种以上相关症状为依据,其中主要症状中鼻塞和黏脓性鼻涕必具其一。
(二)检查
1、内镜检查:来源于中鼻道、嗅裂的黏脓性分泌物,中鼻道粘膜充血、水肿或有鼻息肉。
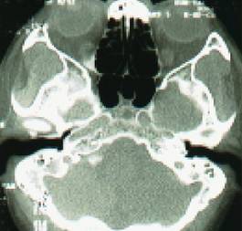
2、影像学检查:CT扫描显示窦口鼻道复合体或鼻窦粘膜病变。

- 询问病史
- 鼻腔检查:前鼻镜、鼻内窥镜。

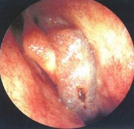
图1中鼻道息肉

图2 治疗后
- 口腔和咽部检査。
- 副鼻窦X线检查,CT(冠状位、轴位)检查已常规应用。
- 上颌窦穿刺冲洗。
- 鼻窦A超检查。

正常鼻窦CT

鼻窦炎轴位CT


鼻窦炎冠状CT
四、评估
(一)主观病情评估:
采用视觉模拟量表VAS (患者对病情严重程度的主观评价,如鼻塞、头痛、面部胀痛感等)轻度:0-3,中度:3-7,重度>7-10.VAS>5,则表示生活质量受到影响。
(二)客观病情评估:
1、对鼻腔和鼻窦解剖学变异的评价。
2、对感染和变应性因素的评价。
3、对伴发疾病和慢性鼻窦炎相互关联的评价。
五、药物治疗
1、抗炎药物
2、抗菌药物
3、粘液溶解促排剂
4、抗过敏药物
5、中药
6、减充血剂
7、鼻腔冲洗
(一)抗炎药物
1、糖皮质激素
①鼻喷激素:抗炎、抗水肿作用,疗程12周。
②全身应用:严重、复发性鼻息肉患者可短期低剂量口服。
药物参考:氟替卡松喷鼻剂、糠酸莫米松、布地奈德鼻*剂喷**、曲安奈德鼻喷雾剂。
(二)抗菌药物
1、14环大环内酯类:具有抗炎、免疫调节作用。
2、推荐药物:罗红霉素、红霉素、克拉霉素
3、用于常规药物治疗不佳、无嗜酸性粒细胞增多、IgE值正常、变应原检测阴性的非变应性慢性鼻-鼻窦炎的患者,常规剂量的1/2,不少于12周。
注:鼻内镜手术后不常规使用,但如术后4周持续粘膜充血、肿胀、脓性分泌物。可考虑使用。
(三)细菌感染-抗生素
1、CRS和健康对照组鼻分泌物细菌培养的结果没有显著差异。
2、没有明确证据表明短期抗生素治疗CRS的疗效。
3、12周以上的小剂量长期大环内酯类药物治疗,主要针对目标是炎症而非细菌感染。
4、感染:细菌的植入、定植、繁殖(急性)-抗菌
5、炎症:炎症细胞因子介导的炎症反应(慢性)-抗炎
(四)粘液溶解促排剂
1、稀化鼻腔和鼻窦分泌物
2、改善鼻粘膜纤毛活性
3、促进粘液排出有助于鼻腔、鼻窦生理功能恢复
4、推荐药物:桉柠蒎肠溶胶囊,标准桃金娘肠溶胶囊。
(五)抗过敏药物
1、适用于:伴有变应性鼻炎和(或)哮喘患者
2、口服或鼻喷
3、疗程不少于4周
4、推荐药物:抗组胺药物:西替利嗪、枸地氯雷他定、白三烯拮抗剂:孟鲁司特钠咀嚼片。
(六)中成药
1、辅助治疗,辨证施治
2、药物:鼻渊通窍颗粒(脓性分泌物较多者)、辛夷鼻炎丸(鼻塞较重者)、玉屏风散(合并过敏性鼻炎,缓解期)
(七)减充血剂
1、原则上不推荐使用,持续性严重鼻塞患者可短期应用,疗程<7天。
2、推荐药物:赛洛唑啉滴鼻液、呋嘛滴鼻液。
(八)鼻腔冲洗
1、治疗慢性鼻-鼻窦炎的有效手段
2、鼻内镜手术后常规的辅助治疗手段
3、鼻腔冲洗的作用机制
①提高粘膜纤毛功能
纤毛功能的正常有赖于粘液毯质和量的正常
②控制炎症介质、减轻粘膜水肿
减低组胺、白三烯C4、前列腺素D2浓度
③物理或机械清除作用
六、手术治疗
(一)手术适应症:
1、影响窦口鼻道复合体或各鼻窦引流的明显解剖学异常;
2、影响窦口鼻道复合体或各鼻窦引流的息肉;
3、经药物治疗、症状改善不明显;
4、出现颅、眶等并发症;
5、对儿童慢性鼻-鼻窦炎手术适应证严格限制,12岁以下原则上不宜手术。
围手术期处理 ①
原则:以手术为中心包括手术前1-2周至手术后3-6个月的用药策略及处理原则
1、手术前期(7-14天):减轻鼻腔和鼻窦粘膜炎性反应,控制全身相关疾病。
2、手术期:合理、微创的鼻-鼻窦手术,主要包括结构修正,病变清除、引流通畅、粘膜保留。
围手术期处理 ②
3、手术后处理:抗炎、加快术腔清洁、减少术腔粘连、减少术腔囊泡和息肉形成、保持窦口开放引流、加速粘膜上皮化等。
注意:手术后综合药物治疗时间不少于12周,术后局部清理时间为:术后1周、术后3周、术后两月、术后四月,追踪复查半年。
(二)鼻窦内镜手术
1、FESS术
2、开放三个窦口:上颌窦口、额窦口、蝶窦口
3、切除一组气房:筛窦气房
4、辨认两个边界:纸样板、筛顶(前颅底)
5、勿伤一个神经两个血管:视神经、筛前动脉、颈内动脉
七、疗效评价
(一)评估方法
1、主观评估:症状改善
2、CT影像学量化评估:窦口开放
3、鼻内镜检查量化评估:粘膜上皮化
(二)评估时机
1、药物治疗:近期3个月,远期:12个月
2、手术治疗:近期12个月,远期:36个月
① 病情完全控制:症状完全消退、VAS总评分0分,手术后鼻内镜检查窦口开放良好,窦腔粘膜开放良好,窦腔粘膜水肿消失,无粘性或黏脓性分泌物,上皮化良好。
② 病情部分控制:症状明显改善但未完全消失,VAS评分减少3分或以上,鼻内镜检查窦口部分区域水肿,肥厚或肉芽组织形成,有少量黏性或黏脓性分泌物。
③ 病情未控制:症状无明显改善,VAS总评分同术前,手术后鼻内镜检查发现窦腔粘膜充血水肿,息肉组织形成,或结缔组织增生,较广泛粘连,窦口狭窄或闭锁,有黏性或黏脓性分泌物。