生命在于运动,运动带来快乐,但过度运动也会带来病痛。33岁的小邵(化名)躺在骨科病床上,刚刚经历手术的他看着被石膏包裹得严严实实的左腿,后悔莫及。
原来前段时间体检,小邵查出有脂肪肝,他开始运动减肥,拉着单位的“羽毛球达人”连打了四天球,导致左脚跟腱断裂。

跟腱断裂的原因
跟腱断裂一般高发于跑步、跳跃以及突然起停较多的运动中,如篮球、羽毛球、网球等运动。超强度、超负荷运动引起的疲劳是跟腱断裂的重要风险因素。

跟腱断裂的症状
1、疼痛。
2、受伤瞬间可听到断裂声。
3、受伤一侧无法单腿站立,无法完成蹬地动作。
4、按压跟腱后方,有凹陷感且常伴有肿胀或皮下出血。
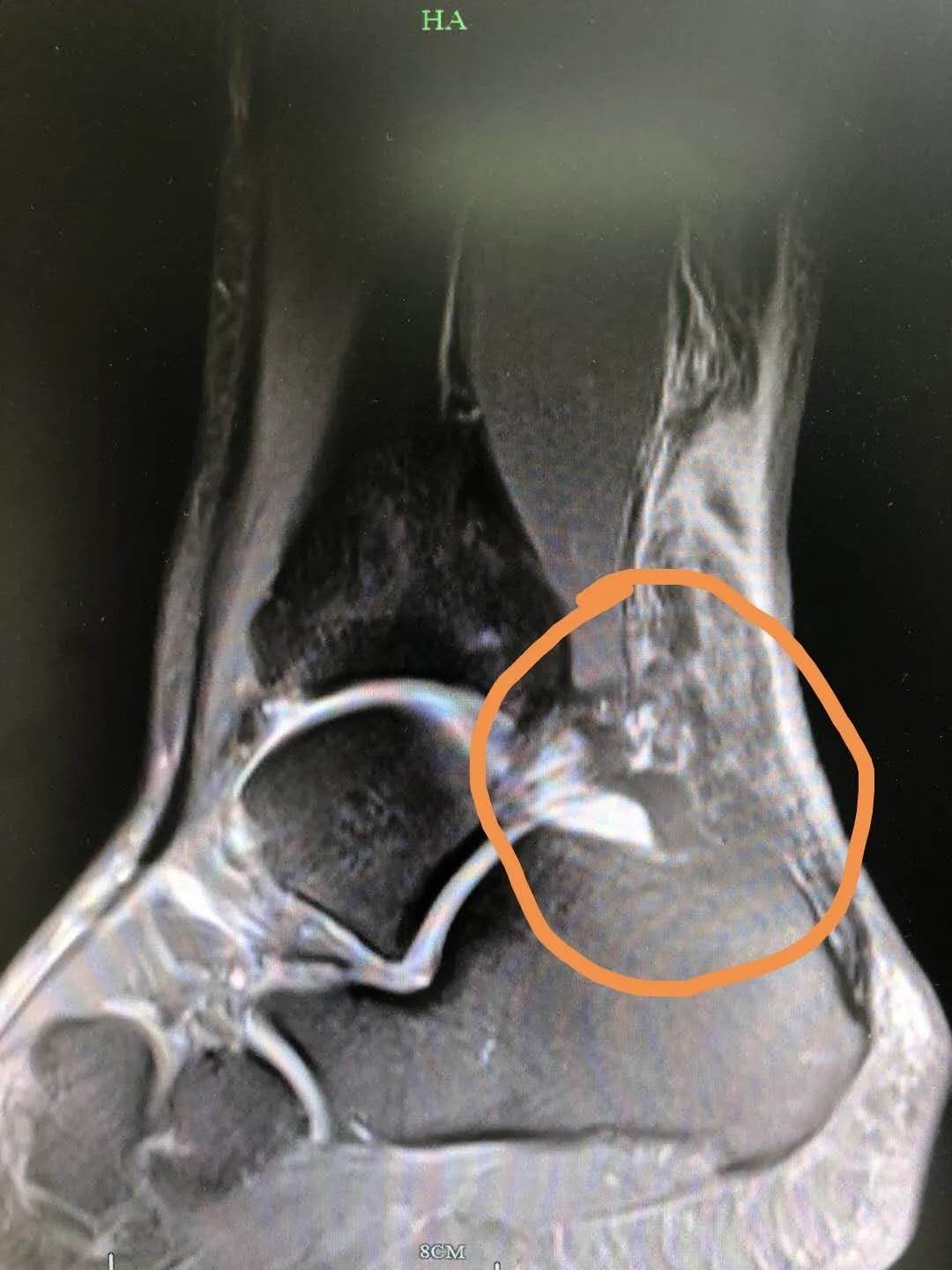
5、受伤后如有上述症状,切记及时就医。临床上常以超声或核磁共振成像来诊断跟腱损伤。
跟腱损伤的预防
1、选择合适的运动场地,穿戴合适的运动装备,特别是合脚舒适的运动鞋。
2、运动前充分热身,伸展关节和肌肉。
3、运动时掌握正确的技术动作,有条件的话最好在专业教练的指导下进行运动。
4、选择合适的运动强度,循序渐进,科学合理安排运动时间。
