
今天来讲讲血栓栓塞。

什么是血栓栓塞
血栓栓塞(Arterial Thromboembolism,ATE)是由主动脉内的血栓或血凝块引起的,并导致该段主动脉的组织严重缺血。
血栓栓塞是猫咪心肌病(包括限制性、扩张性、肥厚性)最具破坏性的并发症之一。约有95%以上的血栓栓塞和猫晚期心脏病有关,并伴有左侧心力衰竭。另一种相关疾病是肿瘤(如肺癌)。不管原因是什么,血栓栓塞可直接致命。


血栓栓塞的病因和症状
血栓栓塞目前尚未有确切的病因,但理论上讲,异常的血流淤滞和高凝状态会促进左心房内血栓的形成,然后血栓凝块会栓塞到主动脉的远端。
最常见的栓塞部位是尾主动脉分叉处,可导致后腿缺血性损伤,并引起疼痛、步态异常和瘫痪。其他不常见的栓塞部位还有前腿、肾脏、胃肠或大脑。
血栓造成的局部缺血会快速破坏神经细胞,5-6小时内将会变成不可逆的伤害。


发生后肢血栓栓塞和前肢血栓栓塞的猫咪
图片来自《Small Animal Emergency
and Critical Care》
狗狗不太容易发生血栓栓塞,并且和心脏病关系不大,一般和肿瘤、败血症、蛋白丢失性肾病或其他高凝状态有关。
从统计上讲:
中老年雄性猫咪易发生血栓栓塞;
发病年龄在1-20岁之间,中位年龄在7-10岁之间;
公猫更易发病。
布偶、缅因易发病。
观察到这些情况,一定要带猫咪去医院检查:
左心房增大或超声心动图检查发现异常。
急性发作性麻痹和轻微瘫痪、疼痛,通常是后腿瘫痪,两条后腿受影响情况相同,但偶尔会不一样。
跛行和步态异常。
呼吸急促或呼吸窘迫。
因疼痛叫唤或焦虑。
临床检查会发现:
股动脉搏动减弱或消失
腓肠肌栓塞数小时后变硬
脚垫和指甲肉肉发白或发紫

受血栓影响,脚垫发紫
图片来自《Small Animal Emergency
and Critical Care》
触诊受影响的肢体温度低
呼吸急促或呼吸窘迫,有时候会由于缺血性腿损伤引发的疼痛或因充血性心力衰竭导致的开口呼吸。
可能有心律失常,这和高钾血症有关
可能有心脏杂音或奔马音,也可能没有
体温过低

诊断
一般情况下,仅通过体格检查即可诊断出血栓栓塞,进一步诊断可以更好的评估相关心脏病的严重程度和性质,以及血栓栓塞的全身程度,可以帮助判断预后情况和治疗方案。
血常规、生化、尿液分析
常见的异常值包括:
CPK、AST、ALT升高
压力性高血糖症
氮质血症:BUN和CREA升高,原因是肾栓塞或有效循环量低。
电解质异常:低钠血症、高钾血症、低钙血症、高磷血症,可能和肾灌注不良和肾损伤有关。
凝血通常不显示明显异常。
7岁以上的猫要测量甲状腺激素。
胸部造影:
会发现心脏肿大,大约50-66%的猫咪出现充血性心力衰竭,即肺水肿或胸腔积液。
如果猫咪出现血栓栓塞,但没有心脏病,并且出现肺肿块,这可能和肺癌相关。
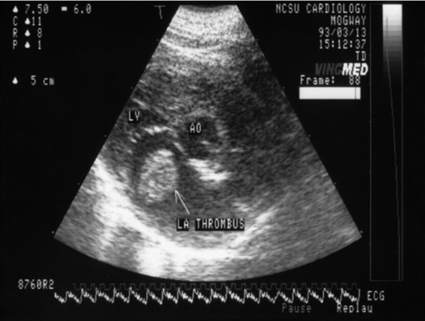
超声心动图:
大多数患猫患有肥厚性心肌病,特征是左心室肥大、左心房增大,其他心脏病也有可能。
不论出现何种类型的心肌疾病,50%以上患有ATE的猫咪都有严重的左心房增大。

图示箭头处为左心房血栓
图片来自《Small Animal Emergency
and Critical Care》
腹部超声检查
有经验的超声医生可以识别主动脉尾端的血栓,但猫咪一般不需要这种程度的检查,腹部超声对狗狗更有用,既能识别血栓,又能寻找相关疾病。

治疗
治疗目标有三方面
首先,立即治疗腿部缺血性损伤引起的疼痛,通常注射类阿片。
第二,用抗凝剂或可能的溶栓剂治疗血栓。
第三,治疗猫的心脏病和可能的充血性心力衰竭。
如果有充血性心力衰竭,需要进入氧气仓,并且静脉注射药物来缓解充血性心力衰竭引起的呼吸窘迫。
饮食
最初,大多数猫都有厌食症。所以需要用各种方式给猫咪吃饭,来避免脂肪肝。如果厌食超过3天,考虑使用鼻食管管喂养。慢性饮食管理通常需要限制钠的摄入。
活动
应限制活动。猫应该保持安静,没有压力,只能呆在室内。
外科手术
通常不建议进行外科栓子切除术,因为这些患者心脏病导致手术和麻醉的风险很高。


预防
许多猫患有晚期心脏病,有再次栓塞的危险。如果猫能存活下来出院,它们需要终生服用药物、重新评估和室内生活方式。一般来说,大多数在最初发作后存活的猫都会恢复腿部的全部功能;但是,一些神经或肌肉骨骼缺陷可能会持续存在。
需要定期评估胸部射线照片、电解质和肾脏参数有助于评估对治疗的反应。
由于初次发作后再栓塞率高(25%-75%),强烈建议使用慢性阿司匹林、氯吡格雷或低分子肝素进行预防。
最后,血栓栓塞的死亡率很高,希望大家的猫咪都能平平安安。

本文参考:
《Small Animal Emergency and Critical Care》
《小动物内科学》
《猫病学》
《猫病图解》
《猫博士的猫病学》